PD-1/PD-L1免疫疗法(immunotherapy)是当前备受全世界瞩目、正掀起肿瘤治疗的革命,引领癌症治疗的变革。

近两年,我国也加快了抗癌药入市的步伐,去年,美国两大PD-1治疗药物欧狄沃(Opdivo)、可瑞达(Keytruda)先后进入中国,并且在国内的价格已经有所下降,紧接着三大国产PD-1药物--特瑞普利单抗(拓益)、信迪利单抗(达伯舒),卡瑞丽珠单抗(艾立妥)也相继上市,其中,拓益7200元/支的价格可谓全球最低,让国内患者真正的看到了希望,中国的患者终于迎来了真正的免疫治疗元年!
为患者带来新的希望的新一类抗癌免疫疗法,旨在充分利用人体自身的免疫系统抵御、抗击癌症,通过阻断PD-1/PD-L1信号通路使癌细胞死亡,具有治疗多种类型肿瘤的潜力,实质性改善患者总生存期。
与传统疗法相比,免疫疗法最大的优势之一,就是疗效具有持久性。比如,在黑色素瘤里,欧美20%左右的晚期患者能实现临床治愈,成为“超级幸存者”,这是免疫疗法带来的生命奇迹。
全球肿瘤专家对免疫药物感到无比兴奋,有几个最大的原因:
1:它有更广谱的抗癌效果(O药已经在全球获批治疗8大癌种,k药获批13大癌种);
2:它比化疗的整体副作用要小得多;
3:它如果起效,可能让晚期患者长期存活,甚至临床治愈,这是免疫药物区别于其它所有药物最大的不同。
全球肿瘤医生网医学部将药物用药信息及赠药总结如下,供病友们参考,希望大家在赠药政策的援助下,都能用的上这款划时代的抗癌“神药”。
通用名 | 帕博利珠单抗 | 纳武利尤单抗 | 特瑞普利单抗 | 信迪利单抗 | 卡瑞丽珠单抗 |
商品名 | 可瑞达 | 欧迪沃 | 拓益 | 达伯舒 | 艾立妥 |
英文名 | Pembrolizumab | nivolumab | Toripalimab | Sintilimab | Camrelizumab |
帕博利珠单抗 | 纳武利尤单抗 | 特瑞普利单抗 | 信迪利单抗 | 卡瑞丽珠单抗 |
默沙东 | 百时美 施贵宝 | 君实生物 | 信达生物 | 恒瑞医药 |
帕博利珠单抗 | 纳武利尤单抗 | 特瑞普利单抗 | 信迪利单抗 | 卡瑞丽珠单抗 |
PD-1 | PD-1 | PD-1 | PD-1 | PD-1 |
帕博利珠单抗 | 纳武利尤单抗 | 特瑞普利单抗 | 信迪利单抗 | 卡瑞丽珠单抗 |
2018年7月 | 2018年6月 | 2018年12月 | 2018年12月 | 2019年5月 |
帕博利珠单抗 | 纳武利尤单抗 | 特瑞普利单抗 | 信迪利单抗 | 卡瑞丽珠单抗 |
黑色素瘤 | 非小细胞肺癌 | 黑色素瘤 | 霍奇金淋巴瘤 | 霍奇金淋巴瘤 |
帕博利珠单抗 | 纳武利尤单抗 | 特瑞普利单抗 | 信迪利单抗 | 卡瑞丽珠单抗 |
三周一次 | 两周一次 | 两周一次 | 三周一次 | 两周一次 |
帕博利珠单抗 | 纳武利尤单抗 | 特瑞普利单抗 | 信迪利单抗 | 卡瑞丽珠单抗 |
2mg/kg | 3mg/kg | 3mg/kg | 200mg/次 | 200mg/次 |
帕博利珠单抗 | 纳武利尤单抗 | 特瑞普利单抗 | 信迪利单抗 | 卡瑞丽珠单抗 |
100mg 50mg | 100mg 40mg | 240mg/支 | 100mg/支 | 200mg/支 |
帕博利珠单抗 | 纳武利尤单抗 | 特瑞普利单抗 | 信迪利单抗 | 卡瑞丽珠单抗 |
17918元/100mg | 9260/100mg | 7200元/240mg | 7838元/100mg | 19800/200mg |
药物名称 | 帕博利珠单抗 | 纳武利尤单抗 | 特瑞普利单抗 | 信迪利单抗 | 卡瑞丽珠单抗 |
客观缓解率(ORR) | 48%vs19.4% | 16.6%vs4.2% | 17.3% | 79.2% | 84.8% |
药物名称 | 帕博利珠单抗 | 纳武利尤单抗 | 特瑞普利单抗 | 信迪利单抗 | 卡瑞丽珠单抗 |
