癌胚抗原升到8了

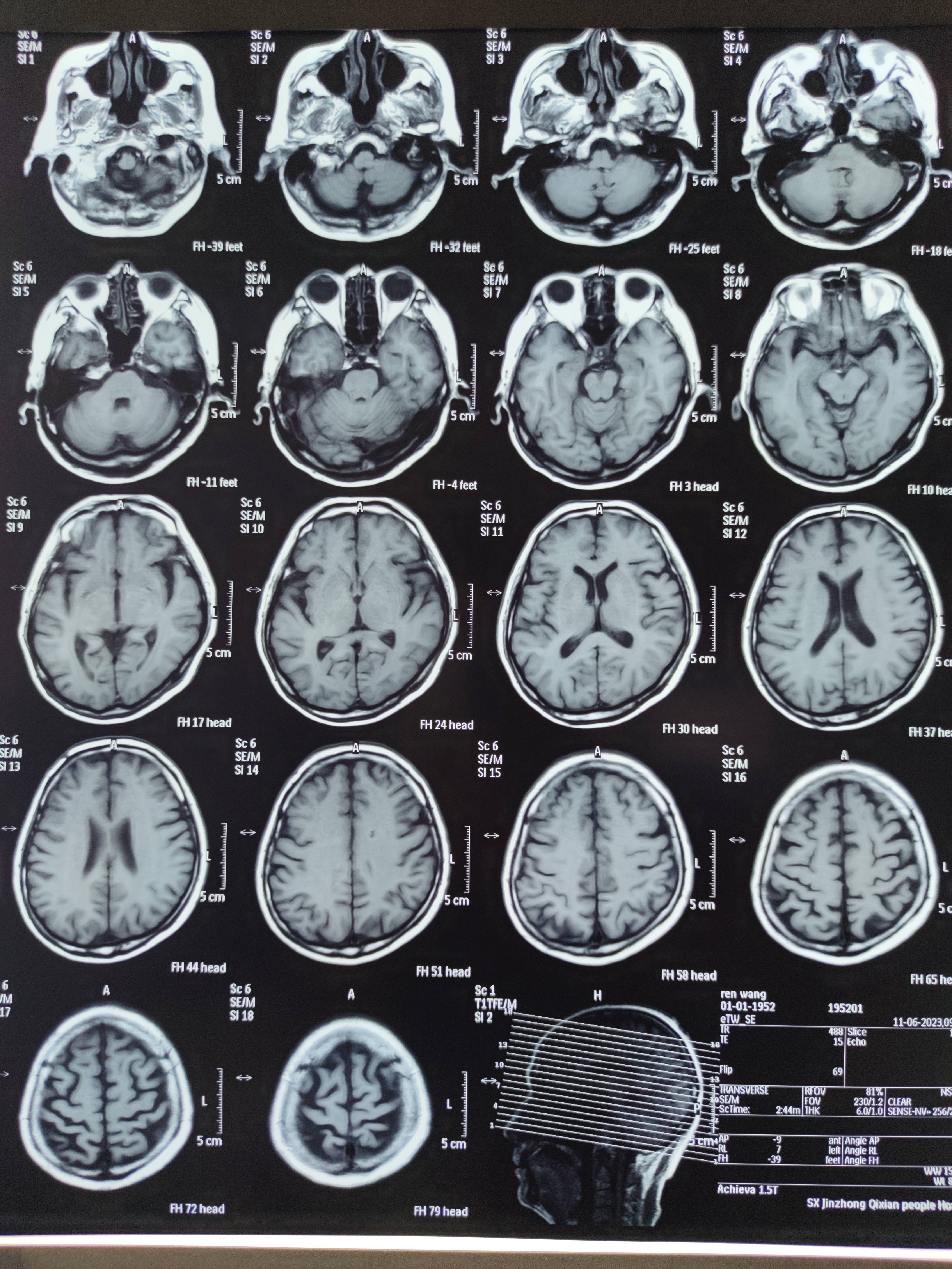
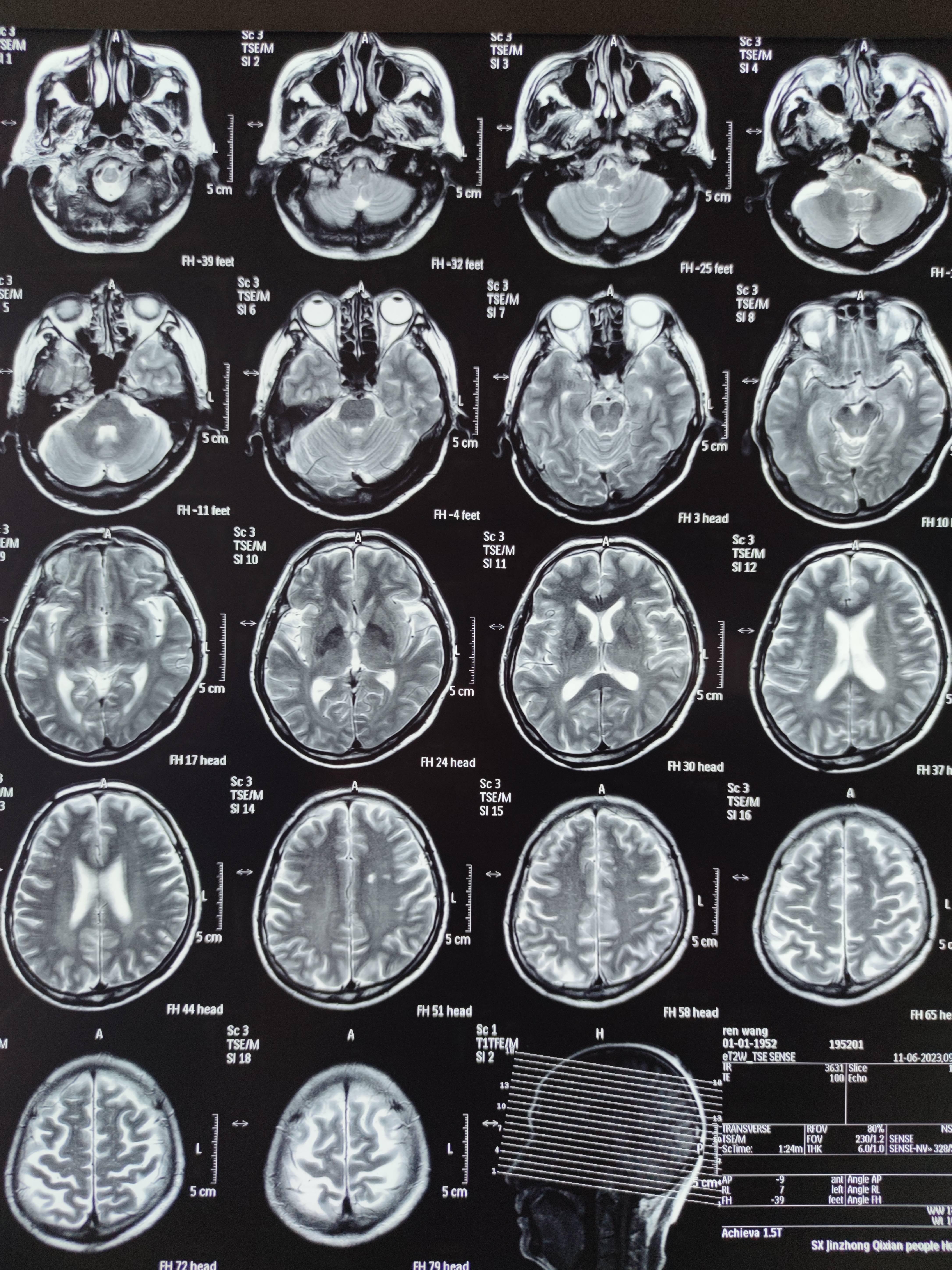
