乳腺癌出新疗法了!晚期也可以被治愈!
昨日,美国国立癌症研究所(NCI)的科学家在《Nature Medicine》杂志上面发表了一项关于新免疫治疗的研究。这个新疗法使得一名晚期已经转移的乳腺癌患者的全身肿瘤完全消失了!这也是T细胞免疫疗法首次治疗晚期乳腺癌的大获成功!
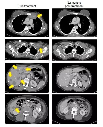
免疫治疗结果喜人! 研究论文文献的作者也是NCI癌症研究中心的外科主任Steven A. Rosenberg教授,Rosenberg教授说:“一旦癌症发生了转移,大多数患者将面临的是死亡,因为对于转移性的肿瘤,我们一直没有找到有效的治疗方法。” 研究人员找到这名乳腺癌患者的时候,49岁的她已经被乳腺癌反复折磨,尝试过化疗和内分泌治疗等,但是这依然没有延缓肿瘤的进展和转移。这名几乎被判了死刑,可能仅有几个月生命的患者,决定参加这项细胞疗法的临床试验。 研究人员先在肿瘤里面找到肿瘤浸润性T细胞(TILs-一种可以识别肿瘤特异性的抗原),然后把它们从肿瘤中分离出来,在体外分析。虽然分析结果并不如预期,在62中突变中仅有4种被T细胞识别出来,而且这类T细胞数量也非常小。于是研究人员把这些有用的T细胞扩增制造出900亿个细胞,再返回到患者体内。 不仅如此,在肿瘤浸润淋巴细胞正在生长的同时,患者还接受PD-1阻断免疫治疗剂Keytruda的治疗,以修改免疫系统,使其他免疫细胞在被大量扩增后注入患者时不会干扰TILs。 于是,奇迹出现了!在6个月后的随访影像学检查中,患者所有肿瘤都消失了!(下图的左列是之前的影响学检查结果,右侧一列是之后的影像学结果。黄色箭头指的是肿瘤)不竟如此,22个月后,肿瘤依然没有复发! 免疫疗法要逆天! 不仅如此,研究人员还认为这种治疗对一些常见的上皮癌和他们的转移肿瘤都是有治疗潜力的。他们还成功治疗过其他三种不同类型的转移癌:结直肠癌、胆管癌和子宫颈癌。 “在未来,这种治疗方法可能应用于更多的癌种” Rosenberg教授说。特别是对于一些有转移的患者,因为他们可能由于之前的治疗,产生耐药性。或者转移灶拥有和原始肿瘤完全不一样的突变。 正如Rosenberg教授教授说的:“导致肿瘤发生的突变也可能成为可攻击的、肿瘤的致命弱点。” 那么新疗法的耐药性如何呢? 奇怪的是,研究人员发现与新的个性化治疗相比;老的化疗药物治疗下,由于采取的是地毯式轰炸破坏癌细胞和它们的基因组,这使得肿瘤细胞更难发展出抗性。 新的治疗方式可能只是针对一个或者很小数量的癌细胞突变蛋白组,这可能会使得肿瘤更容易产生耐药性。这个部分还需要更多的研究,从而来确认TILs可能的靶点。 免疫疗法的实用性 如此个性化的治疗,是不是很难大规模的推广和应用呢?不一定哦!如果进行大规模的试验,无疑是非常大的挑战,需要很大的实验室和专业知识。但是美国已经有公司开始进行冠以TIL疗法的试验了。 “我们正在将患者自身的淋巴母细胞发展成治疗,他们是天然的T细胞,而不是基因工程。这是你可以想象的最高度个性化的治疗,“ 罗森伯格说。
收藏
回复(7)参与评论
评论列表






