病例学习:儿童肝癌 1 例
近期,来自美国埃默里大学医学院的 Thompson 医生等报道了儿童肝癌一例,并将其发表在 Clinical Pediatrics 杂志上。病例详情如下。
病史及查体:患儿,女,9 岁,因轻度弥散性腹痛 2 周及巩膜明显黄染 2 日入院。入院前就诊于他院,检查示明显肝肿大。入院后进一步检查示:心率 144 次 / 分,呼吸 48 次 / 分。右肋缘下 5 cm 可触及无痛性肿大肝脏。双下肢水肿,双掌红斑。
实验室检查示:小细胞低色素性贫血(血红蛋白 91 g/L,平均红细胞体积 76 fL ),转氨酶升高(AST 419 U/L,ALT 78 U/L)和高胆红素血症 (总胆红素 5.5 mg/dL)。血清 α- 甲胎蛋白明显增高,为 100000 ng/ml。
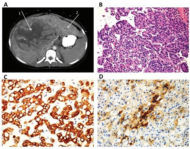
腹部超声示:肝肿大。腹部增强 CT 示:明显肝脏结节,肝右叶肿块约 15 cm x 12 cm x 18 cm 大小(图 1A)。脾肿大,弥漫性肺结节。
入院后行肝楔形活检术,结果示:高分化性肝细胞癌(HCC)与小结节性肝硬化(图 1B)。肝硬化 HBsAg 免疫组化检测示: HBsAg 阳性(图 1C)。肿瘤细胞 α- 甲胎蛋白免疫染色呈阳性(图 1D)。且该患儿血清 HBsAg 阳性,乙型肝炎病毒抗体(抗 -HBs)阴性。血中 HBV DNA 为 100000 IU/mL 和 HBeAg 阳性。该患儿 HBV 基因型为 A 亚型。HIV-1 及 HCV 病毒检测为阴性。另其遗传性胆汁淤积病,使其罹患肝癌的可能性增大。
图 1 A 增强 CT 示:1 肝右叶肿块约 15 cm x 12 cm x 18 cm 大小,2 明显肝脏结节,提示肝硬化; B HE 染色示:高分化的恶性肝细胞癌(200 倍);C:肝硬化 HBsAg 免疫组化染色(400 倍);D:肿瘤细胞 α- 甲胎蛋白免疫组化染色(400 倍)
其母亲产前记录示妊娠期间 HBsAg 阳性。但具体诊断不明,且未进行进一步的检查与治疗。该患儿为剖腹产分娩出生的足月儿,1 日龄时给予注射 HBV 疫苗和 HBIg。 3、5 和 18 月龄时再次注射 HBV 疫苗。注射疫苗期间无 HBV 感染。未曾母乳喂养。且该患儿无血液传播或性接触传播的病史。
该患儿病情恶化迅速,进展至多系统器官功能衰竭。后呼吸衰竭,需气管插管。超声心动图检查结果示:肝肺综合征。随后出现急性肾功能衰竭。肝病失代偿,总胆红素增加到峰值 16 mg/dL。进行姑息治疗。入院后 16 天,患儿死亡。最终诊断:肝细胞性肝癌。慢性乙型肝炎病毒感染引起。
收藏
回复(0)参与评论
评论列表






