基于综合治疗理念,局部、靶向与免疫联合策略为中晚期肝癌患者带来获益与生机
综合治疗是中晚期肝细胞癌(HCC)治疗的重要理念与模式,以局部联合系统治疗、靶向联合免疫治疗为代表的联合策略,为更多肝癌患者带来希望与生机。本期分享的2例HCC患者,其中一例为原发性肝癌伴门脉癌栓,在一线治疗快速进展后采用局部联合瑞戈非尼 PD-1抑制剂的方案治疗3个月后,成功行肝癌根治术,至今持续缓解超20个月;而另一例肝内多发转移、肺转移、髂骨转移的HCC患者,在行多次局部治疗及一线靶免联合治疗进展后,二线靶向采用瑞戈非尼联合免疫治疗,至今持续缓解超6个月,为患者带来生存获益。
江苏省常州市第一人民医院介入放射科主任医师
国际肝胆胰协会中国分会介入诊疗专业委员会委员
江苏省医学会介入医学分会非血管介入学组委员
江苏省常州市医学会介入医学分会委员
学术成就
在省级专业杂志上发表论文十余篇
参与科研课题二项,参编专著二部
擅长领域
从事介入诊疗工作二十余年,在原发性肝癌、胃肠道肿瘤肝转移、肺癌、肾癌,膀胱癌治疗上积累了丰富的经验,结合分子靶向药治疗,获疗效显著,具有区域优势
病例讲课视频
患者一般情况
患者既往病史:男,68岁,右上腹部疼痛入院,既往乙肝病史10余年。
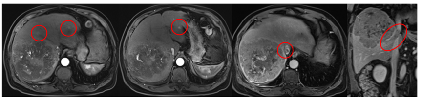
2020年4月20日上腹部MR示,原发性肝癌伴肝内及肝静脉浸润(图1)。中国肝癌(CNLC)分期Ⅲa期。
图1.2020年4月20日上腹部MR
局部治疗
2020年4月24日和2020年5月26日分别行经导管肝动脉化疗栓塞(TACE)。甲胎蛋白(AFP)降低:由>1210ng/ml降至552ng/ml。
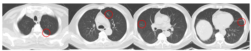
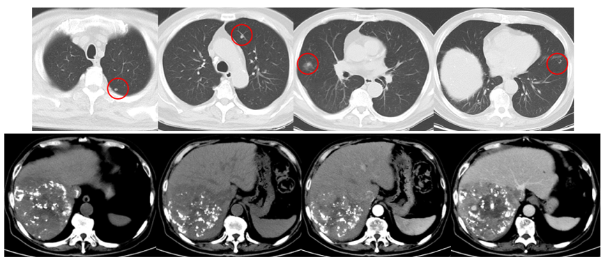
2020年5月24日,第1次TACE术后1月复查CT示,肝脏碘油沉积良好,肺部小结节出现,考虑肺部转移灶(图2)。CNLC分期转为Ⅲb期。
图2.2020年5月24日肝脏和肺部CT
一线治疗——局部联合索拉非尼治疗
2020年5月26日行第2次TACE治疗,并于2020年5月29日给予索拉非尼治疗。2020年7月15,2次TACE及索拉非尼1.5个月后复查CT提示,肝部病灶稳定,碘油沉积良好;肺部结节较前明显增大,处于进展状态(图3)。AFP由552ng/ml升至>1210ng/ml。
图3.2020年7月15日胸部和肝脏CT
二线治疗——局部治疗联合瑞戈非尼 卡瑞利珠单抗
患者病情进展,且出现不良反应。2020年7月16日更换瑞戈非尼160mg联合卡瑞利珠单抗200mg(3W)二线治疗方案。
2020年8月6日(瑞戈非尼 卡瑞利珠单抗,1个疗程),胸部CT示,肺部病灶较前明显好转(图4)。AFP由>1210ng/ml降至579ng/ml。
图4.2020年8月6日胸部CT
2020年8月7日行第3次TACE治疗。
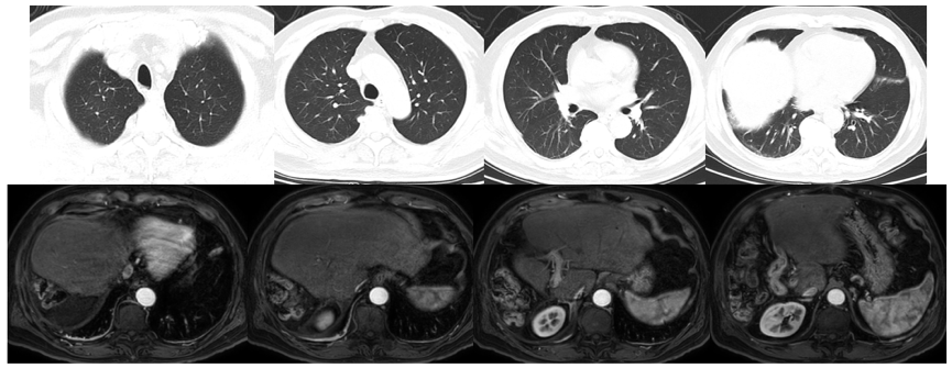
2020年10月22日(3次TACE 瑞戈非尼 卡瑞利珠单抗4个疗程),复查腹部和胸部CT示,肝脏部位碘油沉积良好,病灶趋于缩小状态,肺部病灶基本消失(图5)。AFP由53ng/ml降至4.5ng/ml。疗效评价为部分缓解(PR)。
图5.2020年10月22日胸部和腹部CT
手术 术后瑞戈非尼联合卡瑞利珠单抗持续治疗
经多学科讨论,于2020年11月4日行肝癌根治术,肝癌转化治疗后标本,肿瘤大部分坏死,仅见小灶退变的异型细胞,淋巴细胞浸润,组织细胞反应,含铁血黄素沉积,符合TRG分级=1级(中等退缩);肝切缘未见累及。