赠药政策
| 低收入者“3 3”赠药 | 符合适应症“6 7”赠药 | 适应症“4 4”赠药 | 会员“3 2”积分 | 买2赠2,再买4赠至一年 |
赠药前年费用 | 60.92 | 47.95 | 18.72 | 26.65 | 51.48 |
赠药后的年费用 | 32.25万 | 22.13万 | 10.08万 | 17.24万 | 11.88万 |
在绝大多数、未经挑选的实体瘤中,单独使用PD-1抑制剂的有效率,其实并不高:10%-30%左右。唯一的例外,是经典型霍奇金淋巴瘤,有效率突破60%以上。
PD-1抑制剂有效率偏低,为何学术界和癌友圈还如此疯狂和痴迷呢?主要的原因是:PD-1抑制剂疗效的持久性。由于免疫系统具有记忆功能,因此一旦PD-1抑制剂起效,其中部分病友实现临床治愈,也就是说五年、十年不复发、不进展、长期生存。尤其是较早的恶性黑色瘤、肾癌以及非小细胞肺癌中,都已经观察到了类似的现象:PD-1抑制剂的出现,将晚期恶性黑色素瘤和晚期非小细胞肺癌的生存率提高了数倍:晚期恶性黑色素瘤的5年生存率从15%左右,提高到了35%上下;而晚期非小细胞肺癌的5年生存率从5%左右,提高到了15%上下!与传统治疗相比,免疫疗法治疗可能需要更长时间才能产生可检测到的肿瘤缩小迹象。有时肿瘤甚至可能在变小之前还会生长,因为随着免疫细胞的浸润和癌细胞的侵袭,肿瘤会膨胀。这种被称为假性进行的现象仅在免疫疗法中发生。在某些癌症类型中,免疫相关的副作用预示着治疗成功,特别是发生白癜风的黑色素瘤患者(斑点性皮肤损失)- 但对于绝大多数患者而言,副作用和治疗效果之间没有明确的联系。
和靶向治疗一样,免疫治疗一样需要寻找癌症特异性的生物标记物,针对癌细胞独有的特征去精准的打击。肿瘤细胞产生和释放的某种物质,常以抗原,酶,激素等代谢产物的形式存在于肿瘤细胞内或宿主体液中,可根据他们的免疫特征来识别肿瘤。目前,已明确的与免疫治疗疗效相关的生物标记物主要有以下几类:
购买PD-1药仍是一笔很大的开支,但最最让人心塞的是,有些患者花了这么多钱,却没有得到较好的治疗效果。临床研究表明,只有约20%的患者能从PD-1药物中获益,换一句话说,那些不能获益的患者钱白花了。以上生物标记物中,目前,具有临床价值的五大预测因子为:PD-1与PD-L1如同一对“情侣”,其中PD-1位于免疫细胞的表面,而PD-L1则位于肿瘤细胞的表面。这对“情侣”一旦结合,负责杀伤肿瘤细胞的免疫细胞就会把肿瘤细胞当作“朋友”,从而不再对其进行攻击。TMB是一种定量的生物标志物,它表示了人体内每百万个碱基中发生错误的数量。具有高TMB的肿瘤细胞具有较高的新抗原水平,这被认为可以帮助免疫系统识别肿瘤并刺激抗肿瘤T细胞的增殖和抗肿瘤反应。目前获得FDA批准认可的免疫治疗标记物有MSI(dMMR)和PD-L1,可以评估免疫治疗药物用药获益与否。
微卫星是我们人体基因中的一小段DNA片段。DNA中的碱基对可能由于走丢了或者没站对位置导致这条队伍出现了问题,也就形成了微卫星不稳定性。而这种没排好队的DNA片段常常出现在肿瘤组织中,我们将其称之为MSI-H。带有MSI-H变异的肿瘤分布非常广泛,出现在结直肠癌、子宫内膜癌、胃癌、肝细胞癌、卵巢癌、子宫颈癌、肾细胞癌、肺癌、前列腺癌、乳腺癌、膀胱癌等多个癌种中。也就是说,上述MSI-H肿瘤患者均可能从PD-1药物中获益。PD-1/PD-L1治疗的根本在于激活T细胞,使其更好地对抗肿瘤。但如果肿瘤微环境中毫无T细胞的踪影,那么PD-1药物还能发挥作用吗?已有相关报道,免疫治疗的效果和肿瘤是否被免疫细胞浸润有关,若是肿瘤中无肿瘤浸润T细胞,PD-1药物将毫无用武之地。所以,肿瘤组织中有丰富的T细胞,那它对免疫疗法的响应较高。国家卫健委特别强调了超适应证使用的问题,国家批准应用的适应症,才能在临床上使用。如果国家不批,医生在临床上使用,叫超适应证使用,这是没有法律保护的。