凯美纳三个月复查ct
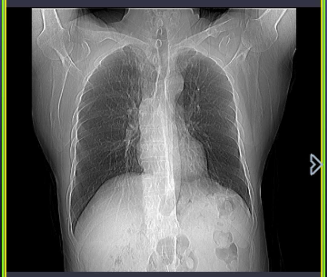
爸爸在11月确诊肿瘤大小为5.3*4.0cm,12月10号开始吃凯美纳,1月3日复查ct,肿瘤最大直径3.8cm,这边因为新冠肺炎,没能去之前的医院检查,前几天出现咳血,但是量不多,两天后就没有症状了,一开始在当地的小医院检查ct报告肿瘤变成了4.8*3.0cm,然后今天我们去了省医院检查ct报告写着肿瘤为3.8*3.0cm,跟我们吃凯美纳后第一次复查的结果差不多,但是ct还提示右侧第七肋环形异常密度影,这个是在之前的ct报告中没有提到过的,这个报告是手机中刚出来的,有没有病友能帮忙看一下是怎么回事,万分感谢。
这是今天的ct



这是确诊时的pet ct

收藏
回复(1)举报
参与评论
评论列表
按投票顺序
在么!你的凯美纳多余么?能卖给我2盒么?
举报
2020-03-05 12:29:15 有用(0)
回复(0)
相关推荐
热点推荐
2013-11-19 14:23:04
爸爸确诊病情已经有11个多月了。一共做了8次大化疗,2次小化疗,以及35次放疗,上月返医院检查“瘤子”没有了。这一路走来,有多少的艰辛与泪水。在这里与大家分享爸爸的治疗过程。起初,拿到病例报告的时候,
2013-11-19 14:31:01
妈妈患肺癌已经有三年了,这三年来一直在接受治疗到现在,下面是妈妈检查以及治疗的过程。2010年10月,妈妈体检出肺癌IV期,纵隔淋巴转移,肝部转移,去省肿瘤医院复查,做了PET-CT,结果一样,省肿瘤
2013-11-19 15:04:43
2011年11月,妈妈被诊断肺癌,我在网上浏览了很多帖子,学到了很多,看到了一批又一批共同奋斗在抗癌战线上的战友。这15个月走下来,越来越体会到抗癌之路的艰辛,今天发个帖子,记录一下妈妈的治疗经过,也