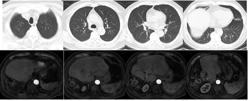
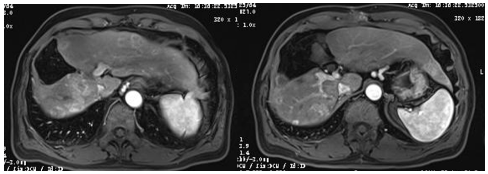
2021年3月3日(根治术后4个月,瑞戈非尼 卡瑞利珠单抗持续治疗)复查CT示,肺部病灶消失,未发现新生病灶;复查MR示,肝脏残留病灶切除后未见明确新发病灶(图6)。AFP正常,疗效评价达到完全缓解(CR)。
图6.2021年3月3日复查CT及MR
2021年11月4日(根治术后1年,瑞戈非尼 卡瑞利珠单抗持续治疗)复查CT及MR示,肺部无明显病灶,肝脏无明确新发病灶(图7)。AFP正常。至今,持续缓解超20个月。
图7.2021年11月4日复查CT及MR
医学博士,主任医师,硕士生导师
美国南加州大学访问学者
江苏省医学会介入分会青年委员
江苏省研究型医院肝胆精准治疗专委会委员
江苏省第四期和第五期省333高层次人才工程培养对象
苏州大学首批“东吴名医培养对象”
江苏省青年医学人才
常州市“831工程”培养对象
常州市青年医学创新人才培养对象
病例讲课视频
患者一般情况
患者男,61岁,乙型肝炎病史20余年。2020年8月初超声肝占位,MRI考虑HCC伴门静脉右前支癌栓。2020年8月19日外院行肝癌根治术,术后病理:肝细胞癌,粗梁型,结节性肝硬化。2020年9月17日外院行TACE。2020年11月20日我院MR:肝癌术后肝内多发转移(图1)。2022年11月25日AFP为354.6ng/ml。
图1.2020年11月20日MR
局部治疗
2020年11月27日行第1次经导管肝动脉化疗栓塞(TACE)治疗(图2)。
图2.2020年11月27日第一次TACE
2020年12月2日即第1次TACE术后5天复查AFP为156.3ng/ml。2021年1月11日腹部CT提示,左侧肾上腺病灶较2020年11月26日明显增大,考虑转移(图3);2021年1月11日AFP明显升高为303.4ng/ml。
图3.2020年11月26日与2021年1月11日CT
2021年1月12日行第2次TACE治疗(图4)。后针对左侧肾上腺行局部放射治疗。2021年1月18日即第2次TACE术后6天AFP为165.8ng/ml。
图4.2021年1月12日第2次TACE治疗
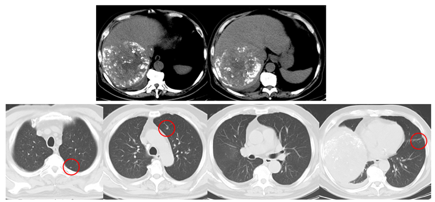
2021年3月8日复查AFP为>1210ng/ml;2021年3月8日复查CT提示,双肺转移双侧肾上腺转移;左侧肾上腺较前变小,但右侧肾上腺明显增大;右侧髂骨转移(图5)。
图5.2021年3月8日复查CT
一线治疗——局部治疗联合仑伐替尼 信迪利单抗
患者全身转移,为Ⅳ期晚期肝癌。2021年3月10日行第3次介入治疗(图6)。2021年3月15日即第3次TACE术后5天AFP为1173ng/ml。
图6.2021年3月10日行第3次介入治疗
2021年3月16日开始口服仑伐替尼8mg,每天一次;2021年3月17日信迪利单抗200mg,三周方案。右髂骨病灶行放射治疗。
2021年4月29日、2021年6月11日、2021年7月2日、2021年8月16日和2021年9月6日复查AFP分别为242ng/ml、11.93ng/ml、16.62ng/ml、52.61ng/ml和142.1ng/ml。2021年9月7日复查CT示,肺部病灶基本消失,双侧肾上腺病灶明显缩小(图7)。
图7.2021年9月7日复查CT
二线治疗——瑞戈非尼联合信迪利单抗
2021年9月27日AFP为396ng/ml,疾病进展。2021年9月28日口服瑞戈非尼80mg,每天一次,口服三周,停一周;继续信迪利单抗200mg,三周方案治疗。
