首页
圈子
互助
医生
药品
专栏
资讯
话题
健康小屋
APP下载
登录
注册
消息
系统消息
评论
新粉丝
首页
圈子
乳腺癌
帖子详情
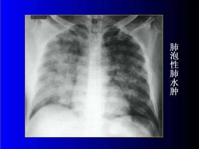
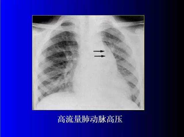
肺部基础X片及CT片解读
英姿飒爽
来源:
觅健
2016-11-29 15:20:35
3606阅读
抱抱
有用
收藏
回复(1)
举报
上一篇:
下班了
下一篇:
三疗
参与评论
更多
按投票顺序
时间顺序
按投票顺序
发布
秦川牛7528
很基础的知识,准备慢慢学习。感谢分享!
举报
2016-11-30 10:28:17
有用(
0
)
回复(
0
)
取消
发布
评论列表
更多
按投票顺序
时间顺序
按投票顺序
秦川牛7528
很基础的知识,准备慢慢学习。感谢分享!
举报
2016-11-30 10:28:17
有用(
0
)
回复(
0
)
取消
发布
相关推荐
热点推荐
暂无数据
热门帖子
1
抗癌随记——载满路春光,守岁月温柔
2
我的免疫力日记之心暖向阳赏花开
3
是转折—但不是结局
4
十年灯烬,终见春山
5
我平安七年啦!
6
写给我的家属,谢谢你的守护
7
赴春约
8
乳腺癌术后1年大复查,我这样顺利通关!附东肿检查攻略
病友圈
肺癌圈子
去看看
肠癌圈子
去看看
肝癌圈子
去看看
乳腺癌圈子
去看看
淋巴瘤圈子
去看看
卵巢癌圈子
去看看
今日推荐
1
新一轮治疗开启
2
绘画2026/124
3
好热
4
七周年
5
操碎了心
6
宝刀锋从磨砺出,梅花香自苦寒来
7
关于看报告的一点想法
8
下雪了
推荐关注
开心❤妈12.2--68.1
关注
忘了吧
关注
琴姐3177
关注
微笑的人生2046
关注