专家点评:一例长期生存的胃癌多发转移
解放军总医院肿瘤内二科 戴广海教授(
病例介绍
病史
患者男性,55岁,主因“确诊胃癌肝转移、腹腔及腹膜后淋巴结转移2天”于2009年12月20日入我院进一步治疗。
患者于2009年12月18日在当地医院体检行腹部B超检查时发现肝内多发占位性病变,最大者为3.9×3.7cm,腹膜后多个肿大淋巴结,大小为3.4×2.2cm。腹部CT平扫+增强示:肝内可见多发占位性病变,胃小弯侧淋巴结及腹膜后可见多个肿大淋巴结。2009年12月19日就诊于我院行胃镜检查,病理示:胃(底)中-低分化腺癌,累及鳞状上皮粘膜。免疫组化:HER-1(-),HER-2(++),p53(-),Ki-67(+<5%),VEGF(++)。患者偶有上腹部不适,体重无明显变化。为进一步治疗收住我院。
既往史:2008年确诊为高血压,烟酒史30年,无肿瘤相关及其他遗传病史。
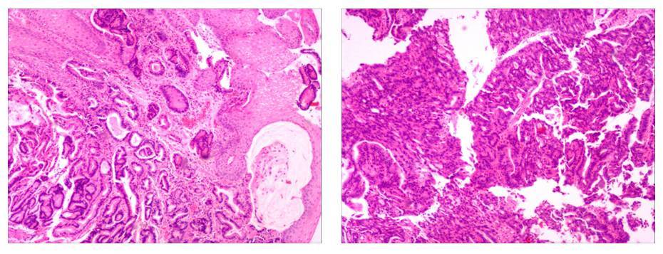
第一次胃活检

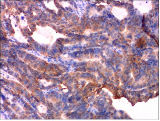
第一次胃活检HER-2

体格检查
入院时,体温36.7℃,脉搏72次/分,呼吸18次/分,血压124/69mmHg。KPS评分:90分,体表面积:1.83m2。神志清楚,营养中等,查体合作。全身皮肤粘膜未见黄染及出血点,左锁骨上触及肿大多发浅表淋巴结,大小1cm左右,质地偏硬,可活动,与皮肤无粘连。眼睑无浮肿,巩膜未见黄染。颈部未见颈静脉充盈及颈动脉异常搏动。双肺未闻干、湿性罗音。心界未见扩大,律齐,各瓣膜听诊区未闻及杂音,未闻及心包摩擦音。全腹无压痛,肝脾肋下未触及,未扪及肿块,无移动性浊音,肠鸣音正常,双下肢无凹陷性水肿。
实验室检查
肿瘤标记物(2009-12-19我院):CEA 3.66ug/L,CA19-9756.7u/ml,CA724 21.47u/ml,CYFRA21-17.01ng/ml,NSE 24.2 ng/ml,余正常。
影像学检查
腹部CT平扫+增强(2009-12-22我院)示:肝脏多发转移瘤,腹膜后淋巴结转移。胸部CT(2009-12-21我院)示左腋窝淋巴结肿大,转移可能性大。
基线检查

胃镜检查
胃镜检查(2009-12-19我院):贲门见隆起肿物,延伸至胃底大弯后壁,胃底见边缘隆起凹陷性溃疡。病理示:胃(底)中-低分化腺癌,累及鳞状上皮粘膜。免疫组化:HER-1(-),HER-2(++),p53(-),Ki-67(+<5%),VEGF(++)。
超声检查
2009年12月22日行浅表淋巴结超声超声检查见:左侧锁骨上窝多发低回声结节,符合转移性淋巴结表现。
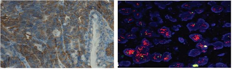
Her-2基因检测
后补查FISH检测Her-2基因表达结果(2010-1-22我院)回报:HER-2基因扩增。
FISH检测示HER-2基因扩增

