甲胎蛋白为阴性等于没有肝癌吗?

肝癌和甲胎蛋白的关系,有必要好好聊一聊。

1、什么是甲胎蛋白?

甲胎蛋白(AFP)是一种糖蛋白,正常情况下体内含量较少,这种蛋白主要来自正在发育肝细胞或肿瘤原始细胞。也可见于孕妇,胎儿出生约两周后AFP从血液中消失。AFP主要在胎儿肝中合成,在胎儿13周后逐渐升高, 出生时血浆中浓度为高峰期的1%左右,在周岁时接近成人水平。

2、那些病变可引起AFP升高?

在成人, AFP在大约80%的原发性肝癌(HCC)患者血清中升高,在生殖细胞肿瘤出现AFP阳

性率为50%。在其它肠胃管肿瘤如胰腺癌或肺癌及肝硬化等患者亦可出现不同程度的升高。因此,AFP升高可能是很多原因,包括肝癌,也可能是生殖细胞肿瘤或其他病变。但临床上也经常见到不明原因轻度升高的。

image.png

3、AFP不高,能除外肝癌吗?

答案:不能除外肝癌。上段中提到,80%的HCC中AFP可以升高,还有一部分HCC可以不高。另外,肝癌除了原发性肝细胞癌(HCC)外,还包括胆管细胞癌,混合性肝癌等。而胆管细胞癌患者AFP不升高,而是一种叫CA199的瘤标经常升高。

4、如何早期发现肝癌?

由于我国的肝癌(HCC)多发生于乙肝患者,因此对包括乙肝患者在内的高危人群进行肝癌筛查,是最好的早期发现肝癌的手段。

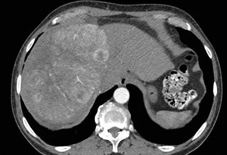
筛查手段最好的是影像学,目前阶段我国主要是依靠B超 AFP的方法,但绝对不可单独使用AFP。

image.png

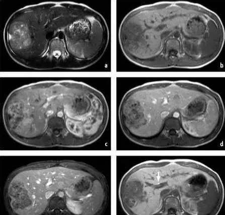
有条件的情况下也可以使用MRI增强扫描,无电离辐射,能够发现足够小的肝癌,甚至对于癌前病变,比如肝硬化结节,退变结节等进行追踪和评估,而且可做到一站式检查,定位,定性,术前评估等。

所以,简言之,AFP阴性不能除外肝癌。

参与评论

更多
图片验证码

评论列表

更多
按投票顺序
影像具体怎么看呢?
举报
2019-05-17 11:58:01
有用(1)
回复(0)
感谢
举报
2019-05-17 11:56:17
有用(0)
回复(0)
暂无数据