2021年10月18日AFP为443.9ng/ml。2021年10月20日复查CT示,肾上腺病灶较前明显增大,髂骨病灶缩小(图8)。
图8.2021年10月20日复查CT
2021年11月8日、2021年11月29日和2021年12月20日复查AFP分别为421.3ng/ml、255.5ng/ml和286.3ng/ml。
2021年12月20日复查CT示,右侧肾上腺病灶明显缩小,髂骨病灶也进一步缩小(图9)。
图9.2021年12月20日复查CT
2022年1月18日复查MR提示,肝左叶基本看不到明显的活性病灶,较2020年11月MR明显好转(图10)。
图10.2022年1月18日复查MR
2022年2月8日复查CT提示,肺部病灶基本消失(图11),肾上腺病灶明显缩小,髂骨病灶进一步退缩(图12)。2022年2月9日AFP为411ng/ml。
图11.2022年2月8日复查胸部CT
图12.2022年2月8日复查CT
不良反应:手足皮肤反应。
常州市第一人民医院介入放射科主任
江苏省介入医学分会疼痛学组副组长
江苏省抗癌协会肿瘤介入诊疗专委会副主任委员
常州市医学会介入医学分会主任委员
常州市医师协会介入医师分会主任委员
上海市抗癌协会肿瘤微创治疗专委会委员
病例点评视频
此次分享的第一例患者是一例伴门脉癌栓的巨块型肝癌,Ⅲa期。行常规TACE治疗后,口服索拉非尼治疗,该病例的处理原则是正确的。第1次TACE治疗后复查,肺部出现了小的转移灶,CNLC分期转为Ⅲb期,给予TACE及索拉非尼治疗1.5个月后疾病快速进展,二线治疗果断换用瑞戈非尼联合PD-1抑制剂方案;后经第3次TACE治疗后,肿瘤标志物AFP不断下降,肺转移灶消失。经MDT讨论后,成功进行根治切除术。术后病理证实肿瘤大部分坏死,仅见小灶退变的异型细胞,后采用瑞戈非尼联合PD-1抑制剂持续治疗。该病例提示,在临床诊疗中,若疾病出现进展应及时更换治疗药物。该患者即是在一线靶向治疗进展后果断更换二线靶向药物瑞戈非尼,从而为患者争取到了手术的机会,评效也从PR达到CR,且在术后一年复查时仍然保持无瘤状态,为患者带来良好生存获益。
第二个病例是一例肝癌术后复发患者,术后3月复查发现肝内多发转移,AFP明显升高。经TACE治疗后复查发现左侧肾上腺转移,继续行TACE治疗外,针对肾上腺肿瘤行放射性治疗;后续AFP升高后,CT提示肺部和右侧髂骨转移,采用TACE治疗的同时,给予仑伐替尼联合PD-1抑制剂治疗,6个月后疾病再次进展。二线治疗将既往方案中的靶向药物更换为瑞戈非尼,结合TACE治疗取得了令人比较满意的效果。但该病例治疗中,可能一线治疗和二线治疗更换药物的时机均偏晚,个人认为,该病例在出现肾上腺转移时即应采用一线方案仑伐替尼联合治疗方案。但总体而言,该病例的治疗获得了较好的治疗效果。
这两例病例的诊疗也为我们带来了一些启示与思考。首先,在肝癌临床治疗中应把握更换治疗药物的时机,当疾病进展时应及时更换治疗方案。第一个病例中出现肺部转移时及时予以索拉非尼一线治疗,再次进展后,及时更换二线瑞戈非尼联合PD-1抑制剂方案。此外,RESORCE研究[1]奠定了瑞戈非尼作为肝癌二线靶向治疗标准的基础,该研究结果显示,对于既往能耐受索拉非尼且治疗后进展,肝功能Child-Pugh A级肝癌患者,瑞戈非尼组中位OS达到10.6个月,较对照组显著延长2.8个月,死亡风险显著降低37%。探索性分析显示,晚期肝癌患者一线接受索拉非尼治疗,进展后使用瑞戈非尼的患者中位OS长达26个月[2],该结果也获得全球多项真实世界研究验证[3,4]。
