病例分享丨晚期肝癌治疗新策略:“转化治疗 根治性微创手术切除”模式的实践


原发性肝癌是我国第4位常见恶性肿瘤及第2位肿瘤致死病因,多达半数的肝细胞癌(HCC)初诊即为晚期。近年来,免疫检查点抑制剂联合抗血管生成靶向药物治疗晚期HCC显示出较高的有效率,为序贯外科根治性手术提供了可能。基于此我国专家学者正在探索针对中晚期肝癌治疗的新策略和新模式,以提高远期生存率。

欣喜的是,我国解放军总医院第五医学中心肝病学部肝外科洪智贤主任团队近期完成了一组“转化治疗 微创切除”治疗初始不可切除晚期肝癌患者,转化成功率27%,微创切除率高达63%,取得了良好的临床效果。《国际肝病》特此邀请洪智贤主任介绍相关病例,分享实践经验。
图片
图片
以外科治疗为主的综合治疗策略仍然是原发性肝癌治疗的主要途径。近年来,肝癌外科治疗主要出现了两个方向的进展:一个是微创肝脏外科技术的日渐成熟,从开腹手术逐步过渡到腹腔镜、机器人肝切除。在大的肝脏外科中心,微创肝切除占全部肝切除手术的比例逐步上升。大量临床数据证实,其长期预后至少等同于开放手术,而患者生存质量明显提高。另一个主要进展,是针对中晚期肝癌所开展的新辅助治疗、转化治疗、术后辅助治疗。尤其是部分初始不可切除的晚期肝癌患者经过转化治疗后成功获得根治性切除,大大提高了这部分患者的长期预后。

对于“初始不可切除”的肝癌,其概念仍有待更进一步的明确。目前普遍认为可以分为“外科学不可切除(不能安全切除)”和“肿瘤学不可切除(手术疗效不优于其他)”两种情况。可以将其简单理解为“无法安全获得R0切除”的病例。这部分患者通过以靶向和免疫治疗为基础、联合经导管(肝)动脉栓塞化疗(TACE)/经肝动脉灌注化疗(HAIC)或放疗等多联方案的转化治疗,有可能使病灶缩小、癌栓退缩,从而获得手术根治切除的机会,文献报道的转化成功率在12.7%~42.4%。

由于长时间靶向和免疫药物治疗并可能联合了介入、放疗等治疗,这部分患者通常出现手术耐受性的下降,包括肝脏脂肪变性、肝储备功能下降、伤口愈合能力下降等。腹腔镜/机器人肝切除手术对于这部分患者有新的技术优势,一方面降低了手术创伤,提高了手术安全性;另一方面明显缩短了术后恢复辅助药物治疗的时间,有可能提高其长期预后。解放军总医院第五医学中心肝病学部肝外科洪智贤主任团队近期完成一组“转化治疗 微创切除”治疗初始不可切除晚期肝癌患者,转化成功率27%,其中微创切除率63%,取得了良好的临床效果,目前尚在观察随访中。以下病例为该组患者中一个典型病例。






典型病例


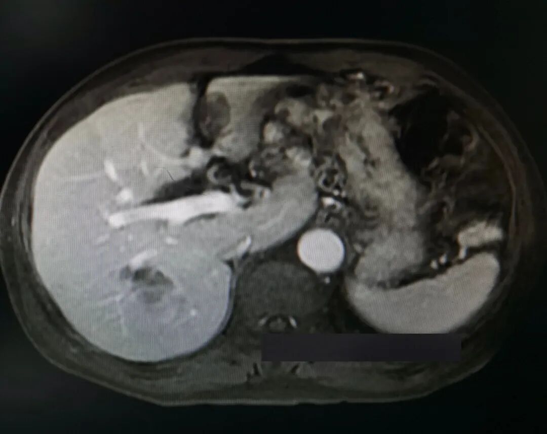
患者男性,57岁,既往慢乙肝病史。1年半前发现肝占位就诊。就诊时化验肝功能Child A5,AFP>40 000 ng/ml。腹部增强核磁提示:肝内多发肝癌,最大者直径约25 cm,占据右后叶、右尾状叶及部分右前叶,右肝及左外叶多发子灶(影像如图1所示)。


