有人用过RFA吗?
肺癌是人类因肿瘤死亡最常见的原因之一,其发病率及死亡率在城市中已位居第一。病理上以非小细胞肺癌(NSCLC)为主,约占85%。大部分患者确诊时已在中晚期,而且60~80%的肺癌患者在明确诊断时已失去手术机会,同时,肺脏是实体肿瘤第二位易转移的器官,紧跟在肝转移瘤之后。外科手术治疗常用于转移瘤数量有限及局限的患者,手术需切除一部分有正常功能的肺组织,因此,也需要新的治疗手段来替代手术。
近年来,微创射频消融(RFA)技术作为一种微创治疗方法在原发性/继发性肺部肿瘤治疗中得到越来越多的应用,并取得了较大进展,被誉为治疗肺癌的“定海神针”。

图1:CT引导下肺恶性肿瘤射频消融治疗
1何谓射频消融?
射频消融术通过插入肿瘤组织中的电极针和患者体表粘贴的电极板构成电流回路,开启射频发生器之后,电极尖端的高频交流电射入靶组织(图2A),使组织中的离子发生震荡,随之摩擦生热,使电极周围的靶组织内细胞死亡并发生凝固坏死(图2B),同时使肿瘤周围的血管组织凝固形成一个反应带,使之不能向肿瘤继续供血,并且可防止肿瘤转移。射频波还可使肿瘤局部血管凝固,血供减少。同时消融后的肿瘤组织存留在体内,由于其成分及结构改变,可刺激机体免疫力并产生抗肿瘤性细胞毒性抗体,并诱导细胞毒性T细胞免疫。

图2:A,肿瘤组织;B,射频消融后组织凝固性坏死。
2RFA适用于哪些肺癌?
用于不能耐受手术的非小细胞肺癌。肿瘤直径≤2cm,78~96%患者能达到完全消融;肿瘤直径≤3cm,5年生存率超过50%。对于直径≤5cm的原发性肺癌治疗效果比较好。
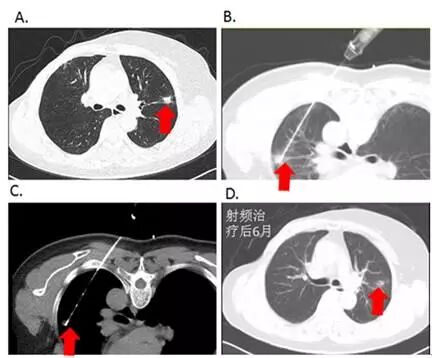
用于肺转移瘤的治疗。研究表明,肺转移瘤且直径≤2-3cm,接受RFA治疗的肺转移瘤患者,3年生存率为53.7%,4年生存率为44.1%。如图3所示,1例乳腺癌患者术后复发伴左肺单发转移,经RFA治疗后复查及随访近3年,生活质量良好,无远处复发。

图3:患者,女性,48岁,乳腺癌术后单发肺转移。
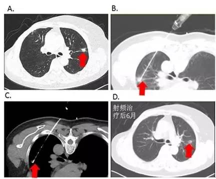
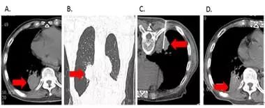
用于晚期非小细胞肺癌患者中酪氨酸激酶抑制剂(TKI)包括如凯美纳、易瑞沙或特罗凯等局部耐药后的治疗。如TKI治疗已经成为晚期非小细胞肺癌中表皮生长因子受体(EGFR)敏感突变患者的一线治疗选择。邵逸夫医院肿瘤研究中心采用RFA技术用于姑息性治疗非小细胞肺癌并克服TKI耐药的可选择治疗方法之一(如图2)。

图4:1 例59岁女性晚期非小细胞肺癌患者(EGFR突变)伴肺内转移,口服TKI药物治疗后15月,右下肺肿瘤(图B)如箭头所示较前(图A)明显增大,疾病进展;经CT引导下右下肺肿瘤RFA治疗(图C),后随访3个月(图D)、6个月(图E)均示控制良好。
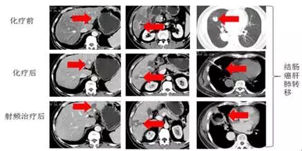
与化疗、放疗联合治疗。化疗、放疗联合射频消融治疗用于转移性肝、肺肿瘤,两者联合应用,可弥补各自的不足以增强疗效。对比任何一种单独治疗模式,延长了患者的生存时间,改善生活质量(见图5)。

