红斑狼疮的牙齿“守门员”
如果说到人体最有“力气”,我猜牙齿可以上榜了。牙齿可以说是人体最硬的,除了担负咀嚼,切咬之外保持面部外型和发音。但太多人还是忽视了它,除了缝缝补补牙齿价格贵,不得不说真的一副牙一副首付。而且觉得牙齿不痛,就不管了,心理惧怕去牙科,相信有的病友因为吃激素,牙齿掉了这个问题吧。没错我也这几年开始去关注我的牙齿,以前吃大量激素的时候,左边5号牙齿掉了一半。那时家里也不注重,加上自己年纪十几岁没工作没收入没啥主见,就没去弄(从此丢失了牙根的功能。)如果那时趁着牙神经可以,马上弄个牙冠。一两千的事,就不用现在几千块钱,或者一万去种牙镶牙了。随后右边也是这样,因为那个大牙长歪了,平时那个地方刷牙不到位,就蛀了。目前我的情况2个蛀牙没法补,因为牙根不行了得拔出,其中一个多生牙,没用的得拔出。上下一共三个智齿。期间我已经补牙八九个了,😂。 

洗牙
我补牙差已经补完了,目前没看到有,在这里我建议大家第一次初诊,拍个牙片,洗牙,洗牙是医生评估,觉得有牙结石,就去把牙齿洗干净(这里的洗牙不是把牙齿洗白,白到发光那种,因为牙齿本来就是淡黄色,才是健康的,)不要追求美白去做烤瓷牙贴边,这样是磨损了自己的好牙。以后后悔的。把牙齿的牙结石洗出来了,更看的清楚你的蛀牙面积,洗牙收费是根据牙结石严重程度收费,随后选择抛光,喷砂。我今天刚洗了,我看帖子,看到一些人说洗牙很多血,很痛苦,一直害怕去,今天鼓起勇气去,其实。还好,牙齿不是很脏,洗起来不错。洗完觉得牙齿附着的牙菌斑都没了,还有一些垢。收费150里面内含抛光了洗完以后觉得发酸发软,是正常了,过几天就好了。发现牙缝大了,那是医生把结石清出去,这是你正常的牙缝。不是故意这样。期间别吃硬的东西,可以刷牙用抗敏感牙膏。
补牙
补牙,根据材料收费,价格有贵有便宜。有的分地方出厂收费。根据你的经济情况去选择吧,我补了几个,选择了200.300.350都有。关于蛀牙,我推荐大家去买能看牙齿的反光镜子,这样在家的时候都可以看到自己的情况。
如果大家脸熟我的话,前两篇文章我也说过。如果大家想去看牙,选择一家比较好的诊所或者医院,初步了解一下自己的情况,和医生沟通。订个初步治疗方案。价格,如果觉得不妥,可以再问问其他,牙齿问题千万别以小拖大。一定得向医生说明病历史,药物史。如果需要调药,得向免疫科医生说。多问问不会吃亏的。


人一生只能换两次牙,有些牙齿只有一次。有些口臭,肠胃不好,炎症,可能也是牙齿蛀牙,存在细菌聚集导致的,希望大家能保护自己的牙齿,吃嘛嘛香。

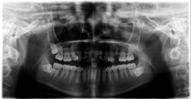
智齿
智齿是牙齿的8号牙,随着人类的进化,有些人存在智齿,有些人很幸运没有。智齿如果长歪,顶着隔壁正常的大牙,半萌生状态容易发炎,这种是是没有用的,得经过医生评估拔除。如果复杂类型的,得拍ct片评估具体位置。智齿的拔除是根据难度,和机器决定,太难的那种,得用超声骨刀。这是附加费。
拔牙
拔牙之前建议复诊一下,看一下自己的指标是否稳定,血小板,凝血功能是否正常。吃的药物,抗凝物,骨质疏松药物是否可以进行有创处理,可以吃啥消炎药,止痛药,有无药物过敏性,准备拔的时候,心情别太紧张,如果太紧张,可以使用笑气。
我本来想说一下镶牙和种牙,正畸。但我还没做这个,之后几个月,可能进行镶牙。到那时候,我在慢慢跟大家聊。
收藏
回复(8)举报
参与评论
评论列表
按投票顺序
我也是二十多岁才系统处理牙齿,虽然那段时间很难熬,不过到现在确诊这个病后,还是很庆幸那时把口腔大部分问题都处理了,之后也会有新的口腔问题,不过修修补补就可以了
举报
2022-02-16 18:49:03 有用(0)
回复(1)
期待后续,我也很怕牙齿出问题
举报
2022-02-16 16:51:50 有用(0)
回复(1)
假扮的天使我喜欢甜食,龋齿,一颗牙齿做个根管治疗就几千块。
实在是疼的受不了,牙齿要是生病了真难忍受。算是领教过了
举报
2022-02-16 22:06:39 有用(0)
回复(1)
呜哇牛腩涨知识了谢谢
举报
2022-02-16 17:03:06 有用(0)
回复(0)
相关推荐
热点推荐
暂无数据






