乳腺癌术后八年脑转移,三次复发,她决定用放疗与抗癌药击退癌细胞……
点个关注吧
了解更多抗癌信息
与乳腺癌抗争八个年头后,从最初的诊断到后来的复发、转移,这一路走来充满艰辛,也积累了许多宝贵的经验。今天,她选择把自己的治疗经历和心得分享出来,希望能为同样在抗癌路上的觅友们提供一些帮助和鼓励。
01
初次确诊与治疗:手术与化疗
2014年10月,我在体检时发现右乳外上象限有多发结节,进一步检查后被确诊为“右乳浸润性导管癌(Ⅲ级)”。当时我的肿瘤最大直径2.5cm,幸运的是没有发生淋巴结转移(腋窝淋巴结0/50)。
医生建议我尽快手术,于是我接受了“右乳癌根治术+腋窝淋巴结清扫术”。
术后,尽管我没有淋巴结转移,但为降低复发风险,仍然听从医生建议进行了4个周期的辅助化疗(多西他赛+环磷酰胺),并开始口服「托瑞米芬」进行内分泌治疗。
经验分享
因为体检我才得以早发现病灶,赶上早治疗的“列车”,所以女性定期的常规体检还是非常重要的,能够更好掌握自身健康动态。
有些肉眼不可见的癌细胞通过手术难以完全移除,但化疗、内分泌治疗可以抑制这些微小转移灶的生长,降低复发和转移风险。建议多与医生沟通,制定最适合自己的治疗方案。
02
第一次复发:淋巴结转移
尽管了解过乳腺癌容易复发,但没想到复发来得那么快。
2016年11月(术后2年),在一次复查中发现“右锁骨下、锁骨上、右胸肌间淋巴结转移”。做穿刺活检确认性质,结果证实是乳腺癌复发。

图1 CT示术后锁骨下复发淋巴结
事已至此,怨天尤人没有用。我快速调整好心态后,主动和医生沟通了解接下来的治疗方案。医生的建议是行系统化疗+局部放疗+内分泌治疗方案。
随后,我接受了6个周期的化疗(多西他赛+卡培他滨),效果不错,肿瘤缩小了。
待身体恢复一段时间后,我继续投入接下来的治疗,对癌细胞乘胜追击。于是在2017年6-8月,我又做了局部放疗,靶向照射复发淋巴结区域(右胸壁+锁骨上下淋巴结)。放疗结束后,我改用依西美坦(一种芳香化酶抑制剂)进行内分泌治疗。
经验分享
定期复查很重要。我的复发是在常规复查中发现的。因为癌症复发转移时不一定会有症状,只有定期复查才能及时发现肿瘤是否复发或转移,有助于及时采取有效的治疗。
03
第二次复发:肺转移
经历了一次复发转移,当第二次复发转移来袭时,本以为能更从容,却依然难掩恐慌。
2021年9月,命运再次给我一击——PET-CT显示右肺转移。穿刺病理显示,这次的肿瘤分化较差,且有神经内分泌分化倾向,这意味着它的侵袭性更强。

图2 CT示右肺中叶转移灶
最让我无助的,是对未来治疗之路的未知与迷茫。化疗?靶向?还是免疫治疗?每一个选择都像在赌明天。最后我选择相信医生,相信自己。
面对乳腺癌肺转移,医生给我调整了治疗方案,改用内分泌治疗药物为氟维司群,加用哌柏西利CDK4/6抑制剂靶向治疗。
04
第三次复发:脑转移
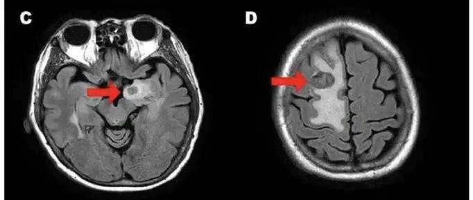
该做的治疗也做了,本以为自己这次终于可以和乳腺癌做最后的告别,但在2022年10月,我的病情再次出现进展,脑部MR检查发现“多发脑转移灶”。

图3 脑MR提示脑内多发转移
面对第三次复发转移,我的反应平静得自己都惊讶。或许是因为生活给我的选项从来就只有一个:继续战斗。
医生推荐了新型靶向药DS-8201,这是一种针对HER2低表达转移性乳腺癌患者的抗体偶联药物。用药后,我的病情很快稳定了下来。这无疑给了我一针“强心剂”,坚定了我继续与病魔斗争的勇气。
2023年8月,为了进一步控制脑部病灶,我接受了全脑放疗+局部加量放疗。治疗过程中,我曾出现轻度肢体无力和脑水肿,但在医生的对症治疗后症状得到很好缓解。
目前,我的脑部肿瘤有所缩小,精神状态也不错。 计划继续DS-8201维持治疗并定期复查。
经验分享
放疗副作用是可管理的。脑放疗后可能出现水肿或乏力,建议觅友们及时与医生沟通进行对症处理。
新药带来新希望。DS-8201对我的脑转移效果很好,觅友们可以多关注最新的治疗方案。
05
抗癌心得总结
1)定期复查不能忘
我的几次复发都是在复查中发现的。不要抱着侥幸心理,认为自己已经痊愈了,不需要再这么频繁的随访复查了。即使没有症状,也要坚持定期做一次全面检查(包括影像学和肿瘤标志物)。
建议乳腺癌术后第1-2年,每隔3个月复查一次;术后第2-5年,每6个月复查一次;术后5年以上,每1年复查一次。
2)不要惧怕复发
癌症是一场持久战,即使经过有效治疗也有复发的可能。面对复发,焦虑和恐惧是人之常情,但积极的心态能帮助我们更好地应对治疗。如果感觉心态压力大,可以通过冥想、听音乐、与家人聊天来缓解压力。
3)信任医生,科学治疗
每次复发,我都选择相信医生的建议,不盲目尝试偏方。乳腺癌的治疗手段一直在进步,采用科学、规范治疗才能延长生存期。
06
写在最后
癌症的每一次复发都让我更了解自己的身体,也更珍惜当下的生活。现在的我,依然在坚持治疗,用“过好每一天”的态度去生活,努力让自己的内心永远活在当下。
最后,既是想对自己说的也是鼓励正在抗癌的觅友们:乳腺癌≠绝症,别轻易放弃,即使复发,也有许多治疗选择。定期复查、积极治疗、保持希望,愿我们都能走得更远!
点击下方卡片关注吧


收藏
回复(1)参与评论
评论列表






