胃粘膜病变:萎缩、肠化、异型增生——全科普
胃粘膜病变
是指胃粘膜发生了炎症、糜烂、溃疡、萎缩、肠化、增生中的一种或者几种情况。
胃粘膜的攻击因子长期攻击破坏胃粘膜会引起胃粘膜慢性非特异性病变:即慢性非萎缩性胃炎,萎缩性胃炎,胃粘膜异型增生,胃粘膜肠上皮化生,胃癌。
溃疡和糜烂也是胃粘膜病变。
糜烂一般伴随各型胃炎出现;
胃和十二指肠溃疡今天暂不做赘述。

也称浅表性胃炎,它是反映胃粘膜浅层有淋巴细胞或浆细胞浸润,而深层的胃腺体正常。根据炎症细胞浸润程度,浅表性胃炎或轻或伴急性活动,规范化治疗大多可彻底治愈。
其病因主要是幽门螺旋杆菌感染,含胆汁和胰液的十二指肠液反流入胃,削弱了胃黏膜屏障功能,使胃黏膜受到消化液的作用,产生炎症、糜烂、出血和上皮化生等病变。其他外源因素,如酗酒、不良生活与饮食习惯、精神压力、长期服用NSAID(如阿司匹林)类药物、霉变、酸败不结食物等,均可损伤胃黏膜而致炎症发生。
这是胃镜报告中最常见,也是最轻的一种诊断,及时根除幽门螺旋杆菌及消除消化不良、胃部不适症状,往往都能够痊愈。
但是,如不积极诊治,也有进一步发展为萎缩性胃炎、异型增生、肠化等的风险。
萎缩的定义:胃粘膜萎缩是指固有腺体减少,组织学上有两种类型:
(1)化生性萎缩:胃粘膜固有腺体被肠化或假幽门化生腺体替代。
(2)非化生性萎缩:胃粘膜固有腺体被纤维组织或纤维肌性组织替代或炎性细胞侵润引起固有层腺体数量减少。其诊断主要靠活检组织病理检查。
引起萎缩性胃炎的病因有:免疫因素,胆汁反流,生物因素(幽门螺旋杆菌感染),化学因素(药物、酒精)等。
幽门螺旋杆菌感染会引起胃粘膜活动性炎症,长期感染后,部分患者可发生胃粘膜萎缩和肠化,患者、环境和幽门螺旋杆菌因素的协调作用决定幽门螺旋杆菌感染后相关胃炎的类型和发展。
幽门螺旋杆菌相关性慢性胃炎分为:全胃炎胃窦为主和全胃炎胃体为主。

胃粘膜肠上皮化生是指胃粘膜上皮细胞被肠型上皮细胞所取代,即胃粘膜中出现类似小肠和大肠粘膜的上皮细胞,是胃粘膜的常见病变,可见于多种慢性胃炎,以萎缩性胃炎多见。
它来源于胃固有腺体颈部的未分化细胞,正常时,它不断分化成胃粘膜细胞,以补充衰落的胃表皮细胞。在病理因素的影响下它可分化为肠型上皮细胞,形成胃粘膜的肠化生。
据粘液组化染色把化生分为小肠型化生(完全性肠上皮化生)和结肠型化生(不完全性肠上皮化生)。
小肠型化生无明显癌前病变的可能,大肠型化生的胃癌发生的危险性较高。而且肠化分布越广,发生癌变的可能性越大。流行病学调查,大肠型发生癌变的危险为33%
异型增生,又称为非典型增生或不典型增生,有的著述则称之为间变。
是指明确的肿瘤性非浸润性上皮。当异型增生上皮形成扁平病变,称为胃上皮异型增生;
当异型增生上皮形成隆起性病变则称之为“腺瘤”;
按照异型增生分化程度和范围分为轻、中、重三级,
即轻度是指炎症性及再生性良性异型增生病变;
中度是指异型化较为明显,接近胃癌的“临界性病变”;
重度是指异型化更为明显,形态上难以和分化型癌相区别的异型增生。
但良性的轻度异型改变与临界性异型增生,以及恶性异型病变之间常是一种逐渐移行、转化的过程,有时难以明确划分。
上皮内瘤变和异型增生是同义词略有不同;1960年Richard首次将上皮内瘤变这一名词用于子宫颈黏膜鳞状上皮的癌前变化,它是强调这种癌前病变的本质是上皮内肿瘤的形成。
而这种上皮内肿瘤的形成包含了二重意义:
一不是癌,
二是肿瘤形成在进行中,故称为“瘤变”而不是癌。

图1 异型增生发展示意图
有报道,轻、中、重度异型增生的癌变率分别为1.7%、9.8%,42.1%。对于轻度者以6~12月复查一次胃镜为好,中度者3~6月复查一次,重度者一经发现,则应立即手术干预。
首先,癌前病变不是癌,只是有癌变的趋势,过程缓慢而复杂,多余的担心和严重的精神压力反而会加速病情的进展。
世界卫生组织在1978年就把肠上皮化生(简称肠化生或肠化)和异型增生(或称不典型增生、上皮内瘤变)定义为胃癌前病变。
其癌变率从1.7%~42.1%不等。
近年来的研究发现,Ⅲ型肠上皮化生及中、重度异型增生与胃癌的关系更为密切,是真正意义上的胃癌前病变。
胃癌前病变的演变有一定的规律,从正常胃粘膜→浅表性胃炎→萎缩性胃炎→肠上皮化生→异型增生→肠型胃癌。尽管这个过程虽很缓慢,也要高度重视并及早治疗。
胃粘膜肠上皮化生、异型增生均可依其程度不同而分为轻、中、重度三级,其中的重度异型增生在病理形态上已与早期胃癌较难区分,多主张进行手术治疗。
肠上皮化生可分为Ⅰ型(完全性小肠上皮化生)、Ⅱ型(不完全性小肠上皮化生)、Ⅲ型(不完全性大肠上皮化生或结肠上皮化生)。
异型增生可分为腺瘤型、隐窝型、再生型、异型性囊性扩张型及球型增生等。

