肺癌患者PD-L1神奇消失,治疗一波三折最终痊愈
自2015年FDA批准免疫检查点药物用于治疗非小细胞肺癌,无数患者的生存期得到了极大的延长。然而,对PD-1/PD-L1产生反应的患者仅有20%,另八成患者在免疫治疗中并无获益。听说过免疫治疗PD-L1阴性或阳性,听说过PD-L1表达消失吗?今天小编就分享一个曲折的案例。
我们知道,免疫检查点抑制剂的广泛应用,不仅在无进展生存期(PFS)中产生了积极成果,而且在总生存期(OS)中也产生了巨大的收益。不同的预后因子当中,PD-L1表达量被广泛地接受作为伴随检查。多项研究表明PD-L1表达量(TPS评分)≥50%的患者会对免疫疗法产生更好的反应。【点击查看:肺癌免疫治疗用药如何选?】
然而,PD-L1并不是完全可靠的免疫反应标志物,某些情况下,PD-L1表达量≥1%的患者对免疫疗法也有良好的反应。此外,还有研究报道,PD-L1表达量高的患者,不仅对免疫疗法毫无反应,还有可能在治疗中出现疾病超进展(HPD)。
我们先回顾一下什么是“超进展”。不同于假性进展的肿瘤体积先增大后缩小,超进展是在免疫治疗过程中出现的肿瘤实打实地快速增大,通常被定义为:① 在免疫治疗后第一次评估或失败的时间<2个月;② 肿瘤体积增大>50%;③ 肿瘤增长速度增加>2倍。
为什么会出现免疫治疗加速肿瘤恶化的情况目前暂无定论,但经过一些调查分析,科学家合理地推测:一者可能是患者的个体差异所致,也就是有些患者尽管PD-L1表达阳性,但同时存在MDM2基因突变,因此更容易在免疫治疗中触发肿瘤超进展;二者是免疫治疗单抗药物不仅能影响杀伤性T细胞,也能影响免疫抑制性细胞(如Treg细胞),也就是说即便PD-L1表达阳性的患者,在接受免疫治疗激活抗癌力量的同时,也能激发免疫抑制,进而导致肿瘤超进展。


近日,《Medicine》杂志中的一篇文章报道了一个特殊的案例:患者PD-L1表达量100%,但接受免疫治疗后不仅出现超进展,PD-L1蛋白也消失了!接下来,我们一起看一下具体案例:
一名有着25年烟龄的66岁女性,曾患有甲状腺癌,并接受了全切手术,经放疗后痊愈。几年后,发现锁骨淋巴结肿大,经检查确诊为肺腺癌。进一步基因检测未发现驱动基因突变,因此开始接受同步放化疗,达到肿瘤全消并维持13个月未复发。
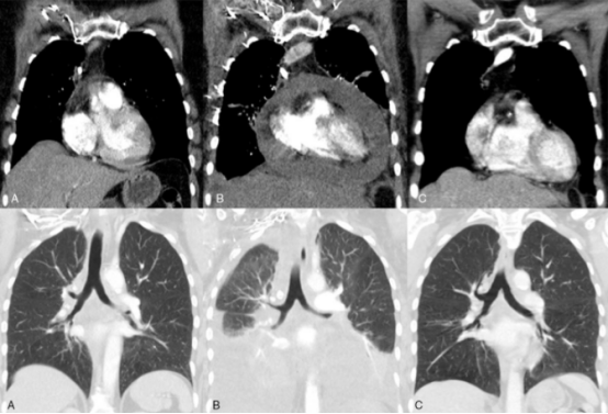
但命运似乎向这位两次患癌两次痊愈的人又开了个玩笑,在完全缓解13个月后肺癌复发并伴随脑转移。此时基因检测提示多种不明意义的基因突变(ERBB3、STK11、TP53等),此外,免疫组化结果显示PD-L1表达量为100%。因此进行脑部放疗和免疫治疗(PD-1抑制剂)。


A:免疫治疗前;B:免疫治疗发生超进展;C:挽救化疗后
2周后,患者因呼吸急促入院,影像学检查发现大量心包积液和胸腔积液。为什么PD-L1高表达的她在接受了免疫治疗后会出现了如此令人咋舌的疾病恶化?医务人员再一次检测了PD-L1的表达量,结果为……0%!
这位患者被评估为“超进展”,不得不停止了免疫治疗。紧接着,作为挽救方案,患者接受了卡铂 培美曲塞的化疗,3个周期后,患者停止治疗。虽然在化疗过程中出现了严重的憩室炎,但在抗生素配合治疗后,多次定期复查发现肿瘤消失,并维持无病状态长达20个月。


该患者治疗方案时间轴
纵观这位命途多舛的患者,从甲状腺癌到肺癌,从痊愈到脑转移,从无阳性驱动基因到不明突变,PD-L1从100%到消失,整个治疗过程虽然没有涉及很多疗法,但每一步都值得推敲。
文章中,作者特别分析了关于PD-L1的表达情况和免疫治疗出现超进展之间的关联。他指出,之所以免疫治疗失效甚至促进肿瘤发展,正是因为癌细胞的PD-L1表达丢失造成的。此前有报道,免疫耐药的3名非小细胞肺癌患者在接受免疫治疗后,PD-L1的表达量分别从75.6%、100%、98%降至13.2%、58.8%、1%。所以,PD-L1的表达丢失是一种癌细胞的逃逸机制,是一种可以理解的细胞进化策略。
另外,作者也注意到该患者的基因突变情况在免疫治疗前后发生的变化,因无阳性驱动基因而无法使用靶向药的患者,在PD-L1高表达的情况下接受免疫治疗是常规的诊疗思路。但出现超进展后,患者的STK11基因和TP53基因发生突变却并非偶然。
STK11基因突变后,会激活mTOR通路,促进癌细胞的增殖和转移,一般可选用mTOR抑制剂依维莫司进行治疗。但案例中的患者同时出现了TP53突变,而TP53是一种抑癌基因,它的异常会导致抑机体癌能力下降,进一步促进肿瘤的发生发展。因此,STK11/TP53共突变,极有可能逆转了PD-L1高表达对于免疫治疗的响应能力,也就是魔高一尺道高一丈,任凭PD-1抗体的靶点再多,也敌不过癌细胞的疯狂增殖。
好在医学评估的准确、治疗方案转换的及时,使基础化疗再一次挽救了这名非小细胞肺癌患者……因此,也就不难理解,PD-L1即使表达量为100%的患者,也会对免疫治疗无法响应的情况。
在临床诊疗过程中,PD-L1虽然作为免疫治疗的“金标准”之一,却不能作为唯一的用药获益预测指标,应该考虑患者的体格状况、基因突变情况等综合因素,并在治疗过程中对疾病进程做出及时、准确的评估,出现疾病进展果断地更换治疗方案。
癌症的发生发展涉及到许多复杂的生物机制,我们的科学家和医务工作者在科研和临床治疗的过程中,从未放弃过任何一种可能的尝试,争取每一次诊断、每一次用药都能做到精准、有效,因此,即使罹患癌症,也要相信医生,保持乐观的心态积极配合治疗,相信在不久的将来,对于癌症,我们虽难必诛!
相关资讯







