真实案例︱HER2阳性胃癌5线化疗长期生存获益启示
本文报告一例HER2阳性转移性胃癌患者多线抗HER2治疗,长期生存获益的病例,截至该病例报告发表时术后经多线化疗联合曲妥珠单抗得到生存获益超过5年。患者已进行5线化疗,其中三次联合曲妥珠单抗治疗(图1)。

图1.疾病治疗方案及观察要点变化
病例介绍
初诊
患者男性,55岁
2011.11,胃癌根治术
术后病理:中-低分化腺癌;在胃小弯(1/1)和胃大弯(5/13)淋巴结转移;免疫组化EGFR( ),HER2(3 ),Ki‑6720%(图2)。
术后腹部CT:肝转移;行经皮肝穿刺微波热凝术。

图2. HER2免疫组化病理切片
一线方案:SOX 曲妥珠单抗
2012.11-2013.06,患者接受了8个周期的SOX联合曲妥珠单抗,8周期后给与曲妥珠单抗维持4周期(L-OHP,130 mg/m2d1;S-1,50 mg 2/日,d1-14,21天一周期;曲妥珠单抗初始剂量为 8mg/kg,以后 6mg/kg 每三周一次)。
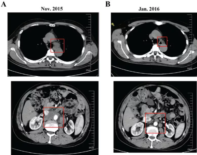
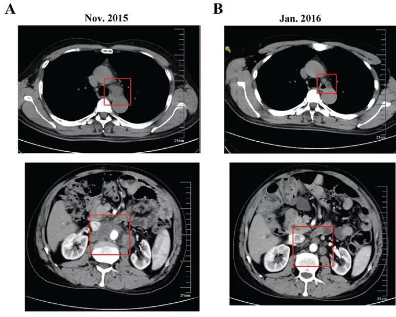
2015年11月,复查CT:纵隔、腹膜后淋巴结转移(图3)。
二线方案:L‑PTX 曲妥珠单抗
日期:2015年11月
L‑PTX(175 mg/m2d1);S-1(50 mg2/日 d1-14);曲妥珠单抗(初始剂量为 8mg/kg,随后 6mg/kg 每3周一次);21天一周期。
2016.01,复查CT示纵隔、腹膜后淋巴结缩小(图3),肿瘤标志物降低(图5)。
三线方案:S-1 曲妥珠单抗~阿帕替尼
2016.03:后腹膜10MV放疗(50 Gy/25 fr)。
2016.03-2016.08:同步给予S-1联合曲妥珠单抗治疗。
2016.08:CT示肺转移(图4)。靶向药物改为阿帕替尼(250mg,2/日,从2016.8至2016.11。
2016. 12:CT扫描显示肺部病变导致疾病进展(图4)。
四线方案:EOX
日期:2016年12月
EOX(表柔比星50 mg/m2,d1;L-OHP130 mg/m2, d1;希罗达1000 mg/m2,d1-14,21天一周期,共5周期。
2个周期后肿瘤标志物水平下降,PFS6个月(图5)。
2017.05:CT扫描显示肺部出现多处新病变(图4)。
五线方案:伊立替康 曲妥珠单抗
日期:2017年7月
伊立替康 120 mg/m2,d1、d8,曲妥珠单抗同法同前。
CT评估:肺部病变缩小,肿瘤标志物水平明显降低(图5);治疗期间,左室射血分数保持稳定(LVEF 62-74%),其最大降低率<16%。血液学毒性主要为白细胞减少。
目前(2017.08)患者仍处于稳定状态(图4)。