胃(底)中-低分化腺癌(cTxN+M1 IV期), 肝多发转移, 腹腔、腹膜后淋巴结转移,左锁骨上、左腋窝淋巴结转移。
2009年12月至2010年05月行第1-8周期“曲妥珠单抗(赫赛汀)+DCF”方案(每3周)一线化疗联合靶向, 由于FISH检测时间长,开始两周期给予单纯化疗,具体用药:多西他赛,100mg,静滴,d1;注射用顺铂,100mg,静滴,d1;氟尿嘧啶,750mg,滴斗入,d1、2,3000mg,泵入,48h;亚叶酸钙,300mg,静滴,d1、2。2周期后复查腹部CT结果提示肝转移及腹腔淋巴结较前缩小,疗效评价MR。
2周期后复查CT

第三周期加用曲妥珠单抗,440mg,静滴,d0;4周期后复查疗效评价PR,6、8周期后复查疗效评价维持PR。

考虑患者身体耐受状况,2010年6月至2011年02月调整为“曲妥珠单抗+XELODA”方案(每3周)维持治疗,每3周期进行复查,疗效评价均为维持PR。 2011年3月至8月调整为单药输注曲妥珠单抗维持治疗(每月1次),期间复查疗效评价均为维持PR,在维持治疗过程中多次MDT讨论建议患者进行手术治疗,但患者均未同意。

2011年9月20日复查胃镜提示:贲门胃底癌化疗后未见明显癌灶残留,原病灶位置活检病理:(贲门)中分化腺癌。此时再次动员患者手术切除原发灶,同时进行肝转移灶局部治疗,患者及家属仅同意切除原发灶,拒绝肝脏病灶局部处理。2011年10月25日于我院肿瘤外科行腹腔镜辅助近端胃癌切除+空肠营养管置入术。术中见:腹腔粘连,未见有腹水及分泌物,肝、胆、胰、脾脏以及大网膜无异常,双侧结肠旁沟无异常,腹主动脉旁及肠系膜下动脉周围无肿大淋巴结,盆腔未见转移灶。术后病理:胃食管交界处小弯侧中~低分化腺癌,癌组织侵及深肌层,镜下估计肿瘤范围约0.8×0.8cm。上、下切缘未见癌。大、小弯侧淋巴结均未见转移癌,分别为(0/6、0/3),多个淋巴结内见大片坏死,另见多个坏死结节,坏死结节内无淋巴组织,考虑为肿瘤化疗后改变。补充免疫组化:HER-1(弱+),HER-2(+++),VEGF(+),Top-Ⅱα(+<25%)。
鉴于术后病理免疫组化HER-2(+++),2011年12月至2012年04月继续输注曲妥珠单抗5次。2012年6月至今每3-6月定期复查,均未见复发及转移,末次复查时间为2015年11月25日,疗效评价仍为维持PR,目前患者PFS已达6年余。
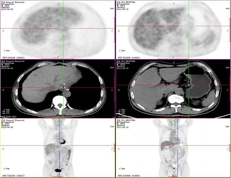
2013年6月PET/CT检查

