好难过,牙齿坏了
每天早上都是我先起床老公再起,但今天我刷完牙了,像平时一样叫他起床,他说不起还想睡,叫我先去店里吃早餐先。
估计是这几天干活累了,天天又早起,今天不用干活了就想睡晚点吧!
然后我看他不起我又躺下床上了,刚躺下不久,突然间觉得嘴巴有东西,用手去摸,拿出来用手搓搓,搓不烂就和老公说我嘴巴里怎么会有沙呢?当时他也没在意就说,谁知道你啊!
我也没想很多,就以为是墙上的东西掉嘴里了,后来嘴巴里还有,就又摸出来,也还没注意,觉得有就用手摸出来,太碎的摸不了就吐。
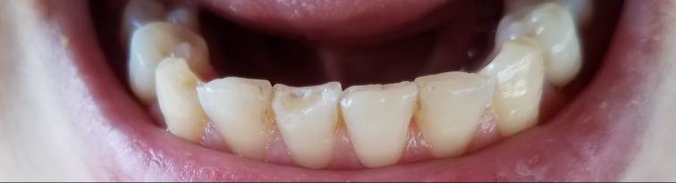
后来老公起床了,我也起来了,准备梳头,用镜子一照,一看我的嘴巴,妈呀!我的牙齿碎了😭😭😭我大叫了,因为没想到啊,怎么会这样烂牙法都有啊?而且我都没在吃东西啊😭😭😭
后来老公过来一看,他就说我是吃激素变成这样子的。加上我平时又喜欢吃硬的东西,还骂我,说看我以后还敢不敢老吃那些硬的东西,还说我经常爱吃骨头,说我还是最爱吃脆骨,平时叫我吃肉不吃,说看我以后还敢不敢吃骨头?☹☹☹
然后就带我去看医生了,医生也说是我吃硬东西吃多了。说我这个情况只能做牙套,目前看,我有4个牙齿都是开裂了,要做4个!上次补牙洞也是这里,所以那医生说我是熟人,如果要做就优惠一点给我,说900块一个,问我怎么样,老公就说,过几天再来!然后我们就走了。
出来后老公就说,先观察几天,如果再碎就来做牙套了,没办法了。
然后说,过几天去医院复查狼,让我全部指标都查一下,还要做个骨密度!说我牙齿这样坏掉,就是吃激素的!
我真的烦死了,一波未平一波又起,牙齿蛀虫有洞我还能接受,但牙齿这样碎了就真的好担心啊,好怕到时候全嘴牙齿都这样子,以后吃东西就麻烦了😭😭😭
附一张牙齿碎了的图片,牙齿有点黄有点恶心,大家别介意啊!
估计是这几天干活累了,天天又早起,今天不用干活了就想睡晚点吧!
然后我看他不起我又躺下床上了,刚躺下不久,突然间觉得嘴巴有东西,用手去摸,拿出来用手搓搓,搓不烂就和老公说我嘴巴里怎么会有沙呢?当时他也没在意就说,谁知道你啊!
我也没想很多,就以为是墙上的东西掉嘴里了,后来嘴巴里还有,就又摸出来,也还没注意,觉得有就用手摸出来,太碎的摸不了就吐。
后来老公起床了,我也起来了,准备梳头,用镜子一照,一看我的嘴巴,妈呀!我的牙齿碎了😭😭😭我大叫了,因为没想到啊,怎么会这样烂牙法都有啊?而且我都没在吃东西啊😭😭😭
后来老公过来一看,他就说我是吃激素变成这样子的。加上我平时又喜欢吃硬的东西,还骂我,说看我以后还敢不敢老吃那些硬的东西,还说我经常爱吃骨头,说我还是最爱吃脆骨,平时叫我吃肉不吃,说看我以后还敢不敢吃骨头?☹☹☹
然后就带我去看医生了,医生也说是我吃硬东西吃多了。说我这个情况只能做牙套,目前看,我有4个牙齿都是开裂了,要做4个!上次补牙洞也是这里,所以那医生说我是熟人,如果要做就优惠一点给我,说900块一个,问我怎么样,老公就说,过几天再来!然后我们就走了。
出来后老公就说,先观察几天,如果再碎就来做牙套了,没办法了。
然后说,过几天去医院复查狼,让我全部指标都查一下,还要做个骨密度!说我牙齿这样坏掉,就是吃激素的!
我真的烦死了,一波未平一波又起,牙齿蛀虫有洞我还能接受,但牙齿这样碎了就真的好担心啊,好怕到时候全嘴牙齿都这样子,以后吃东西就麻烦了😭😭😭
附一张牙齿碎了的图片,牙齿有点黄有点恶心,大家别介意啊!

收藏
回复(48)举报
参与评论
评论列表
按投票顺序
还做骨密度
会赚钱噢……
举报
2017-12-09 19:21:22 有用(1)
回复(2)
大家都是吃几个激素牙齿坏掉的?
举报
2017-12-11 11:24:54 有用(0)
回复(2)
我的牙齿也是 之前没在意过 后来照镜子慢慢发现 牙齿根上腐烂了 目前就两颗
举报
2017-12-09 18:01:25 有用(0)
回复(2)
我的牙齿,现在有牙隐裂,牙龈还猥琐

举报
2017-12-29 22:58:38 有用(0)
回复(0)
是不是缺钙啊。多补点钙!缺钙对牙齿也有影响
举报
2017-12-09 18:33:42 有用(0)
回复(1)
好便宜啊900一个...我们这2700只是很普通
举报
2017-12-30 02:29:40 有用(0)
回复(0)
我觉得是和吃激素有关。我激素量大的时候那段时间,牙齿也是这样一块块往下掉,牙龈还萎缩,当时我也吓坏了,心情很糟。激素量减小,牙齿情况才没恶化。
举报
2017-12-09 15:38:21 有用(0)
回复(1)
千万不要做牙套!牙套腐蚀牙齿,而且拯救一颗牙牺牲两颗好牙。
举报
2017-12-09 19:19:54 有用(0)
回复(7)
你现在吃几个激素?这好可怕!
举报
2017-12-09 15:51:37 有用(0)
回复(1)
你的牙齿除了有少少影响美观,没什么大问题。做牙套不出10年,你所有的牙齿全坏完,坏到一颗不剩,这是很多人的体会。再者,你这种牙齿做牙套,这个医生狼心大大的!
举报
2017-12-09 19:24:57 有用(0)
回复(2)
晨曦听雨的声音直接毫不夸张的说,我以前吃核桃从来都是牙齿咬!比门还厉害,现在不行了,甘蔗都剥不了了。
举报
2017-12-09 16:12:44 有用(0)
回复(1)
我咬了一口甘蔗,门牙掉了半颗,套要套两颗烤瓷牙,你那儿便宜900一颗,我们这里2600一颗
举报
2017-12-09 19:51:24 有用(0)
回复(6)
你老公真好
举报
2017-12-09 16:47:13 有用(0)
回复(3)
正常正常,我的也是这样,目前是一个坏了
举报
2017-12-09 16:56:26 有用(0)
回复(1)
我也是什么硬东西都用牙咬,现在不行了
举报
2017-12-09 17:27:06 有用(0)
回复(1)
就是吃激素造成的钙流失,我的牙已经没几个是原装的了
举报
2017-12-09 17:44:58 有用(0)
回复(2)
相关推荐
热点推荐
暂无数据