超适应症用药在法律法规层面上是违反了国家规定。另外,获批适应证也关系到一个药物会不会很快进入医保,也牵涉到一个慈善供药的问题。中国各大药厂都推出了慈善供药的政策,如患者用够几个疗程以后,如果有效就可以免费用药。而且,一定是在这个药物的适应症之内才能推出慈善供药。但是,如果一个药在国际上已经有临床试验结果,国际上也已经有药品监管部门批准了适应证,而中国因为各种情况,导致药物已经上市但某些适应证还没有获批,在这种特殊情况下使用是可以的。但是,如果一个药在国外没有获批适应证,在国内也没有获批适应证,这是不可以在临床上使用的。即使是病人要求,医生也不应该答应。根据卫健委2018年9月发布新型抗肿瘤药物临床应用指导原则(2018年版),中国肿瘤病人在“特殊情况下"也可以获得创新药物的治疗,这时候医生在特定情况下使用PD-1单抗,就不会犯法,否则就是犯法了。对PD-1抑制剂有效的患者,一般来说,疗效较持久;但是,大概有30%左右的患者,会出现疾病的耐药。目前有以下几种应对方案:
FDA汇总了8个针对黑色素瘤的临床试验数据,共2624例患者使用PD-1单抗,其中1361例(52%)患者“无效”,肿瘤直接增大(原发耐药)或者先缩小后增大(继发耐药)。针对这1361例患者,其中有692例患者因为自身状态不错,决定继续用PD-1药;669例患者停止了PD-1治疗,结果发现:PD-1无效后继续用药的患者,有效率19%,中位生存期24.4个月;PD-1无效后彻底放弃PD-1治疗的患者,中位生存期只有11.2个月。
Keytruda无效后使用Opdivo:DCR为45%在2016 ASCO会议上,报道了梅奥使用默沙东的PD-1抗体Keytruda治疗过140例恶黑患者,其中70例有效,70例人无效,他们系统的分析了这70例无效患者中的43例的后续治疗过程。43例患者中的22例更改为使用BMS的PD-1抗体Opdivo或者联合CTLA-4抗体,或者继续Keytruda联合化疗。结果7位患者肿瘤缩小,3位患者肿瘤稳定无进展,疾病控制率达到45%。
3.PD-1无效后更换使用CTLA-4抗体或者双免联合:一批PD-1抗体单药失败的恶黑患者的后续治疗研究:A组47位患者PD-1治疗失败之后使用CTLA-4抗体Yervoy,有效率16%,疾病控制率42%,一年生存率54%;B组37位患者PD-1治疗治疗失败之后使用CTLA-4抗体Yervoy联合PD-1抗体Opdivo,有效率21%,疾病控制率33%,一年生存率55%。此前公布的CTLA-4抗体Yervoy治疗黑色素瘤三期临床数据显示:Yervoy作为一线药物,对恶黑患者的有效率是16%,控制率是41%。此次研究显示A组数据与此前Yervoy三期数据差异不大,提示先使用PD-1无效不影响后续使用Yervoy。
联合化疗:近期,《临床肿瘤研究》(CCR)杂志发表了一项有趣的基础与临床综合探索性试验,提示:吉西他滨可以和PD-1抗体配合,发挥较好的协同作用。在这篇论文里,来自瑞士的Alessandra Curioni-Fontecedro教授分享了两个特殊的病例:晚期恶性间皮瘤患者,单独用PD-1抗体或者单独用吉西他滨化疗均无效,但接受PD-1抗体联合吉西他滨治疗,肿瘤明显缩小。联合放疗:有研究显示,局部放疗可以上调γ-IFN的表达,使得亲代及耐药肿瘤细胞MHC-1类分子表达增加,恢复亲代和耐药肿瘤细胞对抗PD-1抗体的治疗反应性,因此,放疗可以在一定程度上逆转PD-1抗体的耐药。免疫治疗联合辅助放疗,也将成为一种有效的治疗模式。
当PD-1抗体耐药导致无效的情况时,著名免疫学专家陈列平教授曾经指出,部分PD-1单抗耐药的患者使用PD-L1单抗药物后依然会有效。机体对PD-1单抗耐药的原因并不是真正的肿瘤药物耐药,是基于机体对药物抗体自身的抗原属性产生了抗体,免疫学上称为抗抗体。也就是说患者不是对这个靶点耐药了,还是对药物本身的动物源属性产生了抵抗,再换另一种来源的此类药物依然能否起效。特别针对使用PD-1单抗后,副反应增大的患者。不过2018年欧洲肿瘤学会议上,报道了一个案例:一个61岁的晚期肺腺癌患者,先接受了5次PD-1抗体O药治疗,然后副作用不能耐受,自行换成了PD-L1抗体T药;用T药1次后,患者就出现了严重的心肌炎,抢救无效死亡,所以这个更换方案有待商榷。
