肺腺无常规突变,免疫治疗3年分享我的经验

那年他刚过52,我不到23,暴风雨来了……

 

2019年5月23号晚上7点,在学校图书馆接到了我姐的电话,感觉异常,再追问一句,我姐控制不住情绪了,直接说出了那句,"咱爸确诊肺癌晚期了……"第二天早上六点,我再也控制不住自己了,把宿舍柜子里的衣服全部扔到上铺,挑了几件衣服胡乱塞进箱子里,买了票,内心只有一个念头——回家。还记得当时在飞机上,我前面坐了三位大妈,应该是在大连刚旅游完准备回家,在飞机上止不住的兴奋,不停挥舞着红色的丝巾在自拍,和我的心情形成了天翻地覆的反差,我抬头往斜上方一看,在她们的镜头里看到了我自己,肿着的眼,没洗的脸,果然,人类的悲欢并不相通。

 

5月24号病理结果出来了,低分化腺癌,CK7(+),TTF-1(-),NapsinA(+),P63(点状+)P40(-),本地的医生当即让做化疗,同时等待基因检测的结果,我们不满意这个方案,开始奔赴各大医院需求更好的治疗方案。


5月25号到6月10号,我和我姐夫走遍了郑州各大医院,从郑大一附院到河南省肿瘤医院,再到河南省人民医院,河南省胸科医院。上午挂号,中午坐医院的凳子上往后一仰就睡,下午接着挂号,晚再上打电话和临近生产的姐姐交代情况。


问诊了两天发现自己已经了解到各个治疗名词了,比如四大常规基因突变EGFR,ROS1,ALK,BRAF,比如免疫组化上的低分化代表什么含义,比如化疗就只是输液,而非我想象中的浑身插满管子,做一些可怕的操作……毕竟咱以前根本一点不了解任何有关肿瘤方面的知识。问诊期间经介绍认识了之后一直以来主导我爸方案的医生,就是那位放疗科最帅的医生(他是我家当地的医生,后面都简称为我家医生),当时我们做了一个常规的四大基因检测遗憾的是并没有常见突变,他觉得我们的情况很适合一个临床试验,便介绍我们去郑州了解情况。就这样开启了我们进组开启了一线的治疗方案:贝伐+紫杉醇+卡铂。


确诊后第一次的治疗无疑是艰难又最容易出错的,在第一次基因检测结果中我们的PDL1表达率有90%,郑州那边医生可能怕我们知道这个结果会直接出组,在用完药后才告知结果。我想如果当时我能早点知道PDL1表达率一线治疗不会选择副作用如此大的双药化疗加抗血管生成药。治疗效果是很明显的,副作用也是相当大的,进展也是如此之快……

 

 

一线治疗整整四个月,10月16号被郑州医生告知进展时,我当即给我家医生打了电话,他知道情况后,直接问我,你考虑不考虑PD1,这句话在我看来很燃很有魔力,因为他对免疫治疗颇有研究,而我在一线治疗期间在了解到我们是高表达后也一直在了解免疫治疗相关的情况,早已做好免疫治疗的准备,于是我们的二线治疗开始了...

 

在免疫治疗中间我们也经历了缓慢进展,我们选择了穿插化疗复敏PD1,整个免疫治疗期间,王爸爸与正常人无异(这里必须说一点,我一开始是那种特别爱盯着肿瘤尺寸的,历经三年治疗后,才渐渐明白,体感才是最重要的,治疗是手段,体感才是目的)。就这样一直到了2020年12月2号,复查显示右肺转移灶有不同程度进展,它再次醒来了,这一次我很慌。我家医生看出了我的焦虑,他是个特别耐心,谦虚,专业能力又特别强的医生。他也明白,我们这种三线小城市,医疗资源,医疗条件是有欠缺的,应该与其他医院医生多做沟通,交流。他支持我们家属去寻求治疗经验,做更好的选择。于是,他给我推荐了郑大一附院放疗科的主任,郑州五院的一位放疗科医生以及省肿瘤医院的一位肿瘤科医生,让我去听听他们的意见,我也明白我家医生希望交换更多的想法。我问我家医生,那我该怎么咨询他们,问哪些问题呢,于是有了下面的问题。我坐了高铁去郑州,路上整理了上面这些治疗经过的表格……

 

 

我先去见了郑大一附院的李主任,我家医生告诉我李主任是位博学的医生,人也特别开朗。李主任拿到片子,指着给身边的医生看,这里...这里...看完后,他说,姑娘,你去挂几个肿瘤科医生的号,让他们给方案,给出方案后,你拿来给我看,让肿瘤科医生先上,放疗暂时不考虑,排除免疫性肺炎,我认为是进展。