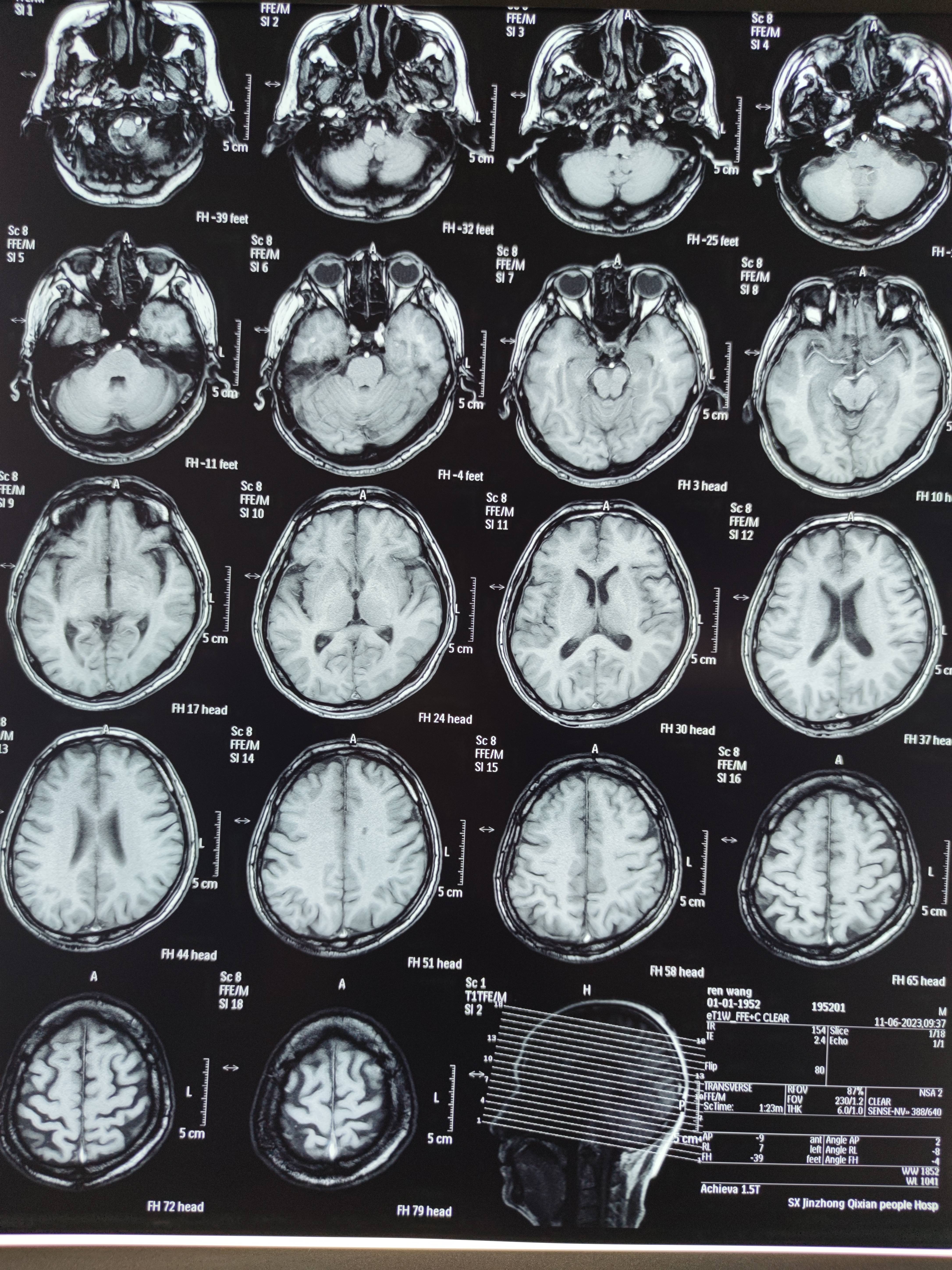
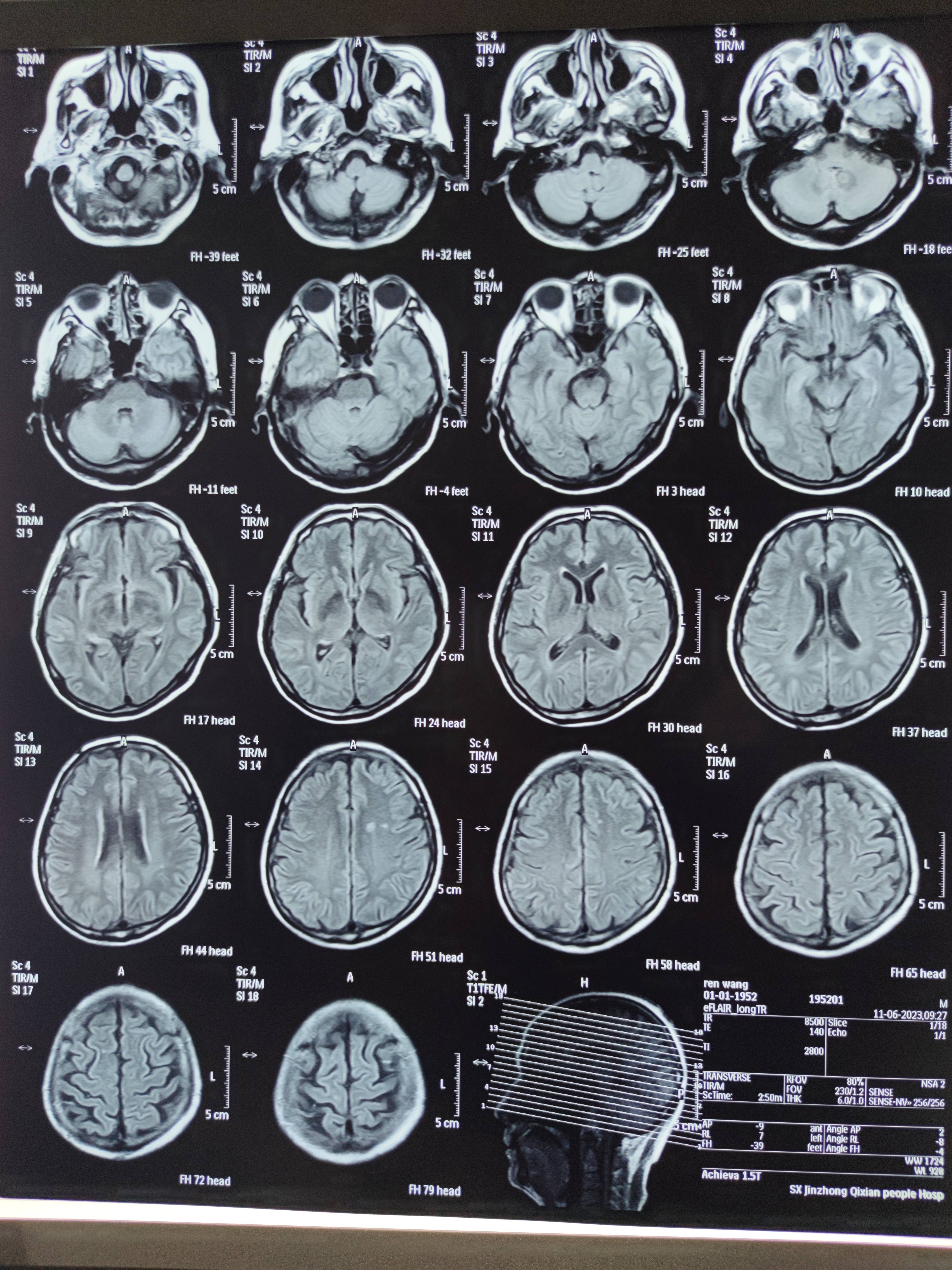
四月份癌胚抗原还是5.6,这个月到8了,持续升高。做了核磁增强,左侧桥小脑角哪有个地方不确定。肝脏核磁平扫弥散有两个点状高信号,转移也排不了,胃肠镜正常,左颈部有个变圆的淋巴结,保险点是不该加个化疗药了?咨询了陈波主任,等结果的吧!图片