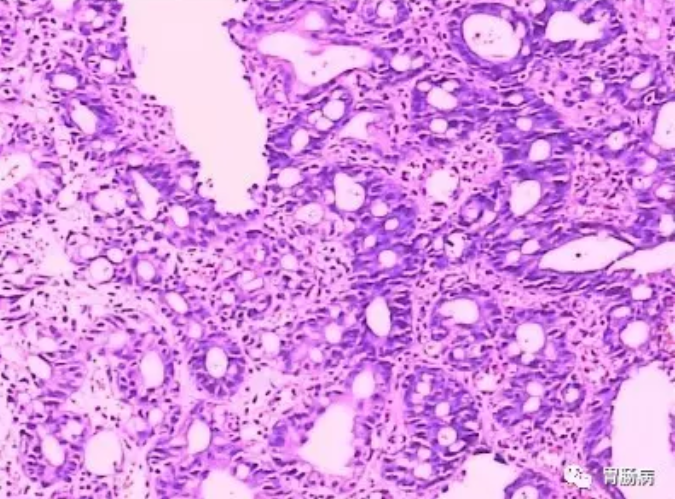
图2 异型增生病理图片
以前曾认为胃癌前病变无法逆转,现在普遍认为逆转是可能的,虽未找出最有效的治疗方法,但祖国医学具有悠久的历史和独特的理论体系,其整体观念、辨证论治以及因人、因时、因地制宜的个体化治疗优势,使其在逆转治疗上独树一帜,疗效显著。
指癌细胞局限于胃粘膜或粘膜下层,不论病灶大小及是否存在淋巴结转移。
存活率:粘膜内癌无脉管、淋巴浸润的,可以治愈性切除,,一旦胃癌穿透粘膜下层,预期生存时间为1年左右。进展期增殖型胃癌则为3-9个月。
我国大多数研究认为:早期胃癌5年存活率在90%以上;进展期胃癌的5年存活率低于30%。
早癌诊断率:我国早癌诊断率大约在10-20%之间,超过70-80%的胃癌确诊时已是中晚期。这与大众普遍拒绝胃镜检查有关。
漏诊率高:内镜操作10年以内的内镜医师早期胃癌的漏诊率为25%,10年以上的内镜医师漏诊率为20% 。
提倡胃镜精查:精细胃镜操作,及染色、放大、超声内镜的应用有助于降低漏诊率。
发现早期胃癌最有效的手段是胃镜精查。
根除幽门螺杆菌是预防胃癌最关键的因素之一。
筛查年龄:建议一般人群不论有无症状,40岁前做一次胃镜检查;高危人群应在35前检查,甚至可以更早。
而伴随有消化道症状的要立即进行胃镜检查。

图13 早期胃癌内镜下表现
胃粘膜的癌变是多种因素共同作用、是一个多步骤、渐进缓慢的过程,一般是:
慢性萎缩性胃炎→肠上皮化生→异型性增生→胃癌,完成这一过程一般需要5-10年,甚至更长。
一项研究表明异型增生随访6个月至8.3年,异型增生消退者占70.9%,加重和癌变占18%,所以说异型增生是可逆转的。
轻、中、重度异型增生的癌变率分别为1.7%、9.8%,42.1%。
轻、中、重度异型增生的癌变时间分别为4.4±0.52年,2.38± 0.51年,1.28± 0.55年。
大部分胃粘膜上皮内瘤变属低级别,经过适当治疗可以逆转。但应定期随访。
高级别上皮内瘤变虽也有逆转可能,但在短期内发展为胃癌的可能性大,应积极随访或内镜下粘膜切除。
伴有肠化的萎缩性胃炎1年左右随访一次,
伴有轻度异型增生并剔除取于癌旁者,根据临床和内镜下情况,6-12月随访一次。
重度异型增生者,立即复查胃镜和病理,必要时内镜下或手术治疗。

(1)根除幽门螺旋杆菌,推荐含铋剂的四联疗法。
(2)抗氧化治疗,如虾青素,维生素E、C,B族,叶酸、胡萝卜素等。
(3)Cox-2抑制剂,如西乐葆,尼美舒利等,有增加心脑血管疾病的风险,且不宜于儿 童及孕妇。
(4)中医药治疗,中草药在逆转治疗上有独特优势。
(5)对症治疗,以消除症状为主。
可保守对症治疗,定期进行内镜活检。
对于高级别上皮内瘤变,可根据病变范围行手术或内镜下治疗,范围在1厘米以内的建议内镜下治疗。
文章来源:胃肠病
收藏
回复(1)参与评论
评论列表






