【用实例说话】巨块型肝癌伴门脉癌栓,二线局部联合靶免治疗成功手术!
近年来,转化治疗已成为肿瘤治疗热点话题,针对初始不可切除的肝癌患者,以局部联合系统治疗为代表的多学科综合治疗为更多患者带来了转化希望和手术机会。本期分享的这例巨块型且合并门脉癌栓患者,一线采用介入治疗联合靶免治疗进展后,二线经局部消融联合瑞戈非尼 卡瑞利珠单抗治疗约4个月,成功转化。
深圳市第三人民医院肝病一科 主任
中华医学会肝病学分会药物性肝病学组 委员
广东省医学教育协会肝病专委会 副主委
广东省药学会肝脏病专家委员会 副主委
广东省医师协会肝病专委会脂肪肝与免疫肝学组 副组长
深圳市医学会循证医学专业委员会 常委
深圳市医师协会肿瘤免疫治疗专委会 常委
《实用肝脏病杂志》编委
深圳市实用性临床医学人才
深圳抗击新冠肺炎疫情先进个人
专长:慢乙肝,肝衰竭,肝肿瘤
以第一作者及通讯作者在Journal of hepatology,Diabetes Care,Allergy,Metabolism,Engineering等杂志发表SCI论文15篇。总影响因子超过100分,总被引频次超过2000。获2020年度广东省科学技术奖特等奖,广东医学科技奖一等奖。荣获“2021全球前2%顶尖科学家榜单”。
入院情况
男性患者,46岁。因“持续发热1个半月,发现肝脏占位 5 天”2020年10月26日入院。1个半月前发热,于2020年10月21日行胸部 CT 检查提示:胸部 CT 平扫未见明确异常,肝脏异常密度。行超声检查示:肝回声增粗并右叶实性包块。既往慢乙肝病史,未治疗。否认肝病家族史。
查体:体温(T)38.8℃,心跳(P)100次/分,血压(BP)96/72mmHg。患者无明显慢性肝病体征。
初步诊断:①肝占位性病变:肝脓肿?肝恶性肿瘤?淋巴瘤?……②慢性乙型病毒性肝炎。
入院检查:乙肝五项:HBsAg( )、HBeAg( )、HBcAb( );HBVDNA 1.07E 6 IU/ml。其他:血培养,降钙素原正常。胸部CT:未见异常。余见表1。
表1.入院检查
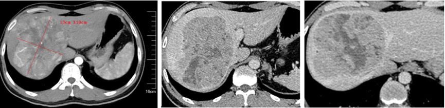
2020年10月30日上腹部CT平扫 增强检查,考虑肝右叶巨块型肝癌(13cm× 10cm),伴门脉右支部分分支癌栓形成(图1)。
图1.2020年10月30日上腹部CT
一线治疗——局部治疗联合阿帕替尼 卡瑞利珠单抗
2020年11月4日MDT第一次讨论明确诊断:①原发性肝癌(Ⅲa,CTP 5分, PS 1分);②HBeAg阳性慢性乙型病毒性肝炎。
治疗方案:丙酚替诺福韦,25mg Qd;TACE 阿帕替尼 卡瑞利珠单抗 200mg ivdrip Q 21d。
2020年11月6日和2020年2月10日分别行2次TACE,8次卡瑞利珠单抗200mg ivdrip Q 21d,每日口服阿帕替尼 500mg。2021年4月17日上腹部CT增强示,肿瘤大小变化不明显,瘤内大量活癌灶;肝左叶S2段转移灶,治疗后坏死。肿瘤标志物APF和PIVKA-Ⅱ下降不明显(图2)。
图2.2021年4月17日上腹部CT和肿瘤标志物变化
二线治疗——局部治疗联合瑞戈非尼 卡瑞利珠单抗
2021年4月21日MDT第二次讨论。患者持续高热,鉴别诊断?TACE 阿帕替尼 卡瑞利珠单抗治疗后,仍有大量活癌灶,提示疗效不佳。
MDT会诊意见:对肿瘤内残存病灶进行超声引导微波消融,并取活检;停“阿帕替尼”,改“瑞戈非尼”二线治疗。
2021年4月26日活检结果显示,左叶:坏死组织;右叶:肝细胞癌,中分化(图3)。
图3.2021年4月26日活检结果
2021年5月24日PET-CT提示:S7,8病灶边缘多发高代谢灶,考虑肿瘤治疗后仍有残存;S2低密度,未见代谢增高;纵隔多发淋巴结,伴代谢增高,性质倾向肉芽肿改变。
