“男子术后丢肾事件”最新检查结果:肾还在,萎缩了
做了个胸腔手术,几个月后却发现自己的右肾没有了?近日,各大媒体转发了一篇报道"安徽宿州男子在徐州医学院附属医院做胸腔手术出院第二天右肾‘失踪’"的新闻,引发了网民的极大关注。那么,该男子的肾到底还在不在?事件终于有了新进展。
【最新消息】
安徽男子徐州手术后“丢肾”事件又有新进展:
5月10日晚8点多,记者接到了刘永伟儿子的短信,他表示5月10日父亲的报告已经拿到,结果为:考虑为外伤后右肾移位、变形、萎缩。
刘永伟的儿子告诉记者,南京总医院的MRI(核磁共振)肾脏扫描诊断结果描述,经过该院专家的集体讨论,结合以往资料,诊断为,肝脏内后方与右侧膈脚间软组织影,考虑为外伤后右肾移位、变形、萎缩、其外侧软组织感染、窦道变形。
拿到报告后,刘永伟的儿子并没有发表过多的看法,他表示:“医院结论我还能说什么,以前也有医院给出结论,我都接受,这个时候我不会再讲了。最终的鉴定结果还是要等徐州卫计委的联合调查组公布。”
有专家表示,这个结果也说明刘永伟并没有真正“丢肾”,而是医学上所说的肾萎缩。
南京总医院泌尿外科的专家告诉记者,肾萎缩并不是罕见的病症,根据公开报道,刘永伟2015年6月时发生过车祸,经诊断,其“右侧肋骨多发骨折,右肺挫伤,肝、右肾挫伤等”。这位专家分析,不排除由于外伤导致肾脏主要血管损伤,甚至发生栓塞,进而肾脏在失去了血供后,会慢慢地萎缩,变得很小,甚至直径只有两三厘米那么大。这位专家也表示,肾脏的萎缩速度很快,动物实验也表明,肾脏一旦失去血供后,一两个月内就会出现明显萎缩。
事件经过回顾:
△ 刘某某展示自己的伤口

2015年6月,该男子刘某某遭遇车祸重伤,被送到当地皖北医院,送医之后,医生发现他右侧外伤性膈疝,右侧多发肋骨骨折,右肺挫伤。
2015年6月19日,由于治疗效果不佳,刘某某被转到了徐州医学院附属医院紧急进行手术。由于右肾等器官在车祸中都被挤到胸腔,就立即实施了手术进行器官复位。(据徐州医学院附属医院官网介绍,这家医院创建于1897年,是一所已有100多年历史的省属综合性医院,苏北地区大型三级甲等医院之一。)
2015年8月18日,刘某某从徐医附院出院。
2016年1月5日,在胡波医生对刘某某的再次复查中,胡波发现了刘某某的右肾缺如,并对患者进行了主动告知。
2016年5月5日,有媒体报道,宿州男子刘永伟去年6月因车祸在徐州医学院附属医院做了胸腔手术,数月后在其他医院检查被告知“右肾缺失”。
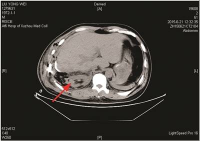
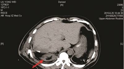
同日,徐州医学院附属医院针对此事件发表声明,称该报道内容失实,并附有两张术后CT复查均显示右肾存在。
图一 2015年6月21日(术后第1天)CT,右肾如箭头所示。

图二 2015年6月25日(术后第5天)CT,右肾如箭头所示。

2016年5月5日下午,徐州市卫生计生委组成调查组展开调查,专家组初步意见如下:患者为车祸导致的多发性骨折、肝及右肾挫伤等复合型外伤,在当地医院救治后转至徐医附院,在徐医附院术后第一天、第五天的CT检查均显示右肾存在。初步判断存在右肾损伤后血液供应障碍引起肾萎缩的可能性,需要对患者进行进一步检查。
△ CT显示右肾缺失
2016年5月6日上午,在尊重患者意见的基础上,徐州市卫生计生委已安排工作人员陪同患者及亲属赴第三方医院作进一步检查。
2016年5月7日,刘永伟及家人、徐卫计委调查组人员来到第三方医院——南京总医院进行检查。希望通过检查能得到一个让各方都信服的结果,也希望弄清真相,“消失的右肾”到底去哪了?当天检查完后,刘永伟就回到了安徽老家,他在南京工作的儿子每天都会到医院了解父亲最近检查结果有没有出来。
当天中午12点左右,刘永伟拿到了肾部的影像,他表示,在影像图中找不到右肾。刘永伟说,医院到现在也没有给一个确切的解释,肾脏消失的什么原因没人知道。
2016年5月9日,当事患者的主治医生胡波接受媒体采访时表示,当初在接诊后,按照医疗规范对患者进行手术治疗,手术成功,术后也做了两次CT确认相关情况,显示右肾确实存在。但患者其后在其他几个医院做的彩超和B超结果都显示“没有发现右肾”。医院方面还表示,在和患者沟通中,对方曾提出两百万元的赔偿,但因数额巨大遭到拒绝,院方还曾建议通过法律程序解决问题。
收藏
回复(2)参与评论
评论列表






