黏液腺肺癌(IMA)
白紫后大幅进展,重新穿刺后县医院做了个简单镜下检查,得到是低分化癌,不敢说是什么分型。问主治会转型吗,说不太像,从肿标来看不像转型了,但低分化是肯定的,白紫铂贝伐用下去还能进展这么快,肯定是低分化了。穿刺组织送去基因检测了,先基因检测后送大医院做病理,还是优先找靶向药。
在线上问诊CT进展的细节时,医生提了一句原发灶附近出现了黏液栓,并且提到右侧大面积的实变并不一定是肿瘤组织,可以是肿瘤挤出的黏液。
我突然想到,我家是不是黏液腺癌?一顿搜索,并追问影像科专家,得到答复是粘液腺癌。
粘液腺癌是腺癌中罕见类型,可能只占到5%?它和非黏液腺癌一样有贴壁、乳头、微乳头的生长方式。但它的特点是,产生大量的黏液湖,使得它在肺泡、气管内特别容易飘忽地转移,就是不用依赖淋巴结、不用挨着同侧肺叶。可以想象像是肺内的鼻涕虫一样,还受重力影响,容易飘到下肺叶,还有个特点就是复发总是在肺内。这就解释了我家为什么是传说中特别容易远端转移的ALK,却一直只有肺内(最远到了锁骨淋巴结和腹膜淋巴结,无其他器官),但肺内又是满肺都是,确诊时肺内结节、斑片影、磨玻璃影、实变影到处都是。
黏液腺癌里突变以KRAS占绝大多数,大概60%?ALK也有10%-20%的比例,却几乎没有EGFR,这也是一个很特别的点。

黏液腺癌的影像看起来特别像感染,初诊特别容易误诊为肺炎或肺结核(又中枪,我家一开始被误诊结核)。粘液腺癌的PETCT不敏感,因为黏液里的糖代谢不高。粘液腺癌还经常CT看起来人快不行了,大面积泛白,但是人的精神状态却还不错(条条中)。
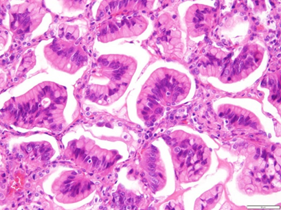
病理:黏液腺癌(IMA)由含有卵胞浆内粘蛋白(图 1),这在其他肺腺癌中很少观察到(1,2)。由于 IMA 中通常不显眼或不存在细胞学异型性,因此通过活检明确诊断恶性肿瘤通常具有挑战性。在经支气管活检中,准确的靶向可能有限,因为大多数 IMA 位于下叶的外围。此外,支气管组织的粘膜下粘液腺和IMA的肿瘤细胞由于看起来平淡无奇的细胞形态和胞浆内粘蛋白而可以相互模仿。经皮计算机断层扫描(CT)引导下的肺活检似乎是获得诊断组织的更有效方法,但是活检标本只能由无细胞粘蛋白池组成,因为肿瘤外围的肺泡间隙通常充满粘蛋白,这可能对应于胸部CT图像上的大叶肺炎样区域。即使肿瘤细胞包含在标本中,少量具有平淡形态的粘液细胞也不足以明确诊断恶性肿瘤。

粘液腺癌对含铂化疗不敏感, PDL1表达很低,TMB很低。TKI可能是唯一长生存的选择。
某个研究:2013年1月至2018年12月期间,我院对490例肺针刺活检病例进行了对角线检查。9例(1.8%)被诊断为IMA。就诊的中位年龄为 59 岁。六人(66.7%)是目前的吸烟者,包装年>20人。鉴于计算机断层扫描结果,三例(33.3%)病例最初被误诊为肺炎。肺是最常见的转移部位(77.8%)。血清癌胚抗原(CEA)在6例(66.7%)中升高。这些病例均未在EGFR基因或ALK和ROS1易位中有任何驱动突变。所有病例均接受培美曲塞-卡铂双药治疗,然后维持培美曲塞直至进展。中位无进展生存期(PFS)为15个月(范围:5-18个月)。多西他赛作为所有进展患者的二线化疗。注意到的最佳反应是稳定的疾病,见于4例(57.1%)病例。多西他赛的PFS中位数为6个月(范围:3-8个月)。中位总生存期为22个月(范围:9-27个月)。最初在进展时CEA升高的患者血清CEA连续升高。
IMA 具有临床和遗传学上截然不同的特征。小活检时可能被漏诊。对常规化疗的反应很差。血清 CEA 可用作肿瘤标志物进行反应评估。EGFR 和其他常见的驱动突变/易位途径与药物靶点在 IMA 中通常不存在。NRG1融合可能是药物开发的可能靶点。
收藏
回复(5)参与评论
评论列表
单薄的荔枝
Rain7304






