2017.10.29
一年了,超出预期,打破魔咒,我们还在路上……
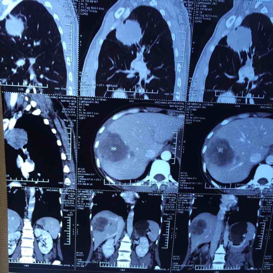
服易瑞沙11个月,很幸运,肿瘤pr。最近爱人体感比较差,可能快耐药了。昨天做了ct发现一轻微骨转,进入局部进展期。
后面的路该怎么走呢?这一年我每天泡在各种论坛、平台,QQ、微信,寻找有价值的信息,9291、AST2818,PD1,哪一个是我们家的救星?
觅健是病友交流最活跃的平台,几乎每天都来看看。祝愿大家一直走下去,也许明天人类就把小癌打败了。


服易瑞沙11个月,很幸运,肿瘤pr。最近爱人体感比较差,可能快耐药了。昨天做了ct发现一轻微骨转,进入局部进展期。
后面的路该怎么走呢?这一年我每天泡在各种论坛、平台,QQ、微信,寻找有价值的信息,9291、AST2818,PD1,哪一个是我们家的救星?
觅健是病友交流最活跃的平台,几乎每天都来看看。祝愿大家一直走下去,也许明天人类就把小癌打败了。



收藏
回复(68)举报
参与评论
评论列表
按投票顺序
陈波医生看到了,旅途奔波加上病例较多,忘了你想问什么了,你跟帖问我就好,我想不起让你传片子要说什么问题来着了
举报
2017-11-01 00:11:51 有用(1)
回复(3)
幸运之神会眷顾你太太的,加油
举报
2017-10-30 12:31:52 有用(0)
回复(1)
陈波医生问专家那里语音已回,这里文字概括一下,如果耐药是因为T790M,换药要趁早。毕竟现在都提出一开始就用三代的观念了。
举报
2017-10-30 09:33:10 有用(0)
回复(2)
陈波医生如果三代➕唑来磷酸控制很好,局部骨放疗未必要做。
举报
2017-10-30 09:34:06 有用(0)
回复(5)
陈医生,谢谢你的语音回复。在基因检测结果出来之前,能做哪些治疗缓解疼痛?
举报
2017-10-30 18:34:23 有用(0)
回复(1)
2017.10.29ct

举报
2017-11-01 01:40:02 有用(0)
回复(0)
陈波医生注意阿斯利康的一个活动,免费测T790M各地都有的,免费的,免费的,免费的
举报
2017-10-30 09:52:08 有用(0)
回复(4)
加油!希望一年又一年,年年有余,努力战胜小癌


举报
2017-10-30 09:56:51 有用(0)
回复(1)
,加油!一年又一年!
举报
2017-10-30 21:17:09 有用(0)
回复(1)
艾氟替尼AST2818怎么样?
举报
2017-10-30 10:18:10 有用(0)
回复(0)
打破魔咒,积极进取,胜利一定属于我们。
举报
2017-10-30 13:25:46 有用(0)
回复(1)
陈医生,这是2016.10.26的ct看看拍的对不

举报
2017-10-31 10:10:21 有用(0)
回复(0)
2

举报
2017-10-31 10:10:42 有用(0)
回复(0)
3

举报
2017-10-31 10:11:05 有用(0)
回复(0)
2017.2.24的

举报
2017-10-31 10:13:10 有用(0)
回复(0)
2

举报
2017-10-31 10:14:04 有用(0)
回复(0)
3

举报
2017-10-31 10:14:21 有用(0)
回复(0)
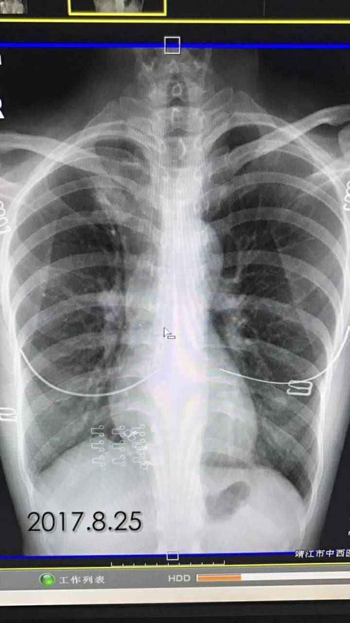
2017.8.25

举报
2017-10-31 10:37:00 有用(0)
回复(0)
2

举报
2017-10-31 10:37:22 有用(0)
回复(0)
3

举报
2017-10-31 10:37:42 有用(0)
回复(0)
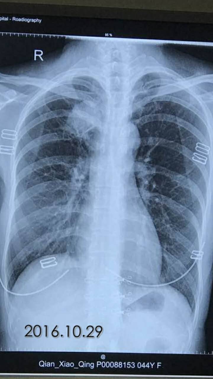
2017.10.29

举报
2017-10-31 10:44:24 有用(0)
回复(0)
一年,真好!我们刚查出就说半年。祝好运!
举报
2017-11-03 06:25:01 有用(0)
回复(0)
2

举报
2017-10-31 10:44:42 有用(0)
回复(0)
3

举报
2017-10-31 10:45:01 有用(0)
回复(0)
4

举报
2017-10-31 10:49:33 有用(0)
回复(0)
5

举报
2017-10-31 10:50:19 有用(0)
回复(0)
陈波医生今天不上班,孩子还在旁边咿咿呀呀,等她走开了,就语音回你,资料有多少可以传多少,在这个帖子里传,多多益善
举报
2017-10-30 08:51:47 有用(0)
回复(11)
我们也走过了一年,为以后的每一年加油!
举报
2017-10-30 20:14:19 有用(0)
回复(1)
真好,要走过一年又一年!我己稀里糊塗的走过二年半了,让我们一起加油,向前进!
举报
2017-10-30 17:33:42 有用(0)
回复(1)
“拿什么拯救你我的爱人”是我刚来觅健的时候的昵称,当时我很绝望。今天我还能在这里发帖已经很幸运
啦!加油加油再加油!
举报
2017-10-30 09:19:31 有用(0)
回复(0)
相关推荐
热点推荐
暂无数据






