首页
圈子
互助
医生
药品
专栏
资讯
话题
健康小屋
APP下载
登录
注册
消息
系统消息
评论
新粉丝
首页
圈子
乳腺癌
帖子详情
脉管炎
开心快乐每一天18
来源:
觅健
2025-04-26 22:45:54
181阅读
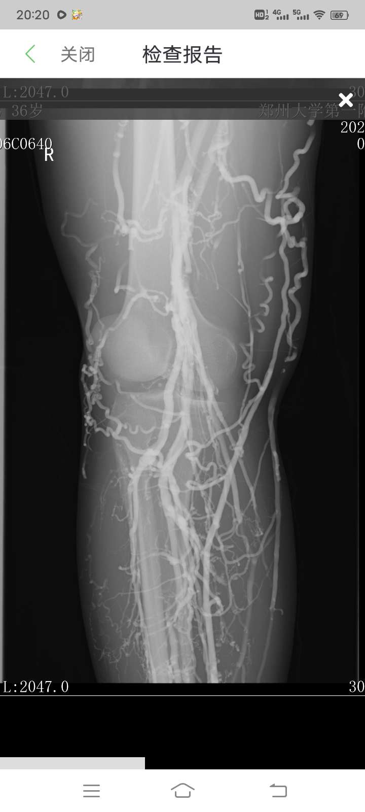
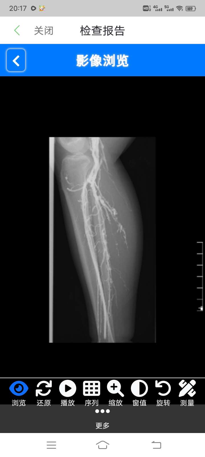
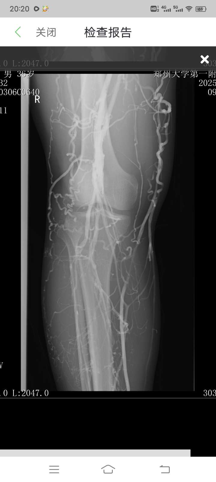
每天都在床上躺着,也不管走路,看又看不好,咋整?
抱抱
有用
收藏
回复(10)
举报
上一篇:
肺癌晚期又患乳腺癌?(发病76个月,靶向73个月(易38,泰35))
下一篇:
晚安
参与评论
更多
按投票顺序
时间顺序
按投票顺序
发布
燕子4988
咋这么厉害 ,受罪了
举报
2025-04-27 06:19:50
有用(
0
)
回复(
1
)
取消
发布
似水流年4248
我的腿上也有青,但是没有这么严重
举报
2025-04-27 07:19:04
有用(
0
)
回复(
1
)
取消
发布
一目了然2
这么历害?在哪看?
举报
2025-04-27 10:11:06
有用(
0
)
回复(
1
)
取消
发布
我还活着
咋成这了
举报
2025-04-27 10:42:09
有用(
0
)
回复(
1
)
取消
发布
菊次郎之夏
看着都疼
举报
2025-04-26 23:23:50
有用(
0
)
回复(
1
)
取消
发布
评论列表
更多
按投票顺序
时间顺序
按投票顺序
燕子4988
咋这么厉害 ,受罪了
举报
2025-04-27 06:19:50
有用(
0
)
回复(
1
)
取消
发布
似水流年4248
我的腿上也有青,但是没有这么严重
举报
2025-04-27 07:19:04
有用(
0
)
回复(
1
)
取消
发布
一目了然2
这么历害?在哪看?
举报
2025-04-27 10:11:06
有用(
0
)
回复(
1
)
取消
发布
我还活着
咋成这了
举报
2025-04-27 10:42:09
有用(
0
)
回复(
1
)
取消
发布
菊次郎之夏
看着都疼
举报
2025-04-26 23:23:50
有用(
0
)
回复(
1
)
取消
发布
相关推荐
热点推荐
暂无数据
热门帖子
1
抗癌随记——载满路春光,守岁月温柔
2
我的免疫力日记之心暖向阳赏花开
3
是转折—但不是结局
4
十年灯烬,终见春山
5
我平安七年啦!
6
写给我的家属,谢谢你的守护
7
赴春约
8
乳腺癌术后1年大复查,我这样顺利通关!附东肿检查攻略
病友圈
肺癌圈子
去看看
肠癌圈子
去看看
肝癌圈子
去看看
乳腺癌圈子
去看看
淋巴瘤圈子
去看看
卵巢癌圈子
去看看
今日推荐
1
十大症状,说明你老了
2
今天逛华东轻纺市场
3
下午好
4
应季菜
5
灰指甲
6
吐槽一下
7
周日户外一天
8
下午好
推荐关注
wnn
关注
从头来过16.11--76.01
关注
彩霞依然
关注
开心甜甜橙
关注