三代靶向药奥希替尼出现耐药:我该怎么办?
自2017年奥希替尼在中国上市以来,成为了许多肺癌晚期EGFR阳性患者的“救命稻草”,因为它成功解决了第一代靶向耐药的难题,作为EGFR阳性患者的二线治疗,不仅延长了患者的生存期,还大大提高了患者的生活质量。而奥希替尼当然不会止步于此,伴随FLAURA临床研究的报道,奥希替尼的国际使用已进阶到一线临床。
上次的文章,我们为大家介绍了关于奥希替尼的一线使用情况:EGFR-TKIs百花齐放,晚期肺癌患者究竟如何抉择?
紧接着,很多觅友就会考虑到,如果我一线使用奥希替尼后再次出现耐药该怎么办呢?对于长期坚持对抗肺癌的觅友们来说,这是一个既严峻又不得不面对的问题。
今天我们从耐药机制上来详细解析,为大家打消这个疑虑。
研究数据表明,如果一线使用EGFR靶点的第一代靶向药物,部分患者产生的耐药突变是EGFR基因的T790M位点。这时,患者可以用上第三代药物奥希替尼继续治疗,奥希替尼二线耐药,会在T790M的基础上产生新的耐药突变,主要是C797S,突变率约为20~40%。
出现C797S可以继续回用一代靶向药吗?不一定!
因为这个C797S是在T790M的基础上出现的,如果T790M和C797S这两个基因突变位点在一条染色体上,就是所谓的顺式构型,目前暂时没有靶向药物可以应对。尽管细胞学试验证实可使用AP26113(布格替尼)联合EGFR蛋白药物爱必妥控制。但这种用药策略还没有上到临床阶段,而且药物可及性及用药剂量也存在一定不确定性,有一定的风险。
面对二线使用奥希替尼耐药机制较为复杂的情况,患者还可能面临着转变成小细胞肺癌(SCLC)或肺鳞癌(SqCC)转化的可能性。而目前一线使用奥希替尼的研究数据中未发现肺癌亚型转化的报道,也并没有出现T790M继发突变,说明奥希替尼的一线用药具有一定的优势,后续的耐药处理也相对简单些。
2018年欧洲肿瘤学年会报道了91名EGFR阳性的肺癌患者,一线使用奥希替尼的耐药机制主要是MET基因扩增(占比15%),EGFR基因的C797S突变占比7%,PIK3CA突变占比7%、HER2基因扩增占比2%、ALK基因融合突变占比1%、BRAF基因的V600E突变占比3%、KRAS突变占比3%,没有出现T790M突变,没有出现肺癌亚型的转化。
在一线使用奥希替尼耐药后,如果出现MET基因扩增,可以考虑奥希替尼联合针对MET基因的抑制剂来进行治疗,如果产生C797S突变,可以使用一代靶向药进行治疗。注意:此时的C797S突变与二线耐药的C797S突变情况不同,因为二线耐药的C797S突变一般是与T790M突变顺式共存,而一线奥希替尼耐药是不会出现T790M突变的,所以此时的C797S单发突变是可以用回一代靶向药的。
这里就充分展现了奥希替尼一线用药的好处,不仅一线耐药机制较后线耐药机制相对简单,而且在奥希替尼一线耐药后,如果出现C797S突变,患者的二线治疗可以继续使用第一代靶向药,二线治疗失败后,如果出现T790M突变,患者三线治疗还可以继续回归到奥希替尼。
一线使用奥希替尼的觅友们可以避免T790M耐药突变的发生,使靶向药物有机会循环使用,即便最终奥希替尼还是发生耐药了,依旧可以考虑其他针对耐药靶点的药物。
上图表明,奥希替尼一线耐药后的治疗策略:
2018年,国内报道了奥希替尼耐药后联合克唑替尼(针对MET基因扩增的靶向药)治疗进展期非小细胞肺癌获得成功。研究也证实,奥希替尼一线用药耐药后进行联合用药,患者能获得明显获益[4]。
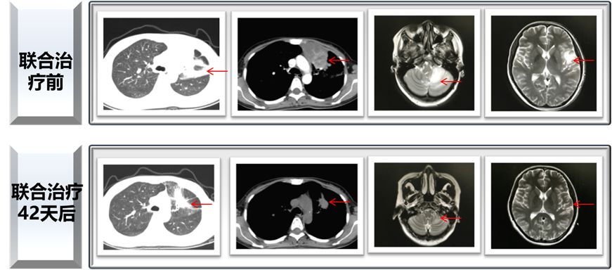
患者在使用奥希替尼耐药后,基因检测发现存在EGFR敏感突变19del,同时存在有MET扩增( ),但不存在T790M突变。基因检测的结果提示一代TKI联合克唑替尼可能会有效果,于是患者在2017年2月7日开始使用一代TKI联合克唑替尼进行治疗,联合治疗42天后,患者的影像学结果有了明显的好转!
当然,还要许许多多的方案等着科学家们去探索,联合抗血管生成药物,如安罗替尼,或联合化疗。免疫治疗目前不是十分支持用于EGFR突变靶向耐药的患者群,除非患者有较高的证据支持(如PDL1高表达、高TMB负荷等)。
抗癌是一场持久战,耐药在所难免。但可以通过灵活使用靶向药,延缓耐药的发生,或在恰当的时间使用恰当的药物或者组合牵制癌细胞。相信随着科学技术的发展,新药物的研发不断加快,非小细胞肺癌患者的长期生存将不仅仅是一个梦想。
相关资讯







