在我们的身体中,大约有2-3万个基因组,其中抑癌基因P53绝对是一个令医学界“又爱又恨”的存在。
50%的癌症患者体内都存在P53突变[1],但一直未被攻克。随着医学研究的深入,对抗P53突变的疗法终于有了新进展。
01
“亦正亦邪”的基因组守护者
1.突变前的“正义者”
相信大家都知道,癌症的发生和发展与两种基因息息相关,一种是致癌基因,另一种是抑癌基因。
其中,抑癌基因是人体的健康卫士,一直在为保卫我们的健康不断奋斗。在众多的抑癌基因中,P53基因是癌症生物学中重要的蛋白质之一,通常被称之为“基因组的守护者”。
当DNA在外界的刺激下产生突变,有所“损伤”,P53就会对DNA进行修复,避免其带领其他细胞走向“歧途”成为癌细胞;若细胞被癌症基因控制,开始无节制的生长,P53就会诱导癌细胞死亡,可以说P53掌控着细胞的“生死大权”。
在肝癌中,P53基因能够限制肝纤维化以及上皮肿瘤细胞形成,为肝癌的治疗铺平道路。
2.突变后的“大反派”
很可惜,P53的队伍中也会出现“叛徒”。发生突变后的P53基因会导致细胞无法正常凋亡,无法修复受损的DNA,进而导致癌症的出现,这时的P53就成为了致癌的推手:不仅失去了抑癌的能力,还抑制了先天免疫系统消灭癌症,帮助癌细胞实现复发转移。
而研究显示,50%左右的癌症患者体内具有P53突变[1]。这样一位癌症界的“重量级选手”出现的高频突变,发生突变的位置还非常随机,会在任何位置出现任何形式的突变,随时可能导致癌症的出现。
所以针对P53基因突变的药物研发一直苦难重重,好在“功夫不负有心人”,有关P53基因突变的靶向治疗又出现了“曙光”。
02
拯救“不可成药”的基因守护者
“曙光”来自于美国癌症研究所的Steven A. Rosenberg等人的研究,他们使用靶向突变型P53的TCR-T治疗了1位晚期乳腺癌瘤患者,该患者获得了部分缓解(PR),肿瘤缩小了55%,缓解持续了6个月[2]。这一研究,使 P53突变的靶向治疗又有了新进展!
作为一个在癌症中已经失活的抑癌基因——P53突变,开发对症的靶向药物需要激活蛋白的活性。然而,激活蛋白的活性要比抑制蛋白活性难得多。
研究者们转变思路,只把突变的P53作为识别癌细胞的标志,用另外的手段来杀死癌细胞,以此绕过恢复P53功能这一研究难点。
先前已经有一些研究发现,一部分的P53突变体是可以被T细胞和抗体识别的,如R175H、Y220C和R248W突变体是具有免疫原性的[3]。研究者们决定利用这些P53突变体的免疫原性,使用免疫细胞来杀死癌细胞。
研究进行时
实验最初,对于实验患者的挑选就已煞费苦心:从最早招募的163名难治性晚期实体瘤患者到最后仅有12人符合条件接受了治疗,有2人部分缓解,分别持续了4个月和6个月。
但仅仅是对这些患者注入TIL也无法准确判断是这些P53靶向的T细胞还是其它T细胞起了治疗作用,实验还要继续...
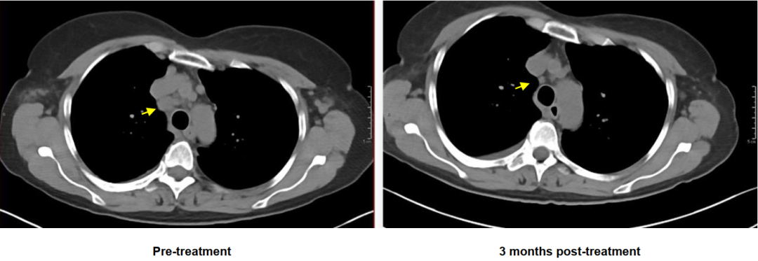
其中一位部分缓解患者三个月前后的治疗效果图
研究人员再次选取了一位符合条件的48岁晚期乳腺癌患者,使用她的外周血淋巴细胞,来制作靶向P53突变的TCR-T细胞。在接受治疗前,这位患者的病情十分危重,双侧乳房都被真菌样肿物侵蚀,还有左侧胸腔积液和心包填塞。
好在TCR-T的疗效令人惊喜。治疗后6周和14周时,靶病灶的肿瘤体积分别减少了37%和55%,心包、胸壁和皮下的肿瘤转移明显减少,所有可见的皮肤病变都在治疗后60天完全消失。
患者乳房上的肿瘤在治疗后消失[2]
令人遗憾的是,在持续缓解6个月后,她的肿瘤又因为白细胞抗原分子丢失而耐药导致复发。
不过研究人员也强调,目前的一个案例还不足以得出确切的结论,但已经展现出了TCR-T疗法在靶向P53突变上的潜力。
这项研究也让人看到了新的希望:TCR-T疗法在针对P53基因的突变中具有不错的疗效,“P53不可成药”的魔咒可能被打破。
03
“抗癌大突破”TCR-T疗法
P53基因突变实验中所使用的TCR-T疗法是近年来癌症治疗新手段的关注焦点,TCR-T技术,即T细胞受体(TCR)嵌合型T细胞技术。
我们都知道,人体的免疫防御机制主要依靠体内的白细胞军团,T细胞则为白细胞中的一份子,有着不可替代的作用,它们是人体里面的特种兵,一旦发现癌细胞,T细胞主动出击,杀灭敌人,因此,它也被称为“杀手T细胞”。
而T细胞识别、杀伤肿瘤,靠的是T细胞表面的抗原受体。在天然的T细胞中,表面的抗原受体就是TCR,它十分灵敏。研究显示,最少只要有3个TCR分子和癌细胞上的抗原结合,就可以激活T细胞的杀伤程序,杀死癌细胞[4]。TCR-T疗法就是根据这一原理, 将患者自身的T细胞单独提取出来,进行人工改造和修饰,并将其回输患者体内以杀死肿瘤细胞。
(TCR-T疗法过程)图源网络
TCR-T技术的目的是让自身的杀手T细胞识别能力更强。因为癌症患者体内的T细胞对肿瘤相关抗原的识别能力较弱,现在通过基因修改的方式增强识别力,从而使T细胞攻击肿瘤细胞,达到治疗肿瘤的效果。
这也就是说,利用这一项技术,让P53的突变体能够更快、更直接的被T细胞所识别出来,进而达到杀死癌细胞、治疗突变的目的。
总结
目前研究还在继续,我们期待P53基因这个“两面派”被人类所征服,越来越多科学家能挖掘出P53基因优势的一面,战胜“邪恶”的一面,让患者们受益。一旦有新的研究进展,将会第一时间播报~






