医生是如何最终做出肿瘤诊断的?

医生是如何最终做出肿瘤诊断的?

在疾病的确诊这件事上,肿瘤比其他疾病显然要更复杂一些。许多疾病凭临床问诊加实验室或影像学检查等就可诊断,但对于肿瘤来说,其诊断一般分为五级,权威性、可靠性逐级加强,组织病理学诊断为最终诊断,也是肿瘤诊断的金标准。


下面我们就来一起了解一下肿瘤诊断的五个分级:


01

临床诊断

临床诊断是指医生根据病人的主诉,结合其症状、体征、主观感受、病史等对病因、发病机制作出分类鉴别。


在肿瘤的临床诊断中,病史和查体是最基本、最重要的诊断手段。


病史询问多指对某些进行性的症状,如肿块、疼痛、病理性分泌物、出血、消瘦等进行深入询问。


查体是结合病史进行重点器官的局部检查。查体多针对表浅肿瘤,因为其容易触及,而深部肿瘤则需借助其他必要的检查,方能确定。查体时医生会重点关注肿瘤的部位、形态、硬度、活动度及与周围组织的关系,同时进行区域浅表淋巴结检查。

图片

上述临床诊断的意义在于让医生对患者的病情有一个总体的大致的判断,也便于进一步开具其他的检查,但绝不能就此作出诊断。


02

理化诊断

理化诊断指的是物理和化学诊断,比如说影像学检查(X线、B超、CT和 MRI核磁共振检查等),或肿瘤标志物检查等。

图片

理化诊断逐渐开始逼近相,但仍旧不能作为诊断肿瘤的依据。因为尽管良恶性肿瘤在影像学表现上会有一定的差异,但其特异性并未显著到根据照片就可识别身份,而且这一诊断与医生的经验、水平等主观因素也有很大的关系。


至于肿瘤标志物,它只是诊断肿瘤的一个辅助手段,而且受多种因素影响,假阴性假阳性比率并不低,因而也无法作为确诊肿瘤的手段。


03

手术诊断

手术诊断是指经手术或各种内镜检查,仅以肉眼看到的肿物而作出的诊断,未经病理学证实。


有经验的医生根据术中看到的肿物的颜色、形态等,对其良恶性会有一个较有把握的认识和判断,但毕竟肉眼所见无不能作为诊断的依据,它与事实的真相可能还有很大的差距。


04

细胞病理学诊断

细胞病理学诊断是根据各种脱落细胞、穿刺细胞检查而作出的诊断。比如说宫颈TCT检查就是通过搔刮的方式,采集宫颈口的脱落细胞,对其进行病理学检查,判断是否有癌细胞的存在或是否发生癌前病变;又比如说痰细胞检查的一个重要功能就是在患者的痰液中寻找是否有脱落的癌细胞,借此来辅助诊断肺癌。


05

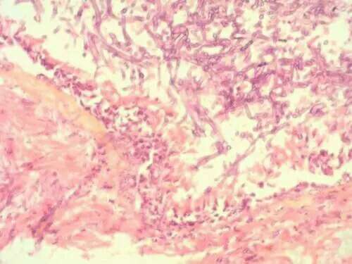
组织病理学诊断

组织病理学诊断就是对手术切下的肿瘤组织或者是在活体身上,应用钳取、穿刺、切取等方式取得肿瘤组织,固定染色,在显微镜下进行的组织学诊断。如果镜下特征不明确时,还要结合免疫组化的方式进行鉴别。

图片

病理学诊断通常被认为是肿瘤诊断的金标准,也是肿瘤的最终诊断。如果临床诊断和病理诊断发生冲突时,一般要以病理诊断为准。


综合上文所述,在肿瘤的诊断中,在这五级诊断可靠性依次增加,以第五级最为理想和准确,权威性、可靠性最高。


当然,在临床医疗中,未必每一个肿瘤患者都要经过这样五级诊断才能最终明确病情。


有时候因为肿瘤生长的部位特殊性,难以取到病理组织,这种情况下,临床诊断、理化诊断也可以作为最后的诊断依据。如胰腺癌,因为胰腺部位较深,而且前方被胃肠等器官遮挡,在已经失去手术治疗(或取病理)的情况下,难以通过体表取到肿瘤组织,这种情况下,临床症状、影像学检查结合肿瘤标记物也可以作为确诊的依据。


还有一些情况下,即便进行了病理诊断,也无法百分百准确地为疾病定性。因为组织病理学诊断也是人为操作的,也有其主、客观的局限性。这个时候,可能需要进行专家会诊或重行病理检查。


下面以一个乳腺癌病例来具体说明:

(临床诊断部分)

“患者女性,53岁,已婚,退休工人。左乳房无痛性肿块5月余,近月来明显增大入院。自今年1月初患者于洗澡时无意中发现左乳房有一蚕豆大小之肿块,无痛,可活动,进行性增大。曾在外院行中、西医药物治疗无效,肿块明显增大。


