肺鳞癌,2b,术前三次,术后三次已完成
问题1:cea稍高,手术没做好?还是做个胃肠镜排查?


问题2:目前我们的碱性磷酸酶、血钙,有骨转的可能吗,骨扫有必要吗?
问题3:术前术后6次已完成,是再做一次化疗,还是进入单免呢?
概况:
母亲7月气管镜确诊肺鳞癌,pd1阳性,表达多少没测,取的组织不够用了。
术前三次化疗,前两次化疗:替雷、紫杉醇、顺铂,后出现严重咳嗽以及发烧,天肿判定进展。(误判可能)
第三次化疗在老家:恩度、白紫、卡铂。


三化之前,咳嗽吐出几块固体,之后体感逐渐变好
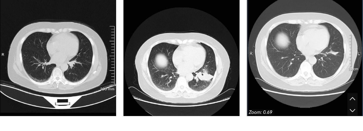
三化后10天,ct看不到原发灶。第40多天于中科院手术,术前检查没有问题。手术顺利。分期:t0n1,肺门淋巴一颗见癌(转移淋巴结免疫组化:pd1阴性),2b期

术后,总感觉心脏连同大腿痒,不舒服,也不是疼,这个是当时最大困扰,以为缺钙,打了钙针和vd,吃了口服钙药和口服vd到12月初。
一个月ct,有新月型液性密度影与局部包裹液影,大夫认为无需处理。
期间查出严重甲减,术前甲亢,确诊前甲功正常。服用优甲乐1.5片和冠心丹参滴丸,体感很好,心脏和腿至今为止再没有出现过不适。
术前所有相关肿瘤标记物,均为正常。术后不正常,第一次cea:9.01,其他肿标均正常。10天后,仅测cea:10.27。30天稍有下降,cea:8.91。
术后已进行三次化疗:替雷、白紫、卡铂,主刀建议术后做2次,内科建议4次。目前术后三次化疗基本完成,母亲不愿意再化疗,想进入单免,很纠结…
六次化疗,我们没有打过升白针,也没有神经末梢发麻的感觉。术后怕卡铂打压,开始每日服用地榆升白、速愈素一包、易善复、多维、铁元、甲钴胺、富露施乙酰半胱氨酸(烟民30年,痰多,怕痰液造成炎性肺)。饮食也很注意,鹌鹑蛋、蚕蛹、海参、鲫鱼、牛尾、鸽子交替吃,五红汤每日
最近除了cea,又有了新的烦恼,碱性磷酸酶和血钙稍高,怕骨转,10月28日骨扫是没问题的,母亲碱性磷酸酶一直在100之上,血钙,第一次高出标准值0.01
我很焦虑,草木皆兵,甚至过度关注这些数值,希望大家能给我些建议
妈妈目前除开化疗那几天,体感不错,还能给我们做饭,确诊后长胖了10多斤,现157cm/136斤。



收藏
回复(22)举报
参与评论
评论列表
按投票顺序
手术切下的组织应该很多,都不够检测吗?
举报
2022-01-22 11:04:08 有用(0)
回复(1)
听专家讨论认为围手术期总共进行四次化疗病人获益是最大的
举报
2022-01-22 11:06:43 有用(0)
回复(3)
你家的碱性磷酸酶不高阿 超过125才高吧
举报
2022-02-08 20:14:15 有用(0)
回复(1)
术后在老家,有些检查和化疗不太规范。最严重的失误是,术后二化,卡铂量打的太少300mg,其他都是400mg。不过术后三化前测cea,反而有些下降,弄不懂。
举报
2022-01-20 18:21:59 有用(0)
回复(0)
计划年后去中科院复查,折腾那么远的原因是,术前ct还有些需要随访的问题,同一家医院好测量。这些问题术前大夫说,随访就好,不能确定性质意义,太小,也不好取病理,良性的可能大。这次复查可能要超出3个月一两周,碰上过年也没办法

举报
2022-01-20 18:27:28 有用(0)
回复(0)
10月28日骨扫结果

举报
2022-01-20 18:31:35 有用(0)
回复(0)
你们2B为什么要进行6次化疗?
举报
2022-05-07 13:43:41 有用(0)
回复(1)
pdl-1应答多少?基因检测结果报告截图?病理报告?
举报
2022-01-20 19:55:01 有用(0)
回复(3)
呆萌的烈马6997手术是最好的,我父亲就是肺鳞癌术后十年,现在复发,复发是因为这几年个人认为没事了,经常去茶楼打牌,吸二手烟造成的,现在治疗才真是头大,方案还少
举报
2022-01-22 21:44:56 有用(0)
回复(3)
相关推荐
热点推荐
2013-11-19 14:23:04
爸爸确诊病情已经有11个多月了。一共做了8次大化疗,2次小化疗,以及35次放疗,上月返医院检查“瘤子”没有了。这一路走来,有多少的艰辛与泪水。在这里与大家分享爸爸的治疗过程。起初,拿到病例报告的时候,
2013-11-19 14:31:01
妈妈患肺癌已经有三年了,这三年来一直在接受治疗到现在,下面是妈妈检查以及治疗的过程。2010年10月,妈妈体检出肺癌IV期,纵隔淋巴转移,肝部转移,去省肿瘤医院复查,做了PET-CT,结果一样,省肿瘤
2013-11-19 15:04:43
2011年11月,妈妈被诊断肺癌,我在网上浏览了很多帖子,学到了很多,看到了一批又一批共同奋斗在抗癌战线上的战友。这15个月走下来,越来越体会到抗癌之路的艰辛,今天发个帖子,记录一下妈妈的治疗经过,也