图片

图片

图片

图片

图片

图片

图片

图片

图片
图片
图片
图片
图片
图片
图片
图片

参与评论

更多
图片验证码

评论列表

更多
按投票顺序
加油加油!
举报
2023-06-15 09:59:22
有用(0)
回复(0)
加油加油,单一指标上升还是说明不了啥,报告让医生看看
举报
2023-06-14 09:49:01
有用(0)
回复(0)
爸爸确诊病情已经有11个多月了。一共做了8次大化疗,2次小化疗,以及35次放疗,上月返医院检查“瘤子”没有了。这一路走来,有多少的艰辛与泪水。在这里与大家分享爸爸的治疗过程。起初,拿到病例报告的时候,
Xxiaoxiao
100493 阅读
阅读全文
妈妈患肺癌已经有三年了,这三年来一直在接受治疗到现在,下面是妈妈检查以及治疗的过程。2010年10月,妈妈体检出肺癌IV期,纵隔淋巴转移,肝部转移,去省肿瘤医院复查,做了PET-CT,结果一样,省肿瘤
2011年11月,妈妈被诊断肺癌,我在网上浏览了很多帖子,学到了很多,看到了一批又一批共同奋斗在抗癌战线上的战友。这15个月走下来,越来越体会到抗癌之路的艰辛,今天发个帖子,记录一下妈妈的治疗经过,也
invay
38071 阅读
阅读全文