#治疗经历#K药耐药以后怎么办?

【2019.1.1】确诊

病人57岁,2018年末咳嗽发烧,检查肺腺癌。

头部左顶叶2.4*1.8cm转移灶,脑室形态正常,偶尔有一过性疼痛。

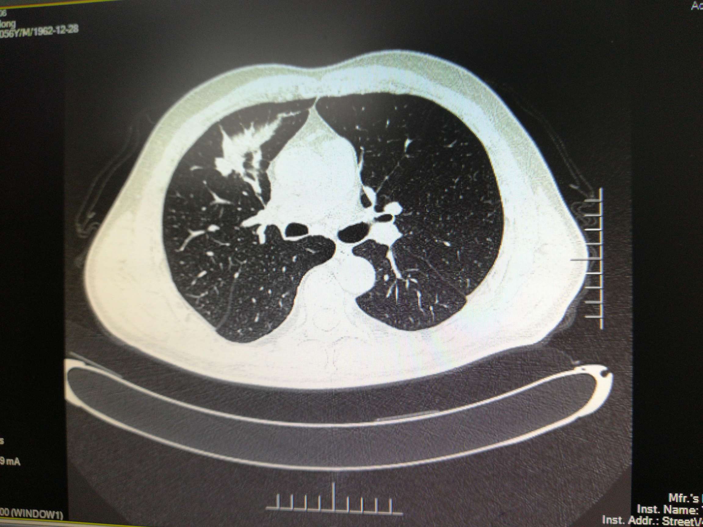
胸部右肺叶前段有3.4*6.7cm原发灶,右侧叶间裂、胸膜多处转移,纵膈内、右肺门旁、心隔角多处淋巴结转移,较大者1.3*1.0cm。有少量胸水。

基因检测PIK3CA突变,没有对应靶向药。PD-1表达30%,PD-L1表达50%。


【2019.1-2019.4】培美+卡铂+K药(200mg)四周期

期间病情迅速控制,原发灶从6. 7*3.4cm减小为1.7*1.5cm,头部从2.4*1.8cm减小到1.1*0.9cm,淋巴结较大者一直为1.3*1.0cm。胸水抽了两次,打了恩度,之后胸水没有再犯。肿瘤指标物一直减小。骨髓抑制严重。


【2019.4-2019.7】K药四周期

开始单K,原发病灶和头部一直继续减小,原发灶从1.7*1.5cm减小为1.4*1.2cm,头部从1.1*0.9cm减小到0.9*0.7cm,淋巴结大小不变,仍为1.3*1.0cm,但此时cea开始缓慢上升,糖类125继续下降。病人体感很好,但骨髓抑制一直持续,白细胞3.5。做了骨穿没有问题。


【2019.7-2019.10】K药三周期 拉长用药周期28天

10月份复查,cea继续缓慢上升,糖类125也开始上升。Ct显示原发灶从1.4*1.2cm增大到为2.7*1.4cm。pet-ct显示没有远端转移,头部转移灶失去活性,胸部原发SUVmax4.2,淋巴结SUVmax3.2。骨髓抑制现象继续持续,白细胞3.8,淋巴细胞百分比46.3%,中性细胞36.10%。在用K药之后再测白细胞3.2,可能骨髓抑制与K药有关。病人体感很好。总体判断为耐药迹象。


【2019.10-2019.11】K药+贝伐(10mg/kg)一周期(开始恢复21天/周期)

希望大夫可以给出后续的治疗方案。

 

目前我的想法是,如果两个周期以后重新有效,那么继续K药+贝伐的方案,不知要不要射频,如果无效,采取网传的对K药的增敏方法,但不知选择:

(1)消融:问过一些大夫的意见,认为现在是全身疾病,局部消融没有必要,但有的大夫认为消融释放抗体,并且再次活检。射频消融和微波消融哪个更好一点?在使用贝伐的时候可以进行消融吗?放疗和消融哪个更合适一点?

(2)放疗:普放还是精准放疗更合适?如何权衡放疗可能复敏以及可能产生肺炎从而停K?

(3)化疗:目前只连用了贝伐,贝伐连用剂量10mg/kg正确吗?如果无效可能连用白紫,但白紫骨髓抑制也比较严重,相比于培美+卡铂的骨髓抑制哪个比较严重?是否可以化疗两周期以后再采用K看是否复敏?

(4)Y药:有没有Y药复敏的先例?如果现在使用Y药的话,怎样的方案比较正确?

这四种方案不知如何选择,是顺序进行还是同时进行两个方案?

图片
图片
图片
图片
图片

参与评论

更多
图片验证码

评论列表

更多
按投票顺序
后来情况怎么样了?
举报
2020-06-12 23:47:50
有用(0)
回复(0)
恭喜你,被吴老大翻牌子了!
举报
2019-12-08 07:47:01
有用(0)
回复(1)
叔叔现在情况怎么样
举报
2021-06-23 20:59:38
有用(0)
回复(0)
你好,我家母亲与你家情况相似,K药第十二周期后进展。请问吴一龙教授会诊方案出来了吗?
举报
2019-12-24 11:50:36
有用(0)
回复(5)
祝好运,一起加油
举报
2019-12-08 13:42:14
有用(0)
回复(0)
祝好运!
举报
2019-11-27 09:44:54
有用(0)
回复(0)
现在情况怎么样了?
举报
2021-03-24 10:59:30
有用(0)
回复(0)
请问下,你家情况怎么样了,吴教授有给出治疗方案吗?
举报
2020-03-01 09:03:18
有用(0)
回复(0)
你家人和我家的经历相似,,纠结点也差不多。我们现在联y。
举报
2019-11-28 12:43:46
有用(0)
回复(4)
请教,那个指标曲线图是用什么做的?Excel表吗?
举报
2019-12-08 15:01:31
有用(0)
回复(1)
加油,好运!
举报
2019-12-02 16:05:02
有用(0)
回复(0)
请问你家最后怎么选择,情况怎样
举报
2020-04-01 22:00:01
有用(0)
回复(0)
爸爸确诊病情已经有11个多月了。一共做了8次大化疗,2次小化疗,以及35次放疗,上月返医院检查“瘤子”没有了。这一路走来,有多少的艰辛与泪水。在这里与大家分享爸爸的治疗过程。起初,拿到病例报告的时候,
Xxiaoxiao
100493 阅读
阅读全文
妈妈患肺癌已经有三年了,这三年来一直在接受治疗到现在,下面是妈妈检查以及治疗的过程。2010年10月,妈妈体检出肺癌IV期,纵隔淋巴转移,肝部转移,去省肿瘤医院复查,做了PET-CT,结果一样,省肿瘤
2011年11月,妈妈被诊断肺癌,我在网上浏览了很多帖子,学到了很多,看到了一批又一批共同奋斗在抗癌战线上的战友。这15个月走下来,越来越体会到抗癌之路的艰辛,今天发个帖子,记录一下妈妈的治疗经过,也
invay
38070 阅读
阅读全文