一线索拉非尼治疗进展后,瑞戈非尼可作为标准的二线治疗选择;那么,对于仑伐替尼耐药后的二线治疗应如何选择?既往研究显示[5,6],FGFR通路与EGFR通路之间存在下游分子的Cross-talk,仑伐替尼对FGFR通路的抑制导致EGFR通路的反馈性激活,导致仑伐替尼耐药;而瑞戈非尼作用靶点丰富,其中就包括EGFR通路,从而阻断仑伐替尼耐药的Cross-talk,达到抑制肿瘤增长的效果,打破耐药。因此,一线仑伐替尼治疗进展后,选择瑞戈非尼作为二线治疗药物是具有理论依据的。
综合而言,现阶段中晚期肝癌的治疗提倡以TACE为基础的综合治疗策略,以期为众多肝癌患者带来更好的生存获益。
[1] Bruix J, Qin SK, Merle P, et al. Regorafenib for patients with hepatocellular carcinoma who progressed on sorafenib treatment (RESORCE): a randomised, double-blind, placebo-controlled, phase 3 trial [J]. Lancet, 2017;389(10064):56-66.
[2] Finn RS, Merle P, Granito A, et al. Outcomes of sequential treatment with sorafenib followed by regorafenib for HCC: Additional analyses from the phase III RESORCE trial [J]. J Hepatol 2018, 69(2):353-358.
[3] Ogasawara S, Ooka Y, Itokawa N, et al. Sequential therapy with sorafenib and regorafenib for advanced hepatocellular carcinoma: a multicenter retrospective study in Japan. Invest New Drugs,2020;38(1):172-180.
[4] Castaño-García A, Florez P, Mesa A, et al. Analysis of efficacy and safety in a real-life cohort of hepatocellular carcinoma treated with sorafenib-regorafenib. Presented at: 2019 ILCA Annual Conference; September 20-22, 2019; Chicago, IL. Abstract P-067.
[5]Jin H, Shi Y, Lv Y, et al. EGFR activation limits the response of liver cancer to lenvatinib. Nature. 2021;595(7869):730-734.
[6]Martorana A, La Monica G, Lauria A. Quinoline-Based Molecules Targeting c-Met, EGF, and VEGF Receptors and the Proteins Involved in Related Carcinogenic Pathways. Molecules. 2020;25(18):4279.
排版编辑:H.K
收藏
回复(1)参与评论
评论列表