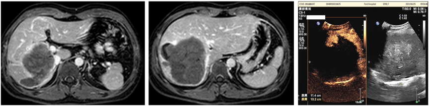
2021年6月11日上腹部MR增强:提示肿瘤较前缩小,内部强化灶较前明显减少,肝左叶代偿性增大。彩超提示肿瘤组织大片坏死,瘤内活癌症较前减少(图4)。
图4.2021年6月11日上腹部MR
手术切除
2021年6月15日MDT第三次讨论:肿瘤进一步坏死,肝左叶代偿性增大,是否有外科切除的可能?
MDT会诊意见:超声引导下热消融处理巨块型肝Ca残存活癌灶,临近门脉及受压胆管处病灶给予无水乙醇注射,通过热消融损毁肝右后支肿瘤供血血管及中肝静脉,使左叶代偿性增大。1月后进行综合评估,决定是否行手术切除。
2021年7月31日磁共振增强扫描,与2021年6月13日前片比较:肝S6-8肿块呈术后坏死改变,未见明确活癌灶,肝左叶代偿性增大。门脉右支内充盈缺损,考虑栓子形成,大致同前。右侧心膈角及肝门区见小淋巴结影,建议复查(图5)。
图5.2021年7月31日复查MR
AI三维重建评估剩余肝体积,预测术后剩余肝体积占实际肝体积的38%、占标准肝体积的60%。术前肝功能储备评估ICG 15%滞留率为10.7%,提示可安全进行肝大块切除术。
2021年8月17日行开腹手术切除。随访至2022年5月10日,磁共振及肿瘤标记物均未提示复发。术后患者参加临床实验,停用瑞戈非尼和卡瑞利珠单抗。
肿瘤标志物动态变化:
中山大学附属肿瘤医院教授、主任医师、博士生导师
肝癌综合治疗临床大PI、肝脏外科行政副主任
中国抗癌协会肝癌专业委员会常委
广东省抗癌协会肝癌专业委员会 主任委员
广东省医学会肝胆胰外科分会 副主任委员
广东省医疗行业协会肝胆胰外科管理分会副主任委员
广东省临床医学学会肝胆胰外科专业委员会副主委员
南方肿瘤临床研究协会(CSWOG)理事会理事
国际肝胆胰协会中国分会肝胆胰MDT专业委员会 常委
广东省肝脏病学会外科手术专业委员会 常务委员
广东省精准医学应用学会肝病分会 常务委员
中山大学教学督导团督导
2014-2020年连续入选“岭南名医”
2019年评为第三届“羊城好医生”
这是一例经多学科综合治疗后成功转化的肝癌病例。该患者初诊时肿瘤巨大且合并癌栓,一线采用介入治疗联合双艾方案疗效并不理想,二线更换为瑞戈非尼 卡瑞利珠单抗 局部消融治疗后,病情得到很好地控制,患者残肝体积获得代偿,成功转化手术。
该患者的治疗过程带来几点思考与感悟。第一,该患者在每个重要的治疗节点上均进行了多学科诊疗(MDT)讨论,在一线治疗进展后及时更换二线治疗方案,最终获得了良好的疗效。第二,转化治疗已成为肿瘤治疗热点话题,针对初始不可切除的肝癌患者,通过以局部联合系统治疗为代表的多学科综合治疗有望成功转化,获得手术机会。第三,对于临床上成功转化的中晚期肝癌患者,后续治疗决策亦是值得探讨。针对此问题,首先应评估患者转化治疗前无法手术是属于技术原因还是肿瘤原因,该例患者即明显是因为肿瘤原因导致无法获得较好的手术疗效,需通过转化后再行手术切除,因此后续维持治疗是有必要的。第四,近年来,肝癌局部治疗方面突破较大的当属肝动脉灌注化疗(HAIC)。既往临床研究显示,中晚期肝癌采用HAIC在新辅助、转化治疗上均取得了比较好的客观缓解率(ORR),其与系统治疗的联合有望进一步提升疗效[1-4]。第五,对于一线系统治疗疗效欠佳的患者,应及时更换二线治疗药物。目前,国内外权威指南均以最高循证级别一致推荐瑞戈非尼作为晚期肝癌患者二线标准治疗选择[5-7]。且目前已有临床研究提示瑞戈非尼联合PD-1单抗有助于患者疾病控制和更长生存[8]。第六,在肝癌转化治疗中仍面临诸多挑战,如最佳策略、联合方式或时间、手术时机、转化优势人群的筛选等问题仍需临床医生和基础研究学者的不断探索与研究。此外,对于转化后影像学达到完全缓解(CR)的患者是否仍需要手术治疗?个人认为,影像学上的CR与实际切下来的肿瘤病理CR是不对等的,而病理上的CR与我们期望的完全没有肿瘤细胞存活也是不对等的,因此对于经综合评估能够进行外科切除的患者可进行手术切除。而对于评估尚不适合手术的患者,放射、消融等局部治疗手段有助于控制病情。第七,患者肝功能的保护和长期随访亦值得关注。总体而言,基于该例患者,我们可以看到整个学科的发展,也意识到了个体化治疗和多学科综合治疗的重要性。