图3. 纵隔及腹膜后结节变化

图4.肺结节变化

图5.肿瘤标志物变化
专家点评
对于存在HER2过表达的转移性胃癌患者,曲妥珠单抗 铂类 氟尿嘧啶类药物是标准一线治疗方案。ToGA等临床试验中,在一线化疗中引入曲妥珠单抗取得了令人满意的OS获益。该病例报告患者一线化疗联合曲妥珠单抗治疗后获得了长达26个月的PFS,远远超过了ToGA等研究的平均水平(7.6月),也进一步表明一线联合抗HER2治疗可提高患者生存获益。遗憾的是患者并未一线持续曲妥珠单抗维持治疗至疾病进展,或许错过了生存获益最大化的可能性;因此在不良反应可以耐受的情况下,为了更好地提高患者的局部控制和远期获益,标准治疗后应维持治疗至进展。
既往研究显示,一线进展后二线继续曲妥珠单抗联合化疗,PFS获益约为2.11个月,OS获益约为6个月。该病例中二线化疗联合曲妥珠单抗PFS达到了令人鼓舞的10个月。
NCCN指南一直以来将HER2状态作为晚期胃癌一、二线治疗方案的分层因素。2018年CSCO指南也新增HER2作为二线治疗的主要分层因素。推荐曲妥珠单抗作为二线治疗选择药物。雷莫芦单抗单药或联合紫杉类药物二线治疗也已获得FDA批准并进入NCCN指南推荐。2019年ASCO GI会上公布的一项研究摘要(Abstract 69),主要探讨了转移性GEJ HER2阳性患者一线接受化疗联合曲妥珠单抗后,二线接受化疗联合曲妥珠单抗或Ramucirumab治疗的生存期数据对比。结果显示联合曲妥珠单抗的二线治疗后的生存期 (SST)较联合Ramucirumab有非显著性改善的趋势。当然该项研究的样本量有限,需要后续研究来进一步探求晚期二线靶向药物的优化选择。
该病患三线化疗时,靶向治疗由曲妥珠单抗更换为目前国内批准的胃癌三线靶向治疗药物阿帕替尼,但很遗憾并未获得有效的疾病控制。该患者四线单独化疗(三线及后线化疗的具体方案目前无明确推荐)发生PD后,五线治疗时再次引入曲妥珠单抗仍可再次获得SD。总体来看,该病例为HER2阳性转移性胃癌患者,前后经历了5个线序的化疗,期间前3线化疗联合曲妥珠单抗靶向治疗(PFS=36个月),放疗后发生PD,靶向治疗更换为阿帕替尼无效;第5线化疗再次引入曲妥珠单抗可继续获得SD(OS=57个月)。显示曲妥珠单抗在HER2阳性晚期胃癌多线治疗中的应用可能有利于患者获得更长的生存期(且一线起始的抗HER2治疗更显著)。
纵观该病患整体治疗,我们可以观察到HER2通路在整个疾病发生发展过程中的重要性。2019年ASCO GI会议上另一项来自中国的真实世界数据(abstract 113)显示,HER2阳性晚期胃癌患者可分别从一/二/三及后线的曲妥珠单抗治疗中获益,但是一线进展后二线使用或不使用曲妥珠单抗的临床结果没有显著的差异。分析其原因,有可能与信号通路发生改变,包括前线治疗后HER2表达缺失、旁路激活或诱发HER-2下游信号主要是RTK通路某些基因突变等有关,导致HER-2靶点不再是刺激肿瘤生长、侵袭和转移的主要因素。T-ACT研究结果也显示,入组前16例患者获得的HER2阳性肿瘤组织中,69%在二线治疗时不再为HER2阳性。与其他信号通路靶向药物的耐药和再引入问题一样,对于胃癌患者来说,抗HER2治疗过程中对于其表达状态的动态监测需要额外重视,近期国内不同中心分别开展的ctDNA血检研究可能在将来逐步普及,以解决广大医生目前临床靶向用药的疑虑。
对于晚期胃癌治疗来说,有效、可及且耐受的药物有限,因此如何排兵布局,将每一个药物的作用最大化,是我们亟待解决的问题,也期待相关的临床试验提供更多的循证医学证据指导治疗用药。
封面图片来源:摄图网正版图库
责任编辑:胃癌互助君
来源:肿瘤瞭望
相关资讯