图片
图1.首诊核磁影像

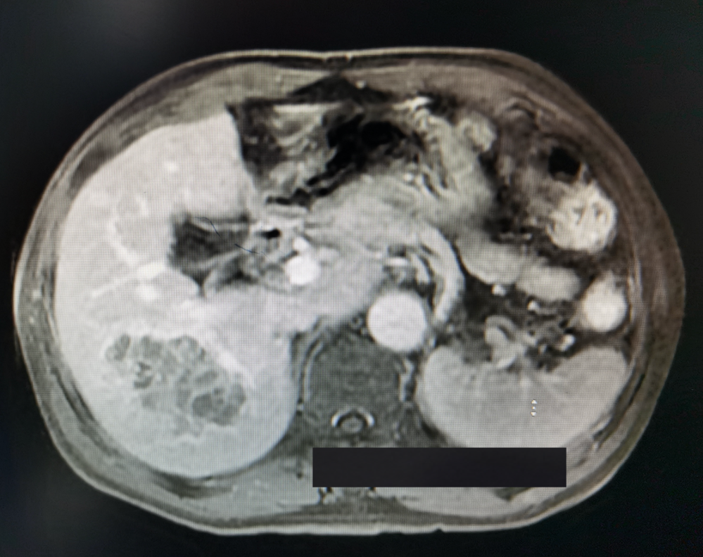
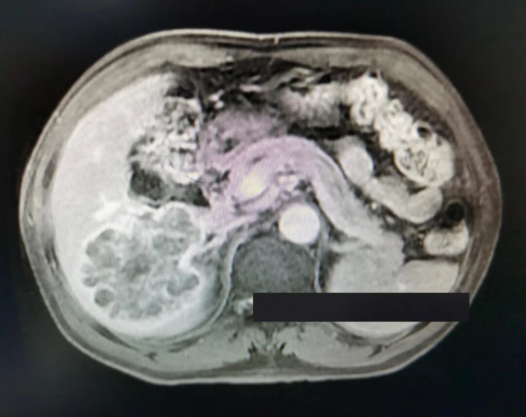
予以酪氨酸激酶抑制剂(TKI) PD-1免疫检查点抑制剂治疗计3个月,其间行两次TACE介入治疗。复查甲胎蛋白下降至26 ng/ml,增强核磁影像提示病灶坏死、缩小、部分子灶消失,较大者位于右后叶右尾状叶,大小12×9 cm,仍见残留多发活性(影像如图2所示)。

图片

图片

图片

图2.转化后核磁影像(滑动浏览)

予以行机器人辅助腹腔镜下肝右后叶/右尾状叶肿瘤切除、左外叶肿瘤切除。


图片
点击上图链接,观看手术操作视频





左右滑动,观看术中图像

术后恢复顺利,无并发症。术后6天出院(术后伤口见图3)。


图片

图3.术后腹部伤口

术后病理(标本见图4)完全取材(共148块),检出少量残留活性病灶。术后10天恢复口服靶向药物至半年后停用,术后未再使用PD-1免疫检查点抑制剂。


图片

图4.术后标本

近期复查(术后15月)甲胎蛋白阴性,腹部增强CT提示肝脏未见明确活性病灶(术后影像见视频2所示),左外叶另有一处病变术中证实为血管瘤。


术后15月复查CT影像






点 评



这一病例体现了目前针对中晚期肝癌治疗的新策略、新模式。该策略基于患者肿瘤的生物学行为,以追求生存获益为目标;通过联合靶向和免疫药物、介入、放疗等多种手段,将初始不可切除肝癌转化为可以接受外科根治性切除的病例。


针对患者转化治疗后手术耐受性下降的问题,采用腹腔镜、机器人微创手术切除,大大降低了手术创伤,提高了围手术期安全性,而且明显缩短了术后恢复辅助用药的时间,有可能进一步改善患者长期预后。相比于传统腹腔镜手术,机器人手术带来了放大、高清、3D的手术视野和类似手腕结构的手术器械操作,大大提高了复杂肝切除手术的微创成功率。


“转化治疗 根治性微创手术切除”这一治疗模式,将当前肝癌治疗新理念和微创外科新技术相融合,在恶性肿瘤治疗中既追求了长期生存又致力于改善生存质量,反映了技术发展的新趋势。





图片

专家简介


洪智贤教授

医学博士,副主任医师

解放军总医院第五医学中心肝病学部肝病外科一病区主任,外科副主任

本科毕业于第二军医大学,于北京协和医学院完成硕士、博士连读

国际肝胆胰协会中国分会肝胆胰专委会委员

中国研究型医院学会肝病分委会门脉高压学组委员

中国医疗保健促进会肝癌专业委员会青年委员等

获中华医学会外科学分会第三届全国中青年手术大赛“中华外科金手指奖”

中国腹腔镜肝脏外科学院全国手术视频大赛杰出菁英奖等

多部专业杂志审稿专家、编委


参与评论

更多
图片验证码

评论列表

更多
按投票顺序
爸爸确诊病情已经有11个多月了。一共做了8次大化疗,2次小化疗,以及35次放疗,上月返医院检查“瘤子”没有了。这一路走来,有多少的艰辛与泪水。在这里与大家分享爸爸的治疗过程。起初,拿到病例报告的时候,
Xxiaoxiao
100843 阅读
阅读全文
妈妈患肺癌已经有三年了,这三年来一直在接受治疗到现在,下面是妈妈检查以及治疗的过程。2010年10月,妈妈体检出肺癌IV期,纵隔淋巴转移,肝部转移,去省肿瘤医院复查,做了PET-CT,结果一样,省肿瘤
2011年11月,妈妈被诊断肺癌,我在网上浏览了很多帖子,学到了很多,看到了一批又一批共同奋斗在抗癌战线上的战友。这15个月走下来,越来越体会到抗癌之路的艰辛,今天发个帖子,记录一下妈妈的治疗经过,也
invay
38423 阅读
阅读全文