陈心诚意系列1:肺部磨玻璃影该怎么处理

作为整个系列的第一篇,需要声明一下。陈医生自觉之前的帖子太过于嬉笑怒骂,一些梗藏得比较深,不利于觅友们学习和吸取治疗经验。所以,陈医生准备开始一个比较有诚意,有温度的系列,用相对朴实的文字来讲述觅友们真实的案例,让大家能够学到东西。
系列1里面的两位觅友都是在问专家里咨询陈医生类似的问题的,但在第一次咨询的时候,陈医生给出了不同的建议。医生对病人,应该要一视同仁的,莫非陈医生对待患者也是看菜下饭,搞区别对待?我们先来看看两位患者的病情。

参与评论

更多
图片验证码

评论列表

更多
按投票顺序
磨玻璃影,胸膜有牵拉,这些都是提示可能有肺癌的不好的特点。
举报
2017-11-20 21:18:37
有用(2)
回复(0)
这么好的案例,来学习的觅友不多哈,估计又要逼陈医生当标题党,写个什么揭穿陈医生对患友根本没有一视同仁之类的标题
举报
2017-11-20 22:52:31
有用(1)
回复(0)
忘了补充一点,第一次就让月半弯患友直接手术的原因还有她的磨玻璃病灶有空泡征
举报
2017-11-20 23:00:00
有用(1)
回复(0)
学习了,感谢陈医生!
举报
2017-11-20 23:01:13
有用(1)
回复(3)
呵呵,真是好极了,幸运啊!有这么个大咖陈dr,天天带着我们学知识,自己再累再辛苦都在第一时间为病人解忧,关心着病人的病情进展,陪着我们这些病人和家属们,这样的人哪里去找?有时候病人最大的安慰就来自于一个有人情味的,善解人意,有耐心的医生,为陈dr点赞
举报
2017-11-22 16:18:28
有用(1)
回复(0)
这次的贴看懂了!谢谢陈医生!我会继续认真学习!
举报
2017-11-21 01:14:30
有用(1)
回复(0)
很详细很专业也很容易理解受益很大!
举报
2017-11-21 08:42:15
有用(1)
回复(0)
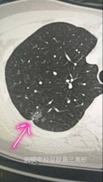
先看第一位患者,简称月半弯。她因为发现肺里面有磨玻璃影,咨询陈医生。磨玻璃影如图所示。
举报
2017-11-20 21:13:22
有用(1)
回复(0)
陈医生问完病情后,建议她直接手术。
举报
2017-11-20 21:13:56
有用(1)
回复(0)
再看第二位患者,简称希望,大家看她的图跟第一位患者的几乎如出一辙,但陈医生第一次却只建议她定期复查
举报
2017-11-20 21:15:26
有用(1)
回复(0)
她们两位提供的病灶,都可以称为磨玻璃影,就像玻璃上被砂纸磨过,留下很粗糙的一片。
举报
2017-11-20 21:16:42
有用(1)
回复(0)
同时邻近胸膜的地方,都有点牵拉,就是胸膜局部有牵拉出一点。
举报
2017-11-20 21:17:56
有用(1)
回复(0)
按理说,陈医生应该对她们两位都建议直接手术才对,为何有区别对待呢?
举报
2017-11-20 21:19:20
有用(1)
回复(0)
大家仔细看一下两位的胸膜牵拉,月半弯的比较锐利,拉扯出来的部位呈三角形。而希望的片子里,拉扯出来的部位没那么锐利,绝呈一点不规则的方形。
举报
2017-11-20 21:20:56
有用(1)
回复(0)
大家都知道,这个蛇的头要是三角形啊,毒蛇的可能性就越大。月半弯觅友的胸膜牵拉部分锐利,呈三角形。更重要的是,月半弯觅友曾经有过乳腺肿瘤的病史,所以陈医生建议她直接手术了。
举报
2017-11-20 21:25:26
有用(1)
回复(0)
而希望觅友的胸膜牵拉呢,则比较接近方形,最重要的是,没有症状,体检发现的。所以陈医生最初建议她定期复查。
举报
2017-11-20 21:28:13
有用(1)
回复(0)
但是,随着了解的深入,陈医生翻脸了,让她抓紧去手术。为什么呢?大家看看讨论截图就明白了。
举报
2017-11-20 21:29:31
有用(1)
回复(1)
月半弯觅友的手术很成功,及时明确了肺癌,幸运的是没有转移,根治了。
举报
2017-11-20 21:33:47
有用(1)
回复(9)
几乎同样的病灶,希望觅友的主治医生比较犹豫,月半弯觅友的主治医生则比较果断。陈医生的建议也是直接积极切除比较放心,毕竟属于高危人群啊。
举报
2017-11-20 21:38:09
有用(1)
回复(0)
最后给各位打酱油的觅友们总结一下,磨玻璃影的病灶不好鉴别,但如果曾经有其他肿瘤病史或者有长年吸烟等高危因素,还是直接手术根治为好。
举报
2017-11-20 21:39:47
有用(1)
回复(0)
陈医生,我们有来学习,而且是认真学习哈。只是以这样的系列普及知识的同时,有适合的话题也要延续一下原先的作风,让我们在凄风苦雨中饮一杯非常可乐。
举报
2017-11-21 09:33:02
有用(1)
回复(2)
一早来学习
举报
2017-11-21 06:43:12
有用(1)
回复(0)
学习了,感谢陈医生!
举报
2020-05-24 11:05:32
有用(0)
回复(0)
默默的学习着!好帖
举报
2017-11-23 08:54:21
有用(0)
回复(0)
学习了。还是羡慕能手术的啊。去年年初我母亲咳嗽时也拍过ct,只说有小结节,让回家吃点消炎药,没想到今年锁骨上淋巴结肿大就检出癌细胞了。也许去年还没转移能手术呢
举报
2017-11-21 13:41:53
有用(0)
回复(2)
省二院不仅说要切右肺的,还说左肺也有两个小的不太好,您看一下
举报
2017-11-21 10:16:34
有用(0)
回复(5)
陈医生,我来报道到了,一定好好学习。
举报
2017-11-21 19:55:26
有用(0)
回复(0)
陈医生讲解详细!
举报
2017-11-21 17:16:08
有用(0)
回复(0)
谢谢陈医生详细讲解
举报
2020-05-24 09:51:28
有用(0)
回复(0)
感谢陈医生
举报
2017-11-22 13:56:09
有用(0)
回复(0)
暂无数据