22.10.21 想哭又想笑

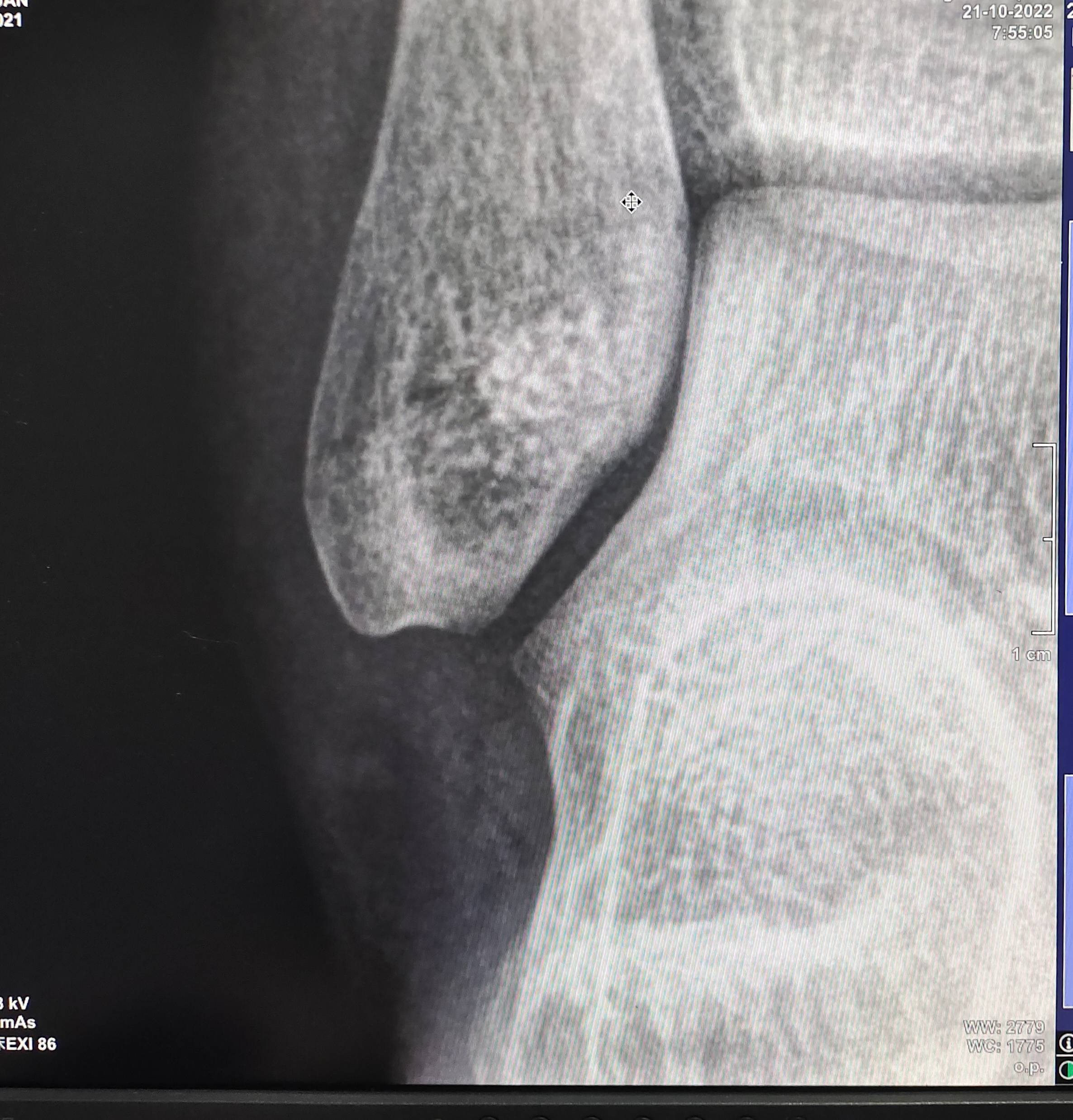
昨晚打羽毛球,崴脚了。今天早上拍了DR和CT,哦豁,骨折了。
现在已打石膏。
图片
图片
图片
图片

参与评论

更多
图片验证码

评论列表

更多
按投票顺序
咱们吃激素的骨头都很脆的,下次注意点啊
举报
2022-10-22 07:53:01
有用(0)
回复(3)
这么严重?平时有骨质疏松吗
举报
2022-10-21 10:30:49
有用(0)
回复(2)
你受苦了!
举报
2022-10-21 10:44:04
有用(0)
回复(1)
天啊,伤筋动骨一百天,查下骨密度吧,妹妹
举报
2022-10-21 22:07:33
有用(0)
回复(1)
这是骨裂了么?
举报
2022-10-21 11:52:49
有用(0)
回复(1)
暂无数据