肺鳞癌术后半年脑转移,求问如何治疗
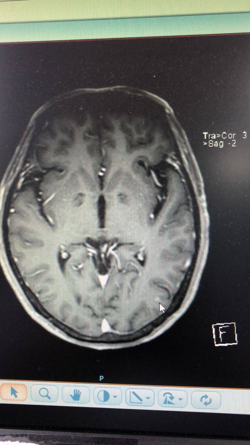
肺鳞癌术后半年怀疑脑转移,哭过之后擦干眼泪继续战斗。求教觅友们,脑部放疗采用哪种方式好?射波刀、伽玛刀、还有立体定向放疗,哪种更好?目前我爸没有脑转症状,一个结节4mm、一个结节2mm,医生建议观察一个月,如果增大就放疗;如果没有变化就继续观察。另外,无基因突变盲试靶向药是选择特罗凯还是9291?我知道阿法替尼是指南规定的鳞癌用药,但阿法替尼入脑效果不好,没用。我家pd-L1表达65%,目前由于放射性肺炎的存在暂时不考虑上pd1。此次脑部放疗后如何预防下一次的脑部复发呢?毕竟放疗治标不治本。另外,求有经验的觅友帮忙看一下脑部核磁影像,看一下鼠标指出的地方是否确为转移瘤。叩谢各位觅友了。





收藏
回复(30)举报
参与评论
评论列表
按投票顺序
我爸爸也是肺鳞癌中期 手术还不到一周 病例也没出来 不知道以后怎么样
举报
2018-03-19 15:37:55 有用(1)
回复(4)
两个的伽马刀
举报
2018-03-19 06:56:20 有用(1)
回复(1)
鳞癌不需要基因检测,直接pd1
举报
2018-03-22 16:50:52 有用(0)
回复(1)
这个比较专业,看不懂!首页问问专家!
举报
2018-03-19 05:55:04 有用(0)
回复(2)
阿法替尼入脑远远不如9291,入脑最好的是9291 804 3759。都是针对e靶点。除非你家腺鳞混合,不然盲试靶向药效果不大。首选应该是pd1或者pdl1
举报
2018-03-22 16:52:58 有用(0)
回复(1)
选用r刀治脑转。可盲试特罗凯。
举报
2018-03-19 07:49:23 有用(0)
回复(1)
陈波医生口服血管靶向辅助是在没有基因检测的前提下的选择 如果经济条件好 做个全面的检测来寻找靶点是最好的
举报
2018-04-17 01:09:56 有用(0)
回复(2)
r刀手术是指采用伽玛射线几何聚焦方式,通过精确的立体定向,将经过规划的一定剂量的伽玛射线集中射于体内的预选靶点,一次性、致死性地摧毁点内的组织,以达到外科手术切除或损毁的效果,从而治疗疾病。
举报
2018-03-20 20:47:57 有用(0)
回复(1)
阿法替尼入脑能力和9291差不多,盲试建议还是试试阿法替尼,毕竟阿法替尼对肺鳞癌还是有几率的,只不过副作用大一些。
举报
2018-03-20 23:36:50 有用(0)
回复(1)
表达好高哦
举报
2018-04-06 02:13:16 有用(0)
回复(0)
请问,这个2%普鲁卡因针剂10ml怎么配比?
举报
2020-01-25 22:24:19 有用(0)
回复(0)
术后这么快复发吗?你爸是第几期做的手术?
举报
2018-05-17 20:28:25 有用(0)
回复(0)
泉州肺鳞癌3b术后没有化免吗?
举报
2023-08-18 16:53:00 有用(0)
回复(0)
相关推荐
热点推荐
暂无数据