患者无外伤史,无乳头溢液,无明显消瘦。


入院检查:一般情况佳。皮肤、巩膜无黄染。心、肺、腹无异常发现。右乳房无异常。左乳略小于右乳,乳头偏向外上方,外上象限有轻度“桔皮样”改变,并可触及5×4×4cm之肿块,质硬,表面欠光滑,边界不清,与皮肤粘连,活动欠佳,无压痛。


左腋下可扪及三枚肿大之淋巴结,质硬,无压痛,无粘连融合,活动尚可,表面欠光滑,边界不清。


(理化诊断部分,此时需进行鉴别诊断)

检查:一般情况可,心、肺、腹无异常发现。B超及钼靶X线摄片均提示“左乳外上象限肿块,恶变可能性大”。


术前需做下列检查:

1.血常规 出血、血凝时间,尿常规;

2.肝、肾功能及电解质。


根据病史、体征,结合辅助检查结果,发现该患者有以下特点:

①中年妇女;

②左乳无痛性肿块进行性增大5月余;

③肿块直径5×4×4cm,其表面皮肤可见“桔皮样”改变,质偏硬,不光滑,界限不清,与皮肤有粘连;

④左乳头抬高,体积略大于右侧;

⑤B超及钼靶片均提示左乳外上象限肿块,恶变可能性大。

因此,初步考虑左乳癌的诊断。


需与下列疾病相鉴别:

1.乳房纤维腺瘤常见于青年妇女,很少发生在绝经后。肿块与皮肤和周围组织无粘连,易推动,生长缓慢,可多年无变化。与本患者体征不相符合。


2.乳管内乳头状瘤本病多见于中年妇女,轻压乳房后乳头有血性液体溢出,一般扪不到肿块,有癌变可能。此患者无乳头溢液史,不支持此诊断。


3.乳腺囊性增生病多见于25~40岁经期女性,经期前乳房有胀痛。肿块呈结节状,大小不一,质韧而不硬,与皮肤和深部组织无粘连。该患者情况都不支持。


4.乳房结核比较少见,早期与乳癌不易鉴别。可做穿刺病理学检查来确定。从患者的病史和体检结果来看,诊断该病无依据。


5.外伤性脂肪坏死常发生于肥大的乳房,多于挫伤后数日发生,而外伤史不一定能问出。该患者经反复追问无外伤史,故此诊断不考虑。


综上所述,考虑该患者的左乳肿块以乳腺癌可能性较大。


(手术诊断部分)

手术经过:仰卧位,左肩部垫高约15cm,左上肢外展约90°,距肿瘤边缘的正常皮肤约5cm处,先用甲紫画一梭形切口,上端位于胸大肌与锁骨之间,下端达肋弓下缘。


用2.5%碘酊、75%乙醇常规消毒胸部及右大腿部皮肤,铺消毒巾单。于左乳外上象限肿块做一放射状切口,长约6cm,切开皮肤及皮下组织,用电刀将肿块完整切除,即送冷冻切片检查。


(病理诊断部分)

病理报告:左乳房侵润性导管癌,(T2N1M0),肿瘤位于乳腺外上象限,大小5X4X4cm,伴局部淋巴结转移2/5。


免疫组化结果显示:ER( 70%)、PR(50% )、KI67(5%)、HER2(—)…………(余略)



总而言之,肿瘤的诊断是一个非常严肃也是非常复杂的事情,容不得有半点的模糊,因为它是疾病治疗的开始和依据,是关乎患者健康乃至性命的大事。一但确诊恶性肿瘤,患者及其家庭的生活重心势必发生转移,他们可能面临完全不同的人生轨迹。


另外,我们始终提倡早诊断、早治疗。诊断越早,治疗效果越好,预后也越好。我们呼吁大家都学一点关于防癌抗癌的科普知识,早期发现肿瘤的蛛丝马迹,及时就医,及时诊断,才不会延误治疗。

参与评论

更多
图片验证码

评论列表

更多
按投票顺序
谢谢分享
举报
2018-10-18 23:56:30
有用(0)
回复(0)
谢谢分享
举报
2018-10-17 21:17:23
有用(0)
回复(0)
谢谢分享
举报
2018-10-17 21:22:47
有用(0)
回复(0)
谢谢分享
举报
2018-10-17 18:29:52
有用(0)
回复(0)
谢谢分享
举报
2018-10-18 05:53:40
有用(0)
回复(0)
谢谢分享
举报
2018-10-18 06:06:33
有用(0)
回复(0)
谢谢
举报
2018-10-17 21:51:29
有用(0)
回复(0)
谢谢分享
举报
2018-10-18 16:10:15
有用(0)
回复(0)
谢谢分享
举报
2018-10-17 23:11:45
有用(0)
回复(0)
谢谢分享
举报
2018-10-17 21:11:29
有用(0)
回复(0)
暂无数据