也就是在这次去郑州的寻医过程中,我遇到了晶晶医生,晶晶医生给出了白紫+安罗替尼+PD1的方案。我又折回去告知郑大一附院的李主任新方案,他说,你挂了晶晶的号啊,我们都特别熟悉,她可厉害着呢,这方案可以的。(李主任已帮我排除掉其他几位医生给的方案,我觉得在这里可以看出他们治疗的思路,放疗科医生最忌讳只顾局部治疗而不顾全身治疗,在身体条件允许可以选择全身治疗的时候,首选全身,联合局部治疗)他又对我说:"姑娘,回去吧,用两个周期再过来找我看片子。"就是在这次,我与李主任握了手,感受到他们身为医生全方位考虑,温暖坚定的力量。

 

回家后,我把郑州医生的治疗意见告与我家医生听,我家医生比较担心白紫的副作用,我们决定先穿刺,再次做基因检测,穿刺时我家医生亲自去看ct引导,此时距离上次拍ct15天,但可以看到已有进展,肺部云雾状的东西增多了,我们立即决定开始吃安罗替尼。并在下个周期开始用上白紫。期间我们第二次做的基因检测结果出来了,这一次做的全套检测仍然无常规基因突变,KRAS G12V突变丰度25.24% TP53突变,肿瘤突变负荷(TMB)4.7muts/Mb 较低微卫星稳定型(MSS),PDL1表达率60%,仍然是高表达,这也给我了我们些继续用PD1的信心。

 

 

 

在准备用白紫前,我家医生告诉我说,最近医院有做白紫和抗血管生成药联用PD1的研究,有几位患者用,效果相当不错呢,白紫亲和力比较强,就是骨髓抑制比较厉害,我们用的时候要多关注血象。于是,我们又开始了三线治疗,治疗两次后,复查评估肺部病灶缩小80%,我家医生笑着说,看来,肿瘤现在又休眠了啊。后续一直SD,很幸运这个方案一直维持到了2022年。但是从2021年10月份,体感上又有了细微的变化,爸爸开始了咳嗽。可能它早已经开始慢慢不安分了吧……

 

 

2022年2月7号,ct显示右侧胸腔见少量积液影,肺部有炎症,我家主治医生认为像是有进展的迹象。我去郑州见了放疗科医生、肿瘤科医生、呼吸科医生,一致意见是炎症,不除外免疫性相关肺炎的可能。和放疗科主任商讨后,我们决定暂停免疫治疗,当时他说,让他好好休养身体吧,什么药都不要用,春暖花开,去做想做的事吧。我沉浸在这番话中,放下了戒备,甚至开始幻想。(在这儿有血泪的教训,家人们,要相信最了解病人病情医生的判断,并不是其他医生给的意见不对,而是把握良机啊,治疗中,时机非常重要,错过那个时机,治疗效果可能完全不一样

 

2022年3月28号,停药失败了,免疫性相关肺炎也可以排除了。肿瘤标志物之前从来都是正常的,现也成倍增高。ct上,右侧大量的胸腔积液,右肺大面积的炎症伴肺实变。每多看一次,我的心就扎一次。我明白,这次是个大坎。我立马去郑大一附院挂号,当时有几位医生已明确的告诉我,再用药也不一定会有你想要的效果,只能是尝试,甚至有医生直接告诉我一个月的生存期。

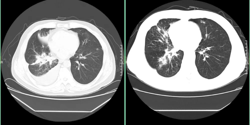
下面是我截的对比图,左侧是当时最严重时的片子

 

 

我多方寻找,最终找到了晶晶医生的联系方式,她告诉我,第一,病人现在身体不像以前能耐受双药的化疗,可以用单药的化疗,比如吉西他滨,我问,再次尝试白蛋白紫杉醇可以吗,她问,白紫停药多久了,我说一年,她说可以,停药一年,并且之前副作用可控,可以尝试。第二,再加个抗血管生成药吧,单药化疗我怕控制不住。第三,pd1先停停,肺部有炎症,再用pd1我怕加重病人的肺损伤。第四,治疗不影响我们做基因检测,有条件再穿刺一下,做基因检测吧。最后,现在情况不太乐观,你要有心理准备,因为病人现在已经是多线治疗,再用化疗药,我们也不确定他到底能不能起效。但是,你也不必太过担心,我们及时商量方案就好,你随时可以打我电话,如果我忙没接到的话,你给我发短信。 


你看,这一番对话下来,再大的问题也被拆解为小问题,再多的忧虑也被化解开来,那一晚,我没有做噩梦,睡的很安稳。

 

2022年5月16号,ct报告显示右肺下叶类结节较前缩小,右肺炎性改变伴局部肺实变较前缩小,右侧胸腔积液较前缩小,肿瘤标志物全部回归正常(泪奔...)我赶紧给晶晶医生发了短信,报了平安。

2022年6月6号,ct报告显示右肺下叶类结节较前继续缩小...肿瘤标志物都在正常范围内。

2022年6月19号,咳嗽、气喘明显缓解,食欲增加。


咳嗽了半年多,再次久违了19年、20年的体感,我心甚慰。(不知怎么了,现在说话老气横秋的,咱也老了吧)不敢说迈过这个大坎了,但是咱也可以稍稍放心些了,可以做些让自己开心的事了,旅游,投资自己,谈谈恋爱,畅想一下未来...