[1] Shaohua Li, et al.Neoadjuvant Hepatic Arterial Infusion Chemotherapy (HAlC) with FOLFOX Could Improve Outcomes of Resectable BCLC Stage A/B Hepatocellular Carcinoma Patients Beyond Milan Criteria: An Interim Analysis of a Multi-center, Phase 3,Randomized, Controlled Clinical Trial. 2021 ASCO abs4008.
[2] M. Ikeda, T. Yamashita, S. Ogasawara, et al.Multicenter phase II trial of lenvatinib plus hepatic intraarterial infusion chemotherapy with cisplatin for advanced hepatocellular carcinoma: LEOPARD. 2021 ESMO abs937.
[3] MinKe He, et al. A phase II trial of lenvatinib plus toripalimab and hepatic arterial infusion chemotherapy as a first-line treatment for advanced hepatocellular carcinoma (LTHAIC study) 2021 ASCO abs4083.
[4] Zhang TQ, Zuo MX, Geng ZJ,Hepatic artery infusion chemotherapy (HAIC) combined with apatinib and camrelizumab for hepatocellular carcinoma (HCC) in BCLC stage C: a prospective, single-arm, phase II trial (TRIPLET study ). 2021 ESMO abs946.
[5]中国临床肿瘤学会(CSCO)原发性肝癌诊疗指南(2022版).
[6]NCCN Guidelines. Hepatobiliary Cancers, Version 4.2021.
[7]中国卫生健康委.原发性肝癌诊疗指南(2022版).
[8]Huang J, Guo Y, Huang W, et al. Regorafenib Combined with PD-1 Blockade Immunotherapy versus Regorafenib as Second-Line Treatment for Advanced Hepatocellular Carcinoma: A Multicenter Retrospective Study. J Hepatocell Carcinoma. 2022;9:157-170. Published 2022 Mar 10. doi:10.2147/JHC.S353956.
收藏
回复(0)参与评论
评论列表






