肺粘液腺癌 学习笔记四:影像细分预后
黏液性肺腺癌 (Invasive Mucinous Adenocarcinoma, IMA)是肺腺癌的一个罕见亚型,性质由其特殊,和其他的肺腺癌,甚至其他的大部分癌症都非常不一样。除了在病理层面可以分类以外,肿瘤在 CT 的形态也和预后有关。


肺粘液腺癌在影像学角度可以被分为两类:
1. 孤立型粘液腺癌 (Solitary-type IMA)
2. 肺炎型粘液腺癌 (Pneumonic-type IMA)
上海肺科医院的一项研究(影响因子:7.109)统计了 23 种可以通过 CT 观察到的IMA 的形态特征,并且总结了这些影像学特征和患者总生存期的关系。
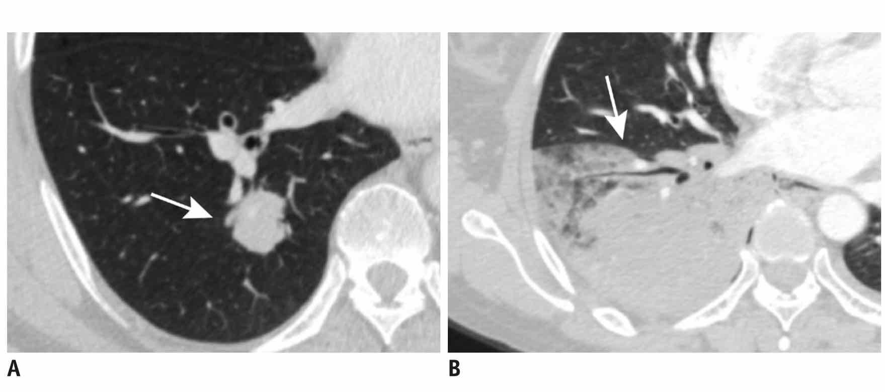
其中最为直观的就是孤立型、肺炎型的形态特征差异,其余按下不表。此研究统计了 317 位在 2011 至 2015 年间确诊为 IMA I ~ III 期患者,其中孤立型患者占 91.8%,肺炎型占 8.2%。