针对新靶点的免疫检查点抑制剂:IDO、LAG-3、TIM-3等靶点,是目前研究最多的。目前新药仍处于在研阶段,期待早日上市,造福更多免疫耐药的患者。
有的患者想问,自己一开始吃的K药,国内的PD-1上市后价格便宜很多,可不可以换成国产的呢?国内的专家认为:
不是所有PD-1/L1单抗都一样。我们举个例子,辉瑞跟默克雪莱诺的PD-L1单抗(Avelumab)在二线治疗非小细胞肺癌的临床研究(JAVELIN Lung 200)结果失败了,这至少证明PD-1单抗和PD-L1单抗的临床疗效是不一样的。另外,我们现在也知道在中国有一些PD-1单抗有独特的毒性。所以,总体而言,目前没有证据证明不同的PD-1单抗在临床治疗上必定会有相同的临床结局,也没有证据证明它们之间是可以替换使用的。
首先,如下病人不适合、不建议尝试PD-1抑制剂:病情进入终末期、卧床不起的病人;有急性细菌感染,尚未控制的病人;做过肝移植、肾移植的病人;有系统性红斑狼疮、白塞病、干燥综合征、血管炎等自身免疫病,尚未控制的病人;携带MDM2扩增、EGFR突变、JAK突变等病人等(有些患者可以首选靶向治疗)。
其次,使用PD-1抑制剂前,一般建议完善如下检查,基本正常,然后再使用:血常规、肝肾功、电解质、凝血、甲状腺功能,心电图、腹部B超、胸部X线。
最后,也是最重要的一点:越来越多的证据支持,PD-1抑制剂这类免疫治疗,应该在患者一般情况比较好,肿瘤负荷比较小的时候,尽早用。
PD-1的国内上市意味着国内癌症患者将以更优惠的价格用上全球先进的抗癌药。也期待这些抗癌“神药”尽快在更多适应症获批,为更多患者带来生存获益和希望!患者朋友可以致电全球肿瘤医生网医学部咨询更多抗癌技术、药品或专家(400-666-7998)。
近几年医疗圈大热的免疫治疗,K药最新的数据将晚期肺癌不到5%的五年生存率一下提高到29.6%,翻了将近6倍,但是对于普通的患者来说,这些数字永远都是遥远又没有温度的。我们还是来看真实的故事吧。(还不知道K药是什么的病友看这里面的科普内容吧癌症治愈的助推器②——盘点PD-1治疗最新进展)
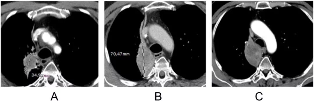
53岁的张大爷一辈子烟不离手,13年的时候出现了严重的咳嗽,并且出现了咯血,张大爷自觉不妙,去医院一查果然挨了当头一棒,他被诊断为肉瘤样肺癌T3N2Mx期。
对于张大爷的肿瘤,当下可选的治疗方案就是卡铂 紫杉醇,联合根治性放疗。但是14年5月,张大爷复查发现病情进展了,腹膜和小肠,肠系膜淋巴结,肝脏都发现了广泛的转移病灶,癌症患者都知道,对于这种全身广泛转移的情况,生存期一般都没多久了。但是幸运的是,那个时候已经有了被大家誉为抗癌“神药“的PD-1,因为美国前总统卡特的黑色素瘤就是被这个药物完全治愈的。虽然当时肉瘤的适应症还没有获批,但大家都非常认可这款药物的广谱抗癌特性,很多患者将它当作最后的一线希望进行尝试。
张大爷也抱着这种心态决定做最后的垂死挣扎,入组了K药的临床试验,没想到,张大爷完全没有出现当时化疗时恶心呕吐的副作用,耐受很好,这就是个好的开始,过了段时间复查,竟然发现腹部的病灶竟然完全都消失了,并且肺部的病灶也很稳定。

张大爷继续治疗,直到直到2015年2月肺部病变开始缓慢增长,医生讨论后,决定进行右上肺叶切除术和淋巴结切除术。

手术后,张大爷恢复了免疫治疗,最后在2018年2月停止治疗。到目前为止,张大爷仍处于完全缓解状态,也不再需要任何治疗,张大爷又回到了正常的生活,如果不说,没人知道他曾命不久矣,唯一和之前不同的是,他再也不吸烟了。
来源:环宇达康