参与评论
评论列表
按投票顺序
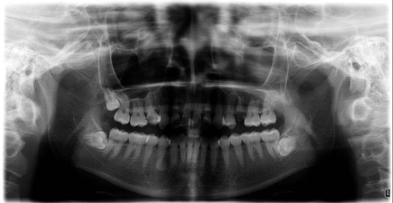
听听医生的建议
举报
2020-10-31 16:44:17 有用(0)
回复(0)
拔
举报
2020-10-31 11:29:18 有用(0)
回复(0)
我现在也在长智齿,我一口牙几乎没有好牙了
举报
2020-12-15 19:15:39 有用(0)
回复(0)
我比你好多了,是竖着的,也拔掉了
举报
2020-10-31 12:08:40 有用(0)
回复(0)
我今天拔了智齿,打麻药,半边舌头都麻了,最近只能吃流质饮食了,本来想请假下午不去上班了,想想我的money,还是去了
举报
2020-11-01 13:58:34 有用(0)
回复(0)
相关推荐
热点推荐
暂无数据







