乳腺的影像学诊断
乳腺的影像学诊断
乳腺的影像学检查报告做好了,看着报告单上的文字描述,不知道如何解读,不知道下步如何处理,一时又找不到专科医生,该如何是好,莫急,我来告诉你相关的知识,让你做到心中有数,可以更好地与医生交流。
1.1乳腺影像学检查的“三件套”
为了早期发现乳腺的病变,医生也需要借助于影像学检查。B超,钼靶,乳腺磁共振(MRI)是乳腺的影像学检查的三件套,它们各有优缺点,相辅相承。B超主要是发现肿块,钼靶主要是发现钙化,B超和钼靶是两项最基础的检查。
B超本身无创,安全,方便,可以多次重复检查,适用于任何年龄,而钼靶有一定的辐射,且对致密的乳腺不敏感,因此对年轻的致密性腺体检出率低,所以它用于40岁以上的人群检查或者是已经发现有异常的患者进一步检查。
而乳腺MRI 的敏感性强,能发现早期的病变,但它相对假阳性率高,也就是说一些良性的病变可能会被误认为恶性的,导致过度治疗。
乳腺MRI检查适用于所有年龄人群的检查,尤其是致密的乳腺,因为需要注射造影剂,因此有造影剂过敏史以及会被磁场影响者如体内有金属物都是禁忌的。
乳腺MRI检查价格高,一般不作为常规的人群健康检查。而最佳的检查时间是月经结束后的7-10天,此时因月经导致的乳腺的背景干扰会小。
1.2 影像学报告中常见的名词
1.2.1.结节,团块
肿块是患者来就诊的最主要的原因之一,结节是指发现的小肿块,是描述性的文字,它不涉及肿块的良恶性,也不是疾病的名称。
而团块,与结节相比,是指相对大的肿块。对医生来说,根据影像学的描述,来判断评估肿块的良恶性,决定是否要进一步处理。
1.2.2.低回声,高回声,无回声;边界清楚或者边界不清楚
在乳腺B超报告里,会看到低回声,高回声,无回声。同样这也是描述性的文字。在超声的黑白图像上,各种不同性质的结节会有的白一些(高回声),有的黑一些(低回声),有的更黑一些(无回声)。
边界清楚或者边界不清楚则是指结节在图像上是否边界清楚。相对,边界清楚的结节是良性的可能性大,而边界不清楚的结节是恶性的可能性大,但最终还是需要医生的综合判断。
1.2.3.囊肿
在超声报告中,对无回声的结节,B超医生直接就判断为囊肿。囊肿其实可以简单地理解为一层薄薄的皮包着一包水,是含水的“泡泡”,它可以单发,也可以多发,通常都是良性的。
1.2.4. 钙化
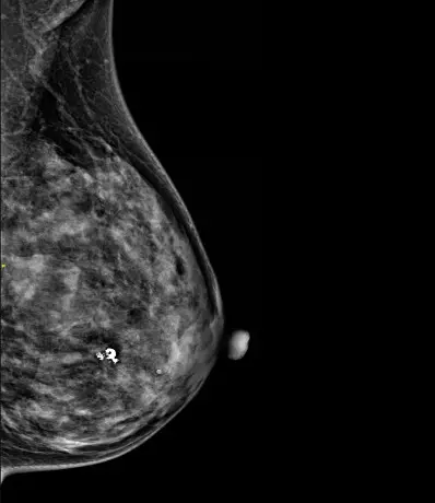
在钼靶的报告单上,钙化应该是最常见的描述性语言。钼靶片子就像一张乳房的黑白照片,钙化就是看到的乳腺里白色的小点(见图1,2),不要见到钙化就以为是恶性的,其实多数钙化还是良性的。

(图1,钼靶上的良性钙化)

(图2,钼靶上的恶性钙化)
根据钙化的形态和分布特征可以分为良性和恶性钙化,如散在的点状钙化,孤立的,粗大的,圆圆的钙化是良性的,而集群样,针尖,多形性的钙化有可能是恶性的。
1.3影像学分级
影像科医生根据相关乳腺检查的描述,会下一个结论。你会看到如下英文单词的书写,BI-RADS. 它是Breast Imaging Reporting And Data System (乳腺影像报告和数据系统) 的缩写。它是美国放射学会推荐的专业分级系统。它是判断乳腺疾病良恶性程度的分级标准。它分为七个等级,具体如下:
0级:需要结合其他检查后在评估,说明目前的资料信息不充分,无法给出判断,需要进一步检查。
I级:未见异常
II级:考虑良性病变,建议定期随访(如每年1次)
III级:良性病变,但需要缩短随访周期(如3-6个月1次);恶性可能性小于2%。
IV级:有异常,不能排除恶性的可能,需要活检明确。同时根据严重程度进一步又可分为三个等级:
1) IV A 级:倾向恶性可能性小
2) IV B级:倾向恶性可能性中等
3) IV C级:倾向恶性可能性大。
V级:高度怀疑为恶性病变,需要手术活检
VI级:已经由病理证实为恶性病变。
所以,当你的报告结论为IV 级以上者,你就需要高度重视,需要找专科医生。
因为,影像学提示有可能是恶性的病变,需要医生通过手术或者其他检查来进一步明确它的性质,做到早诊断,早治疗。
收藏
回复(11)参与评论
评论列表







