【觅友经历】术后一化

【确诊时间】2021年7月31日

【患者年龄】60岁

【病理类型】非小细胞肺鳞癌高分化3a期

【治疗过程】化疗(紫杉醇+顺铂、恩度、卡铂)、免疫药(替雷利珠)、手术

【其他用药】地塞米松


我们家的治疗过程可以说是混乱,总有各种突发状况,现在妈妈正在术后一化,无聊中,那就捋一捋治疗过程

7月确诊,转至天津肿瘤,经PETCT等一系列检查,定为3a期,肿瘤1.2*1.8(pet测量,ct不曾报过大小,可能不好测量),7区隆突下淋巴怀疑转移。

一化二化,天肿化疗,入组百济神州替雷利珠可手术2b/3a临床试验组,用药替雷利珠(退组揭盲)+紫杉醇+顺铂,一化后胸痛缓解,副作用相当凶普通紫杉醇的痛苦甚至大于顺铂,不多叙述。二化开始咳嗽,接近三化前频繁发烧,预感不好,复查ct,经医生讨论,判断为进展,肺大片实变。院方要求我们退组,并告知失去手术机会…给了我们下一步方案,贝伐+白紫+卡铂

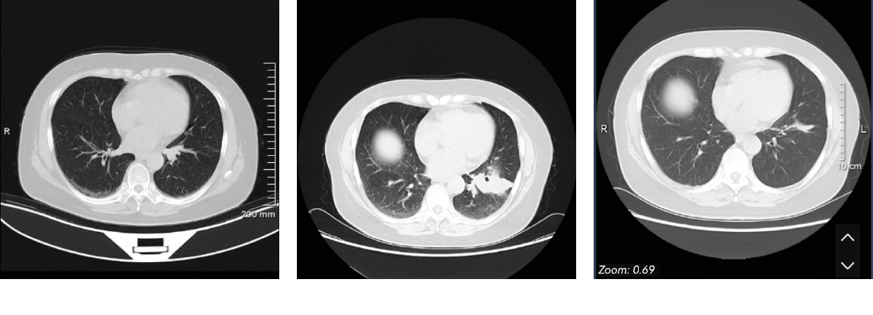
我们决定回老家化疗,这期间,母亲咳嗽到五脏六腑疼,看当地专家前一天,忽然咳出三块黄白色固体,之后便不再发烧图片
第二天,我们去见专家,专家说可能是痰栓,没有理会这个固体异物。接着进行三化,方案:恩度三支+卡铂+白紫。

三化体感很好,不咳嗽,不发烧

期间我们问诊多家医院,均认为我们有机会手术

于三化第十天,做ct平扫(转院需要),报告显示最初原发灶软组织结节影消失…图片


立即赶往中科院肿瘤医院,经过一系列检查,我们确实达到了影像cr,随后进行手术

手术很顺利,不到两周大病理出来了,但遗憾的是,手术病理中,我们没有达到cr。大病理原发灶未见癌,但清扫的27个淋巴结中,同侧肺门淋巴有一个转移,分期2期。

术后,体质大不如从前,最近最困扰我们的,就是母亲总感觉胯骨到大腿的肌肉不舒服,像蚂蚁爬,并影响心脏也出现痒的不适感,早晨晚上都没事儿,主要集中在白天和阴天。我怀疑是不是骨转,但她说不是疼,也不是骨头的事儿,问过大夫,大夫说不像骨转…

虽然过了一个大关,但还是很焦虑未来的各种可能性

也想问问大家,肺鳞癌,2期预后如何

对了,我们术后辅助治疗决定4次替雷+白紫+卡铂,单免一年



参与评论

更多
图片验证码

评论列表

更多
按投票顺序
我爸是肺鳞癌,中央型,两次化疗(白蛋白紫杉醇 顺铂 替雷)后手术,目前静养中,之后根据预案,还需要两次化疗。
举报
2021-12-04 15:22:18
有用(0)
回复(9)
幸运!
举报
2021-12-07 13:39:43
有用(0)
回复(1)
你们术后食欲咋样,我们术后说吃啥没胃口,饭量比以前也少了,有点着急
举报
2021-12-04 16:12:22
有用(0)
回复(1)
请问手术是微创还是开胸?在哪做的?
举报
2021-12-08 09:19:51
有用(0)
回复(0)
爸爸确诊病情已经有11个多月了。一共做了8次大化疗,2次小化疗,以及35次放疗,上月返医院检查“瘤子”没有了。这一路走来,有多少的艰辛与泪水。在这里与大家分享爸爸的治疗过程。起初,拿到病例报告的时候,
Xxiaoxiao
100722 阅读
阅读全文
妈妈患肺癌已经有三年了,这三年来一直在接受治疗到现在,下面是妈妈检查以及治疗的过程。2010年10月,妈妈体检出肺癌IV期,纵隔淋巴转移,肝部转移,去省肿瘤医院复查,做了PET-CT,结果一样,省肿瘤
2011年11月,妈妈被诊断肺癌,我在网上浏览了很多帖子,学到了很多,看到了一批又一批共同奋斗在抗癌战线上的战友。这15个月走下来,越来越体会到抗癌之路的艰辛,今天发个帖子,记录一下妈妈的治疗经过,也
invay
38291 阅读
阅读全文