左图为孤立型 IMA,右图为肺炎型 IMA。
虽然我们不具备专业医生的读片能力,但这里其实相对容易的能看出两图之间的区别:
1. 孤立型的肺粘液腺癌主灶普遍呈现为一个有固定形状的独立物质;
2. 肺炎型的肺黏液腺癌主灶普遍呈现为一团在肺叶中广泛分布的肿瘤;
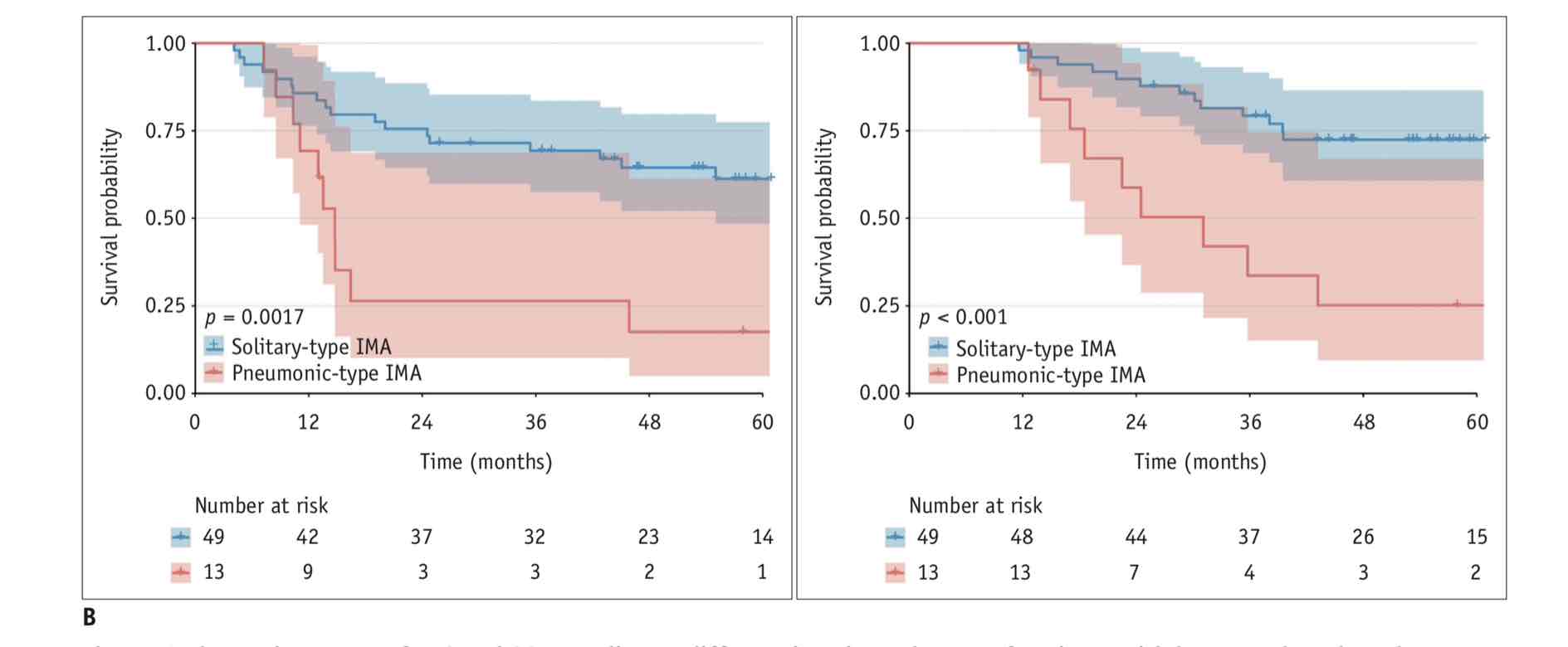
该研究中所有的患者都经历了手术治疗。经统计发现,孤立型的患者总生存期 (Overall Survival, OS) 和术后的无病生存期 (Disease-free Survival, DFS) 都要显著的高于肺炎型患者。

上图是在经过 PSM (统计学上的一种公平比较数据的处理方式)处理后,孤立型(蓝线)与肺炎型患者(红线)在手术切除后的无病生存期(左图)与总生存期的对比 (右图)
在被确诊为 I ~ III 期 IMA 且经过手术治疗的患者人群中,不难看出孤立型的 IMA 的总生存时间和术后的无病生存时间都要优于肺炎性 IMA 患者。
收藏
回复(2)举报
参与评论
评论列表
按投票顺序
单薄的荔枝我们就是肺炎型,哎~
举报
2023-07-16 23:15:01 有用(0)
回复(0)
谢谢分享
举报
2023-07-16 05:27:44 有用(0)
回复(0)
相关推荐
热点推荐
2013-11-19 14:23:04
爸爸确诊病情已经有11个多月了。一共做了8次大化疗,2次小化疗,以及35次放疗,上月返医院检查“瘤子”没有了。这一路走来,有多少的艰辛与泪水。在这里与大家分享爸爸的治疗过程。起初,拿到病例报告的时候,
2013-11-19 14:31:01
妈妈患肺癌已经有三年了,这三年来一直在接受治疗到现在,下面是妈妈检查以及治疗的过程。2010年10月,妈妈体检出肺癌IV期,纵隔淋巴转移,肝部转移,去省肿瘤医院复查,做了PET-CT,结果一样,省肿瘤
2013-11-19 15:04:43
2011年11月,妈妈被诊断肺癌,我在网上浏览了很多帖子,学到了很多,看到了一批又一批共同奋斗在抗癌战线上的战友。这15个月走下来,越来越体会到抗癌之路的艰辛,今天发个帖子,记录一下妈妈的治疗经过,也







