早期胃癌CT的诊断及价值
早期胃癌(early gastric cancer,EGC)定义为癌组织局限于黏膜内及黏膜下层的浸润性胃癌,不论病灶大小或有无淋巴结转移。EGC的影像学评价手段包括X线气钡双对比造影、CT、MRI及正电子发射断层成像(PET),本文主要介绍CT在EGC诊断和评估中的应用。
图片来源:摄图网
EGC的CT诊断
CT可通过断层图像评估EGC浸润深度、淋巴结转移以及肿瘤血管血供情况,是EGC治疗前评估的主要影像学手段之一。多数EGC肿瘤体积较小,胃壁厚度正常或轻度增厚,胃腔空虚状态下可能因被遮掩于扩张不良正常胃壁内而难以检出,故规范的检查前处置对于EGC的检出和诊断意义重大。
国际抗癌联盟UICC1987年公布的胃癌分期法写道:胃腔的充分扩张有助于胃癌CT分期。
检查前注射低张药物可以有效抑制胃肠蠕动,实现良好的胃腔充盈,有研究显示低张水充盈对 EGC 的检出效果优于非低张水充盈。因此,研究显示推荐使用低张气充盈作为EGC的常规检查手段。
CT扫描是评估胃癌病变及周围组织器官转移浸润的主要影像学方法。胃肠道属空腔器官,空虚状态下胃壁较厚,形态差异较大,影像学对病变与周围组织与器官的关系评估较为困难。采用液体充盈胃腔增加胃壁张力是改善胃壁显影效果的有效方法,泛影葡胺水溶液是最常采用的充盈液体,CT扫描时能够有效区分胃肠道与周围组织。
图片来源:摄图网
扫描时的规范应用
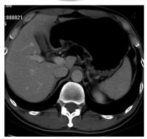
主要强调增强时相和多平面重组技术。动脉晚期(40 s)增强有助于肿瘤胃壁的充分强化(如图1),多期增强则有助于显示分层强化特征,通过上述技术联合加上显示率微调,可有效提高T分期的准确率。
胃癌是源自胃黏膜上皮的恶性肿瘤,占全部恶性肿瘤的第3位。最常见的发病部位在胃窦部,尤其是胃窦部的小弯侧,即我们常见的胃窦癌。其次在胃食管结合部,即我们常见的贲门癌。
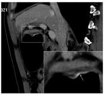
胃食管结合部癌发病率一直呈上升趋势,胃窦部癌发病率呈下降趋势。但总体而言,发病率排名第一的好发部位还是在胃窦部。而EGC 好发于胃角,此位置肿瘤往往平行于轴位图像,可能受部分容积效应影响无法在轴位清晰显示,结合冠状和矢状位后可以较好地解决这一问题(图2、3)。
CT增强扫描在EGC中的应用价值
事实上,多层螺旋CT扫描难以清晰显示部分胃壁层次,单层结构影像表现影像临床分期,增强扫描后淋巴结肿大会异常强化,不易与其他原因所致的淋巴结肿大区分,且图像后处理技术影响成像质量,组织特异性低,对已发现的病灶不能进行组织病理检查,也无法显示黏膜的颜色和细节,进而导致灵敏度、特异度、准确度较低,但隆起型EGC检出率较高,且轴位结合MPR诊断准确率较高。
传统的诊断主要依靠钡餐及胃镜的检查,虽然能观察到围墙内的病变,但无法观察到壁内及壁外生长的肿瘤。更为重要的是胃镜不能了解胃癌对周围组织器官是否侵犯,以及有无其他脏器、淋巴结的转移和种植。
近年来,随着影像学技术手段的进步和诊断经验的总结,不断丰富着EGC的检出和诊断水平,相信未来在治疗效率上会有很可观的效果。
顾茵茵, 殷海燕 . 低张水充盈与普通水充盈对胃癌 MSCT 诊断的对照分析[J]. 影像研究与医学应用, 2019, 3(5): 105-106.
DOI:10.19538/j.cjps.issn1005-2208.2019.05.07 李佳铮,唐 磊
双源CT在EGC诊断中的应用价值. 2016.03.01 张永星
封面图片来源:摄图网正版图库
责任编辑:胃癌康复君
相关资讯