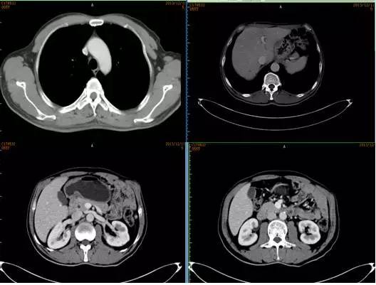
2013年12月复查

2015年10月复查

病例专家点评
本例患者为晚期胃癌,确诊时已经多发转移,包括腹腔、腹膜后淋巴结多发转移,左锁骨上、左腋窝淋巴结转移,肝脏多发转移,此类病人中位生存期为1年左右,但该患者为HER-2阳性,历经靶向联合化疗、靶向联合口服化疗维持治疗、手术、术后靶向治疗等综合治疗,目前有效缓解期长达6年之久,是一个比较成功的案例,充分体现了多学科(MDT)综合治疗的优势。本例中需要讨论的热点问题包括:
1对于如此之晚期的病例是否需要手术?手术的时机如何选择?
对于本例晚期胃癌患者,手术治疗并非首选手段。但经化疗及靶向治疗后原发灶及转移灶均明显缩小,维持治疗后各病灶仍然稳定,而原发灶经治疗后虽明显缩小,但病理仍未阳性,所以切除原发灶还是有必要的。国际上目前虽未达成切除原发灶的共识,但对于长期稳定的患者切除原发灶还是有临床意义的,一些回顾性的临床研究已经证实这一点。
为了避免病情进展后出现梗阻、穿孔、出血等并发症后急诊手术的被动性,病情稳定时择期行胃部原发灶的姑息性切除,一方面可以降低手术时的组织创伤,另一方面利于患者术后免疫力的恢复而降低肿瘤进展风险。
对于该类患者手术时机的选择,除出现梗阻、出血、穿孔等并发症需急诊手术外,目前指南尚无统一标准。我们多学科协作组的经验是,一线治疗病情缓解后,经维持治疗3月以上肿瘤仍稳定者,可以考虑选择姑息性手术治疗。如果一线治疗病情缓解后立即手术,一方面患者经多次化疗体力状况一般较差,另一方面患者免疫力较差,加之手术打击,术后可能出现病情快速进展;如果病情进展后再手术,说明肿瘤已出现耐药,并且术后恢复也需要一定时间,有可能延误二线化疗而出现病情进展。
2胃癌的维持治疗时间究竟需要多长?
维持治疗,最早在某些良性疾病中应用。在恶性肿瘤中,血液系统疾病最早提及该概念,急性白血病在诱导缓解后,需继续进行巩固治疗、维持治疗、强化治疗以达完全缓解。后来,在非小细胞肺癌、结直肠癌的临床实践中,发现经过一线化疗后,通过给予适当药物的维持治疗,能够带来无进展生存和总生存的获益。对于晚期胃癌,因生存时间较短,目前尚无维持治疗多长时间的相关研究和报道。我们多学科协作组的经验是,一线治疗病情缓解后,经维持治疗6月以上肿瘤仍未出现耐药者,可以考虑停药观察。
3肝脏病灶是否需要局部处理?
胃癌患者在发生肝脏转移时往往伴随肝脏以外的转移。如果没有肝外转移,且病灶位于肝脏一叶或直径小于4cm的转移灶及肝脏孤立转移病灶,胃部原发病灶可切除,经一线化疗病情缓解且身体状况良好可以考虑与原发灶一并切除。对于伴有肝外转移者,一般以全身化疗为主。如果全身化疗后肝部病灶仍进展,且有破裂出血风险或产生压迫症状等,可以考虑行肝转移射频消融、肝动脉化疗灌注/肝动脉化疗栓塞等治疗。该患者无上述情况,以全身治疗为主,局部肝脏病灶在长期稳定的状态下是可以考虑局部治疗的。我们MDT的经验是对于类似病灶还是建议进行局部处理的,一方面可以进一步明确转移灶病理诊断,另一方面彻底消除病灶也是有临床获益的,而且影像学的CR/PR未必是病理学的CR/PR。由于患者对局部有些顾虑,加之病灶一直稳定,PET/CT 也未显示代谢,所以一直未进行处理,密切观察中,从目前随访长达5年的时间患者肝部病灶一直处于稳定状态中,加之PET/CT也未显示代谢,肝部病灶有可能完全灭活。
4左锁骨上、腋窝、腹腔淋巴结消失后是否需要局部处理?
对于晚期肿瘤患者,我们治疗的目标是延长生存期和提高病人生活质量。如果患者转移淋巴结压迫血管、气管、神经等,出现水肿、憋气及疼痛等症状时需要局部处理改善症状。该患者左锁骨上、腋窝、腹腔淋巴结经治疗后消失,且没有任何临床症状,PET/CT 也未显示代谢,所以暂不需处理。
该患者为HER-2阳性,而且术后病理依然显示HER-2(3+),说明患者是HER-2基因高度依赖的肿瘤,也可以说此患者为HER-2基因驱动的肿瘤,所以对靶向治疗敏感度较高,相比之下预后较好。与肺癌、乳腺癌一样,胃癌特殊的生物学特性目前已受到更多的关注,特别是分子分型(包括基因、蛋白、miRNA等)以及分子标志物等与胃癌临床预后和治疗的相关性研究,以及患者个体差异性的研究(包括单核苷酸多态性、药物代谢等方面的差异),结合MDT的治疗模式,相信未来的几年应该是胃癌靶向治疗飞速发展的阶段。
收藏
回复(3)参与评论
评论列表