三年来,我家医生升任了主任医师,晶晶医生也升任为主任,并调去北京工作,为我们河南的医生点赞!我也从一个不谙世事的大学生,成为了一个社会上的打工人。彼此成长,彼此安好,人生也没那么糟糕,幸好有人情味儿。对了,我那一上铺乱七八糟的衣服,在我19年6月底回学校考试的时候,发现被我可爱的室友摆放的整整齐齐的,躺在我的小床上。


故事很长很多,今儿就到这儿吧。

 


参与评论

更多
图片验证码

评论列表

更多
按投票顺序
幸运的遇到了好医生,加油
举报
2022-06-22 15:29:16
有用(1)
回复(0)
好女儿,你爸爸真幸福
举报
2022-06-22 20:48:02
有用(1)
回复(2)
最后看完很想哭
举报
2022-06-22 16:33:12
有用(1)
回复(1)
医生联系方式可以分享么
举报
2022-06-22 12:57:12
有用(1)
回复(0)
你爸爸有你这个孝顺的女儿真的是福气,不屈不挠的精神值得我们学习
举报
2022-06-22 23:17:06
有用(1)
回复(0)
给力的医生,操心的家属,你爸爸能有你们还是很幸运的,会越来越好的!加油!
举报
2022-06-22 19:21:02
有用(1)
回复(1)
用心,靠谱,有能力,羡慕有你这么好的女儿。
举报
2025-05-15 23:12:26
有用(0)
回复(0)
爱心铸就幸运!
举报
2022-06-24 16:31:36
有用(0)
回复(0)
你很棒 祝好运常伴!
举报
2022-07-15 11:05:39
有用(0)
回复(0)
希望越来越好!
举报
2022-06-22 23:38:26
有用(0)
回复(0)
加油,要相信一切都会好起来的
举报
2022-06-22 15:34:40
有用(0)
回复(0)
你是个坚强的女孩
举报
2023-05-24 06:50:27
有用(0)
回复(0)
也是好幸运,遇到好医生。我父亲也是52早期手术了,现在也不知道该怎么搞,一直听的手术医生的建议。哎
举报
2022-06-24 17:53:11
有用(0)
回复(0)
妈妈19年11月确诊的,有幸来到这里,有幸从那个时候关注了你… 3年啊,时间过的真快…今天看到你的更新真的好开心,好像是见了一个好久不见的旧友… 三年,看到你写的叔叔各种经历,想到我妈妈肉眼可见的被疾病药物副作用折腾的的衰老,但还好,至少他们还好好的能陪着我们,这样就很好,真好
举报
2022-06-25 14:58:31
有用(0)
回复(1)
您好,是否可以把晶晶医生的姓名和医院告诉我一下,目前我家免疫耐药后进展,疫情原因没办法出去,想网上咨询,但不能私信您,求帮助!
举报
2022-11-20 00:12:56
有用(0)
回复(1)
以这种方式成长,真的很心酸,我也是52那年确诊的 ,孩子也是一下子就长大了,加油!
举报
2022-06-24 13:23:00
有用(0)
回复(1)
我爸现在也在郑大一附院治疗,请问你都找了那些医生?谢谢
举报
2022-08-07 23:21:18
有用(0)
回复(0)
加油,会好起来的
举报
2022-06-22 12:48:37
有用(0)
回复(0)
我们现在呼吸与睡眠科陈瑞英老师那里治疗
举报
2022-08-07 23:22:21
有用(0)
回复(0)
加油,
举报
2022-06-22 12:52:12
有用(0)
回复(0)
加油
举报
2022-06-22 17:08:32
有用(0)
回复(0)
你的医生很给力哦
举报
2022-06-22 12:59:33
有用(0)
回复(0)
真的很用心,继续向好。
举报
2022-06-23 13:44:50
有用(0)
回复(0)
成长的方式很多种,只要爸爸健康,一切都好。
举报
2022-06-24 13:42:32
有用(0)
回复(1)
郑大一附院的口碑很差,你能遇到不错的医生挺幸运的
举报
2022-06-25 16:45:30
有用(0)
回复(0)
真是个好孩子,你们很幸运碰到了好医生,加油!
举报
2022-06-24 22:56:28
有用(0)
回复(0)
加油加油
举报
2022-06-22 21:55:45
有用(0)
回复(0)
可以告诉我一下晶晶医生在哪个医院叫什么名字么,我也想去挂她的号
举报
2022-06-22 13:52:16
有用(0)
回复(0)
加油!
举报
2022-06-22 13:53:00
有用(0)
回复(0)
今天关注了你!小小年纪的你,真乐观!佩服
举报
2023-05-23 23:02:40
有用(0)
回复(0)
暂无数据