慢慢长大的肿瘤
10月5日胸部ct肿瘤大小

10月26日肿瘤变大了一些

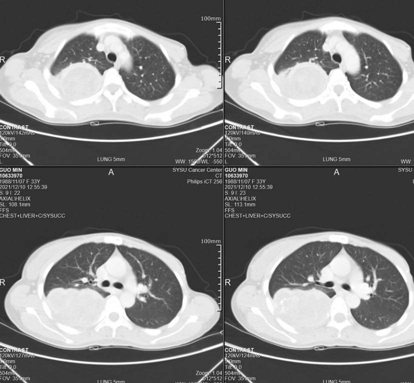
化疗两期无效后,12月10日肿瘤长的很大了,粘连胸壁也更多了

在医生的拖延下,错过了最佳手术时机,希望还有机会活下去,找办法中
收藏
回复(4)举报
参与评论
评论列表
按投票顺序
肺上这么大呼吸难受吗?不了解化生性癌,希望好医院有好办法。
举报
2021-12-17 11:10:52 有用(1)
回复(0)
无用就要更换方案,有条件去北上广大医院问诊吧,也可以网上问诊的,寻求更好的治疗方案,药物有效果就会控制缩小了
举报
2021-12-17 12:06:04 有用(1)
回复(0)
去大医院吧
举报
2021-12-17 16:14:14 有用(0)
回复(0)
单纯的红金鱼赶快去大医院吧,别耽误了,现在治疗手段那么多,你一定会没事的!
举报
2022-01-27 07:15:04 有用(0)
回复(0)
相关推荐
热点推荐
2013-11-19 14:23:04
爸爸确诊病情已经有11个多月了。一共做了8次大化疗,2次小化疗,以及35次放疗,上月返医院检查“瘤子”没有了。这一路走来,有多少的艰辛与泪水。在这里与大家分享爸爸的治疗过程。起初,拿到病例报告的时候,
2013-11-19 14:31:01
妈妈患肺癌已经有三年了,这三年来一直在接受治疗到现在,下面是妈妈检查以及治疗的过程。2010年10月,妈妈体检出肺癌IV期,纵隔淋巴转移,肝部转移,去省肿瘤医院复查,做了PET-CT,结果一样,省肿瘤
2013-11-19 15:04:43
2011年11月,妈妈被诊断肺癌,我在网上浏览了很多帖子,学到了很多,看到了一批又一批共同奋斗在抗癌战线上的战友。这15个月走下来,越来越体会到抗癌之路的艰辛,今天发个帖子,记录一下妈妈的治疗经过,也






