乳腺癌迎来“克星”,被看好的TIL细胞疗法,到底神奇在哪里?

在今年欧洲临床肿瘤学年会(ESMO)上,研究人员公布了首个TIL疗法治疗实体瘤(晚期恶性黑色素瘤)的临床试验结果[1]

研究将168名晚期黑色素瘤患者按1:1随机分为两组,一组患者接受CTLA-4抑制剂伊匹木单抗治疗,另外一组患者使用TILs免疫疗法。

结果显示,接受TILs疗法和伊匹木单抗患者的中位无进展生存时间分别为7.2个月 vs 3.1个月;客观缓解率分别为48.8% vs 21.4%;完全缓解率20.2% vs 7.1%。总体来看,TILs疗法的疗法更优,也更能提高肿瘤患者的生活质量

总之,本次临床结果证明了TILs疗法疗法对实体癌患者有效且有益,意味着各种转移性实体瘤患者或将迎来新的治疗选择!

一、什么是TIL疗法?


TIL,全称肿瘤浸润淋巴细胞(Tumor Infiltrating Lymphocytes),是一种从肿瘤组织中分离出的对肿瘤细胞有反应的浸润免疫细胞。这些免疫细胞具有识别和攻击肿瘤细胞的能力,可深入到肿瘤组织内部。

而TIL疗法,简单来说就是一种利用肿瘤自己的免疫细胞来杀死肿瘤的方法,主要有3步骤:

1.取出患者的肿瘤组织,从中提取出免疫细胞,主要是T细胞;
2.在体外筛选出能精准识别和杀伤癌细胞的T细胞,并进行外培养和大量扩增;
3.把扩增好、具有超强战斗力的T细胞输回患者体内,并最终实现从内部消灭肿瘤[2]

图:TIL细胞疗法流程图[3]

二、TIL疗法为乳腺癌患者重获新生


TIL疗法作为当下最被看好的抗癌疗法,目前已在大多数实体瘤中开展研究,例如胃肠道恶性肿瘤、卵巢癌或乳腺癌等。

在乳腺癌中,2018年6月4日,顶尖期刊《Nature Medicine》就曾发表过一篇关于“TIL免疫疗法首次成功应用于晚期乳腺癌并重获新生”的研究论文[5]

 图:参考资料[5]

文章指出,研究人员将一位患有乳腺癌、且最多还有几个月生命的患者,通过提取并分离出她的肿瘤浸润性免疫细胞后,进行体外大量扩增,再输回到患者体内

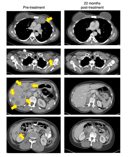
当900亿个免疫细胞被输回患者体内后,奇迹发生了。在6个月的第一次随访时,这位乳腺癌患者的肿瘤正在逐渐缩小;在治疗后的22个月,医学影像上显示,患者胸腔内的肿瘤都消失了

黄色箭头表示肿瘤已消失了
图:参考资料[5]

这项研究虽然是个例研究成果,但对于癌症治疗领域而言,是一个历史性的突破;对于乳腺癌患者而言,意味着有望通过此方法摆脱肿瘤。

三、TIL疗法的优势与局限性


与其他免疫疗法相比,如CAR-T、TCR-T细胞疗法以及PD-1/PD-L1免疫检查点抑制剂,TIL疗法具有以下几点优势:

1.可针对性地杀死癌细胞:TIL本身来自肿瘤,经过体外筛选和“改造”后,具有识别肿瘤细胞的能力以及更强的杀伤力,回输体内后可以针对性地杀死癌细胞;

2.适用于多种实体瘤:TIL疗法适应症广,目前在肺癌,乳腺癌,黑色素瘤,肉瘤等实体肿瘤中已取得了卓越的临床数据;

3.可联合其他药物使用:目前已有研究人员将TIL疗法与PD-1抑制剂联合进行抗肿瘤治疗,并取得了惊艳成果[3]

4.安全性强:TIL是由肿瘤组织中分离出来的,且经过了体外筛选和“改造”后,仅能识别肿瘤细胞抗原,而不会影响正常细胞,具有良好的安全性。

5.治疗后复发率低:首位接受TIL疗法的幸存者Melinda Bachini,虽然肿瘤没有彻底消失,但她生活和常人无异,目前已成功健康生活了10年之久。



看到这里,可能有患者朋友会说了:既然TIL疗法如此“神奇”,那么是不是意味着所有癌症都能被消灭呢?事实上,目前TIL疗法仍有很大的局限性。

首先,TIL疗法需要提取新鲜的肿瘤组织,分离出特异性的T细胞,才能进行下一步,但是这个操作过程难度很大,且目前没有形成统一的规范方法

其次,目前大规模扩增T细胞存在技术难点,比如分离出TIL细胞后还需要进行筛选,需要一定的时间,而培养和扩增T细胞的时间也很长,对于病情危急的癌症患者,时间就是生命,根本没时间等待。

最后,肿瘤组织中的TIL细胞的数量和活性通常被免疫微环境抑制,若分离出来的T细胞数量太少,抗肿瘤活性不高,那么治疗效果会不佳。因此,TIL疗法还需要继续优化。

四、展望


TIL疗法作为一种新型免疫细胞疗法,在多种癌症类型中展示出了不俗的疗效,而且无论是单独使用还是与其他治疗方式或药物联合使用,都取得了突破性进展。

虽然目前TIL疗法大多还是用于黑色素瘤的治疗,而且它还有很多的局限性,不过咱们乳腺癌患者也不用灰心,医学时刻在进步,相信它的局限性很快就能得到解决,同时也期待TIL疗法能够早日为我们乳腺癌患者带来持久的缓解。


参与评论

更多
图片验证码

评论列表

更多
按投票顺序
可见的未来,癌症的攻克一定是走免疫这条路。也许在科技更发达的未来,会从基因改造入手。
举报
2022-11-02 16:33:24
有用(4)
回复(0)
未来可期
举报
2022-11-03 10:37:19
有用(0)
回复(0)
期待
举报
2022-11-02 23:32:06
有用(0)
回复(0)
期待
举报
2022-11-02 10:03:50
有用(0)
回复(0)
举报
2022-11-08 11:29:53
有用(0)
回复(0)
真好!感恩!
举报
2022-12-07 11:12:56
有用(0)
回复(0)
爸爸确诊病情已经有11个多月了。一共做了8次大化疗,2次小化疗,以及35次放疗,上月返医院检查“瘤子”没有了。这一路走来,有多少的艰辛与泪水。在这里与大家分享爸爸的治疗过程。起初,拿到病例报告的时候,
Xxiaoxiao
100493 阅读
阅读全文
妈妈患肺癌已经有三年了,这三年来一直在接受治疗到现在,下面是妈妈检查以及治疗的过程。2010年10月,妈妈体检出肺癌IV期,纵隔淋巴转移,肝部转移,去省肿瘤医院复查,做了PET-CT,结果一样,省肿瘤
2011年11月,妈妈被诊断肺癌,我在网上浏览了很多帖子,学到了很多,看到了一批又一批共同奋斗在抗癌战线上的战友。这15个月走下来,越来越体会到抗癌之路的艰辛,今天发个帖子,记录一下妈妈的治疗经过,也
invay
38071 阅读
阅读全文