术后两年半就肝转移,一个选择让我存活至今十几年!
时光荏苒,回首从前。一个选择,改变生存预后;一场博弈,创造临床奇迹。
十年前,解放军联勤保障部队第九OO医院肿瘤科陈曦主任接诊了一位乳腺癌肝转移的患者陈姐,并推荐其入组临床试验。
故事就这样开始了……
十年前
治疗用药遇难题,医患双双苦难医
乳腺癌患者陈姐
2007年确诊浸润性导管癌
很早以前,我在门诊做过一次手术,检查结果是纤维瘤,每年定期复查就好。那时年轻,想着纤维瘤没什么大问题,便也不放心上。10年过去,也就是2007年,一次洗澡时我发现纤维瘤似乎变大了,而且还会移动。当下觉得似乎不对劲,紧接着我就赶紧预约了检查,主任一看检查报告说:“报告显示的结果不太好,估计你要住院看看。"

(2007年乳腺MRI增强结果显示,右乳内3个结节影,考虑乳腺癌)
听到医生的宣判,一丝害怕涌上心头,赶忙回家与家人商量对策。切还是不切?尽管这是一个难题,但当时儿子才上四年级,我也不考虑二胎,医生建议行乳房切除术时我也没有考虑太多。一时之间,我便从一个健康完整的女人变为右乳全切的乳腺癌患者。病理结果显示,浸润性乳腺癌,ER、PR、HER-2都是阳性,按照医生的方案需要进行化疗、内分泌治疗和靶向治疗。
在2007年那个时候,进口靶向药赫赛汀一年下来得二三十万,这个费用在当时可以买一两套房。面对这样的高昂药费,老公毫不犹豫地告诉我:“别担心,只要能救你就算卖房也要治!”听到老公的话,心中满是感动,但权衡多方因素之后,我还是选择放弃靶向治疗。
很快,化疗的魔爪开始朝我伸来。原本留着一头长发的我,实在受不了化疗后变得稀稀拉拉的头发,一头扎进理发店,告诉理发师全部剃光。理发师一脸不解:”你干嘛要理光?你确定吗?“
当时我也没有告诉他实情,只是一句”太热了“应付过去。化疗结束后,开始每天吃一粒内分泌治疗药物。
本以为就这样相安无事度过接下来的日子,谁知天有不测风云,2010年,在治疗的两年半后我被确诊为乳腺癌肝转移......
如今肿瘤治疗已经进入精准时代,精准时代首先有精准的理念,第二是有精准的靶点,第三是有精准的药物。在十几年前,乳腺癌是实体瘤当中较早找到驱动基因,应用精准靶向药物进行精准治疗的,也就是抗HER-2治疗。
抗HER-2治疗对于HER-2阳性乳腺癌患者来说,意义重大。一方面HER-2是肿瘤发展过程中一个十分重要的驱动基因,另一方面如果没有进行抗HER-2治疗,很容易导致疾病复发转移。
在以前,我们的靶向药物十分单一,比如抗HER2靶向治疗仅仅有曲妥珠单抗(赫赛汀)一个药物。当时的赫赛汀价格非常昂贵,一年下来的费用大概在二十几万,在一线城市完全可以买套房,在小城市都可能买上两三套房。
正因为价格昂贵,面对用药决策时,患者常常陷入两难选择,绝大多数患者由于经济条件根本用不上赫赛汀。
如今针对HER2靶点的药物层出不穷,比如帕妥珠单抗、伊尼妥单抗、奈拉替尼、吡咯替尼,T-DM1,DS-8201等等,极大地改善HER2阳性乳腺癌患者的远期生存。
药品昂贵难可及,临床试验成转机
乳腺癌患者陈姐
2010年乳腺癌肝转移
2010年的一次复查,检查结果显示病灶转移到肝脏。拿着复查结果,我赶紧去找陈曦主任,看看接下来要怎么治疗。虽然刚刚面临肝转移,但我当时心里想着:“反正我啥也不懂,我只要把自己交给医生,相信医生就好!”

