CT影像上的肺癌
对于肺癌来说,是最难治疗的肿瘤之一。中国肺癌的五年生存率大约是16%,主要的治疗手段包括内科治疗、外科治疗、放疗、靶向药物治疗药物、PD-1免疫治疗等。特别是最新的靶向药物和免疫药物,更因为副作用小或者起效时间长久等优势,不断成为关注的热点。
但是识别的第一步往往是从影像学开始,就一起看看CT上的肺癌吧
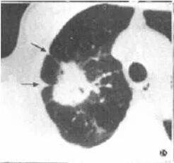
一、分叶征
肿瘤边缘较为明显的凹凸不平的多个弧形表现,以分叶部分的弧度为标准:弦距/弦长>2/5为深分叶。与肿瘤细胞分化程度不一,各部位生长速度不同有关。在支气管、血管进出肿瘤及胸膜陷入部位可形成明显凹陷、分叶,CT检查:发生率为80%。

二、棘状突起
介于分叶和毛刺之间的一种较粗大而钝的“杵状”结构,有肺癌细胞的浸润。

三、毛刺征
肿块边缘不同程度棘状或毛刺样突起,仅见于肿块和肺实质交界面。一般而言,周围型肺癌的毛刺为短毛刺,而结核瘤、慢性炎症的长而稀疏毛刺称长毛刺。

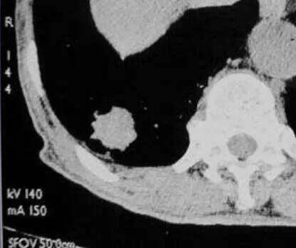
四、胸膜充气征
肿瘤与胸膜之间的线形或三角形影像,发生率约50%,腺癌和细支气管肺泡癌多见。 形成条件:瘤体方向的纤维化收缩,胸膜无增厚粘连,瘤体内纤维化--根本动力。 影响因素:瘤体与壁层胸膜的距离。

五、空泡征
结节内小灶透光区,直径小于5MM,多见于腺癌和细支气管肺泡癌,CT检查:发生率为24-48%。 空泡征的病理基础:未被肿瘤组织占据的肺组织,未闭合的细支气管,乳头状癌结构间的含气腔隙,未闭或融解、破坏、扩大的肺泡腔 。

六、细支气管充气征
细条状,直径约1mm的空气密度影,发生率约为33.3%左右。病理基础:扩张的细支气管。

七、钙化
CT检查:发生率为6-7%,斑片状钙化位于肿瘤中心, 肿瘤坏死后发生;结节状钙化多位于周边,肿瘤将原有钙化包裹所致。

现在治疗肺癌的手段和药物都更加丰富,例如PD-1,虽然效果不错但是也有较大副作用且价格不菲,一些患者通过私人渠道从国外购买,面临不小的风险。建议您与正规医疗机构合作,在医生指导下使用。
收藏
回复(2)参与评论
评论列表






