放个大招!一图搞定肿瘤靶向治疗的不良反应
肿瘤分子靶向治疗:
针对特定基因开发的、能够识别肿瘤细胞特有的基因变异,通过药物的特异性阻断肿瘤中控制细胞生长、增殖的信号传导通路,从而杀灭肿瘤细胞,这种治疗方法称为肿瘤分子靶向治疗。
靶向药物的不良反应总体上是可预期和可控的,然而靶向药物的毒副作用与传统的化疗放疗的本质有所不同,这些毒副作用需要被理解、识别,尽可能地管理。
图1 信号传导抑制剂的毒副作用
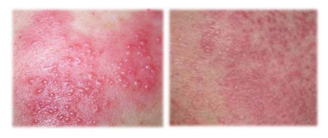
皮肤相关不良反应
皮肤上显示的副作用主要是因为抑制EGFR、RAS/RAF/ERK、PI3K/AKT/mTOR或VEGFR的靶点疗法引起。
这些和剂量有关的副作用会导致皮肤发炎,皮肤破裂,皮肤附加物病变(如甲沟炎)等等。
皮肤毒性是EGFR抑制剂最常见的不良反应之一(点击阅读:EGFR-TKIS的皮肤毒性以及处理),发生率约为79%~88%,多表现为痤疮样皮疹、皮肤干燥瘙痒或甲沟炎。
皮肤毒性同样发生于V靶点药物上,如舒尼替尼和索拉非尼,多表现为皮肤脱屑、斑丘疹或水疱疹,还会导致皮肤或头发出现不同程度的脱色素改变。主要分布于躯干或四肢,发生率为19%~40%。
处理方法:
推荐治疗包括皮质激素、四环素、甲硝唑和皮肤保湿剂等。
表1 皮肤副作用和处理
2
出血和血栓栓塞事件
出血/血栓栓塞的事故发生的危险与VEGF通路上靶点的多少成正比。
处理方法:
所有接受VEGF抑制剂的病人都应监测凝血功能以尽早发现出血倾向;使用华法林或其他抗凝药物可能能减少贝伐单抗相关的血栓事件,但是也增加了出血的风险。阿司匹林对有较低血栓栓塞危险的病人有一定的效果。
表2 血栓副作用和处理
3
高血压
高血压是血管内皮生长因子(VEGF)抑制剂常见的不良反应,比如阿瓦斯丁、阿柏西普、索拉非尼、舒尼替尼、瑞格非尼。
各项临床试验中观察到的高血压发生率约为30%。比较少见但较严重的问题包括可逆性后脑病综合症(现象为出现头痛,视觉出现变化,血压超高,或出现癫痫发作等)。
另一个出现的与高血压相关的问题是血栓性微血管病,表现为肾功能退化、蛋白尿、溶血性贫血和血小板减少。这些问题都在停药后消失。
处理方法:
定期监测血压情况、使用钙离子拮抗剂控制血压、配合服用降压药。如果上述方法都失效,应终止抗血管生成药物的使用。
4
心脏毒性
靶向药物导致的心脏毒性主要包括Q⁃T间期延长、心肌缺血/心肌梗死、左心室功能障碍/左室射血分数(LVEF)下降、慢性心力衰竭等。
处理方法:
治疗时监测心电图、LVEF及心肌损伤标志物,必要时给予营养心肌药物。
表3 心脏毒性副作用和处理
5
胃肠道不良反应
腹泻和黏膜炎是靶向治疗常见的不良反应之一,口腔黏膜炎的症状包括疼痛、吞咽困难、发音障碍等,胃肠道黏膜炎常常表现为腹痛、腹胀或腹泻等症状。
处理方法:
使用洛哌丁胺(易蒙停)、苯乙哌啶/阿托品,监控电解质。使用糖皮质激素、抗生素和地塞米松。
表4 胃肠道副作用和处理
相关资讯