(2010年PET-CT显示:肝左外叶结节影,呈高代谢,考虑肿瘤转移。)
陈曦主任告诉我,她的医院正好有一个国产的、针对HER-2阳性转移性乳腺癌的靶向药物在做试验,让我考虑看看。抱着更加节省治疗支出的态度,在医生的建议下,我选择了国产靶向药物的临床试验,最后幸运地进入试验组进行用药。
用药第一个月后去医院评估,原本肝脏转移的病灶,经过化疗和靶向治疗后竟然不见了,效果特别明显。后来医生让我持续用药一年,这一年里每次评估都没有进展。
临床试验对于我来说,就是一次生死转机。不仅疗效显著,而且极大程度减轻了用药负担。
这位患者确诊肝转移后,面临着几种治疗选择,手术切除还是消融?单靶治疗还是双靶治疗?或者是否有其他的方案?
在过去,中国抗HER2治疗的药物选择十分有限,国内HER2阳性乳腺癌患者的治疗对进口药物依赖度比较高,有朝一日,中国患者能用上自己的抗HER2药物是我国医生、患者的共同梦想。
在这样的背景下,国家启动自主研发的抗HER2项目,其中赛普汀(伊尼妥单抗)是国家863计划、国家重大新药创制项目以及上海市重点科技攻关项目。

(解放军联勤保障部队第九OO医院在十几年前就符合开展临床试验的医院标准)
当时我们科室正好在开展国产药物赛普汀(伊尼妥单抗)的III期临床试验——HOPES临床试验在招募患者,我们向患者推荐了临床试验。
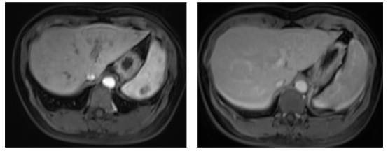
患者在2010年3月-11月,接受了伊尼妥单抗联合长春瑞滨治疗8周期后,采用伊尼妥单抗单药维持治疗4周期。结果评估显示:上腹部MR增强:肝内转移灶治疗后改变,无肿瘤活性;胸部增强CT及骨ECT均未见异常,患者后续随访,至今疾病无进展,可谓痊愈。

(2020-9-21上腹部MR增强:肝内转移灶治疗后改变,无肿瘤活性;胸部增强CT及骨ECT均未见异常。)
十年后
晚期患者可获益,临床药品已获批
HOPES临床试验是由我国江泽飞教授担任PI的一项随机对照、多中心、前瞻性Ⅲ期临床研究。评价赛普汀同步/序贯联合长春瑞滨对比长春瑞滨单药治疗HER2过度表达的转移性乳腺癌的疗效和安全性。
这项研究最终结果显示,伊尼妥单抗联合长春瑞滨治疗组显著延长患者的中位PFS,疾病进展风险下降76%,改善肿瘤客观缓解率。
这个结果也使我们对国产抗体药物带来了极度的信心!真为中国的生物治疗发展而自豪!同时,也为患者感到由衷的高兴,希望更多的患者能及时且规范的接受抗癌治疗,从而获得新生。

(陈曦主任接受乳腺癌互助圈采访时,表示希望晚期患者一定要坚持规范治疗)
2020年6月19日,伊尼妥单抗获得中国国家药品监督管理局批准上市,用于治疗HER2阳性转移性乳腺癌。10年过去了,当年的临床试验药物如今已正式获批上市。
伊尼妥单抗作为首个自主研发的、Fc段修饰和生产工艺优化的抗HER-2单抗,具有更强的ADCC效应。此外,伊尼妥单抗在2020年进入国家医保目录,费用低且药品可及。可见肿瘤创新药相比从前,无论是疗效还是可及性都有了长足的进步。
伊启新生创奇迹,十年获益赠锦旗
乳腺癌患者陈姐
临床试验获益十年
从2010年确诊肝转移,到入组临床试验开始,到今天已经十年了。如今我依然坚持内分泌维持治疗,每年复查一次,保持乐观积极的心态。治疗几年后,我就找了一个比较清闲的药店的工作,减少让自己胡思乱想的机会。

(现在的陈姐已经回归正常的工作和生活)
别人总问我:“抗癌这么久,可以算是一个临床奇迹了,你有哪些抗癌秘诀吗?”
我思考了很久,我想我的秘诀便是:好心态、好运气、好医生!幸运当年正好有适合我的临床试验,感恩陈曦主任一直以来的尽心尽责。

(怀着感恩的心,陈姐赠送陈曦主任一面锦旗,感谢多年的尽心照顾)
我常常和病友说一句话:“活着的每一天都是赚的”,而我因为临床试验又多赚了十多年,我相信我还会有很多个十年!
本文图片授权自觅友陈姐,未经允许不可转载
封面图片来源:摄图网
相关资讯