图5:患者,男性,58岁,因结肠癌伴远处多发肝、肺多发转移,难以手术及治疗。结合化疗、靶向药物治疗,特别是结合微创射频消融技术成功治愈肝肺转移灶。
RFA还可以用来姑息性治疗缓解晚期肺癌患者的各种不适症状。(图6)

图6:1例88岁高龄肺癌患者术后复发伴肺内及胸膜转移(图A、B所示),重度疼痛难以入睡。患者经肺肿瘤RFA治疗后疼痛明显缓解,睡眠质量明显改善。一年后随访,患者一般状况良好,肺内肿瘤病灶稳定。
来源:邵逸夫医院 肿瘤内科 2016-04-21
3射频治疗的优点

1.射频消融针纤细,外鞘直径只有2mm ,造成的创伤极轻,痛苦极小,并发症极少。
2.与放、化疗比,毒副反应小,并且不用担心肿瘤对治疗是否敏感,疗效高,可以重复做。
3.快速治疗、一次即可。
4.可同步进行放、化疗,赢取肿瘤综合治疗时间。
5.射频消融的针道消融技术杜绝了针道转移的隐患,是氩氦刀等治疗手段所不具备的。
4射频消融常见疑问

1. 穿刺会不会引起气胸和癌细胞的针道转移?
通常人们担心对肿瘤穿刺后,拔针的过程中,会把癌细胞带出,造成针道转移,射频消融的针道消融技术就是在肿瘤消融治疗的过程中,对针道一路进行高温消融, 杜绝了针道转移的隐患。同时,针道消融还具有止血、防止肺漏气造成气胸的好处。
2. 治疗过程中痛苦吗?
绝大多数患者没有痛苦,仅有出汗,少数肿瘤靠近胸壁或纵隔的,有疼痛感,可以静脉麻醉或止痛药减缓疼痛。
3. 年龄大的患者能否接受治疗?
因为射频消融微创,非手术,同时不像放化疗那样毒副作用很大。属“绿色治疗”,因此适合不能耐受手术及放化疗的老年患者。
4. 中心性肺癌能否采取射频消融治疗?
中心性肺癌靠近大血管及支气管,因此许多人包括专业医务人员担心射频消融穿刺及治疗可能会损伤血管及气管,导致导致严重并发症。我们凭借精准的穿刺技术和丰富的射频消融治疗经验,有选择地对大多数中心性肺癌病人进行治疗。临床实践证明,安全性高,治疗效果好,可明显缓解咳嗽,咳血等症状,并最大限度地控制了肿瘤的发展。
5. 大肺瘤能采取射频消融治疗吗?
可以。直径 175px 以内的肺肿瘤单点一次消融即可。大于 175px 的肿瘤采取多点、多次消融同样可以达到消融灭活的目的。
6. 肺癌晚期已有转移,射频消融治疗还有意义吗?

肺癌晚期是全身性的疾病,应采取综合治疗,包括肿瘤的局部治疗和全身治疗。局部治疗是针对可见肿瘤实体的直接灭活,如射频消融治疗和放疗等等。全身治疗是通过药物对全身进行治疗,年老体弱的患者可以采用中药。好比现代化战争,不会开始就派兵与敌方直接展开阵地战,而是先用大规模杀伤性武器,比如导弹先将敌方大部队一次性大规模消灭,然后派地面部队对散兵游勇进行剿灭。肿瘤的治疗就像一场战争,可以用射频消融这种“大规模杀伤武器”把可见的能做的肿瘤一次性消融灭活,不仅快速有效,而且对身体的影响小,以最小的代价获得最大的利益,然后经过短期恢复修养,很快进入药物治疗,对体内其它潜在的癌细胞进行剿灭。另外患者身体许可的情况下还可结合放疗,对射频消融不能达到的肿瘤(如纵壁肿大的淋巴结)进行放疗。这是对晚期肿瘤综合治疗和个体化治疗的新概念。
7. 对不能耐受药物治疗的晚期病人怎么治疗?

仍然可以采取射频消融。其意义在于减瘤,缓解肿瘤生长,减轻肿瘤的症状和痛苦,配合靶向药物及中药治疗仍然可以延长生命,减轻痛苦。
8. 有心脏病、肺病、糖尿病等的肺癌病人能耐受射频消融治疗吗?
可以,因为射频消融治疗极度微创,对身体损伤及影响小。因此有慢性病和心肺功能不全的病人通常都是能够耐受射频消融治疗的。
9.射频消融有无副作用?
射频消融如果手术成功,没有副作用。极少数的病人会出现并发症如穿刺部位血肿等,但发生率极低。
收藏
回复(5)参与评论
评论列表






