新靶点,有望治愈癌症免疫治疗副作用——皮炎
肿瘤免疫治疗给广大癌症患者带来了生存获益,但仅仅是延长生存期就达到了治疗目的吗?实际上,癌症患者的生存质量(QoL)评估也是被纳入“生存获益”范畴的。所以,科学研究并不仅限于如何治疗癌症,也积极探索如何提高患者的生存质量。
接受免疫抑制剂单抗药物治疗时,有70%以上的患者伴随一些或轻或重的副作用——免疫治疗相关不良事件(irAE),这些患者中约有五分之一由于严重的副作用而不得不停止免疫治疗,即使免疫治疗对他们的癌症是有效的。通俗来说,irAE就是特指免疫治疗的副作用,包括肠炎、皮疹、肝炎和心肌炎等等。其中最常见的一种就是皮肤反应。


近日,由日本筑波大学的发表在《Communications Biology》杂志上的一项研究称,使用PD-1单抗进行免疫治疗而引发的一种令人不快的皮炎,是由于特定蛋白升高而引起的炎症。因为癌症的免疫疗法正是通过一种加强T细胞识别和攻击肿瘤的方式而实现的,所以相同的过程就有可能发生在正常的组织中,引发炎症反应进而导致失衡。
大部分免疫治疗引起的皮肤反应是轻度的,使用类固醇(激素乳膏等)可以治愈,但出现瘙痒、疼痛或鳞状皮疹的患者,则需要进行更深入的治疗。如PD-1抗体就有可能引发一种被称作“PD-1抗体诱导的牛皮癣样皮炎”的皮肤反应性irAE。
PD-1途径的抑制作用正成为越来越多癌症的一线治疗方法。但是如果患者经历不良事件并因此而停止治疗,那是行不通的。我们希望确切地了解PD-1抑制剂如何引起皮炎,我们也希望可以找到一种方法来阻止这些情况。
——文章作者直山直子教授
研究团队首先检查了出现这种副作用的患者血液样本,他们惊讶地发现,这些样本中都具有一种高水平的信号蛋白——白细胞介素-6(IL-6)。


接下来,通过在小鼠体内测试这种理论联系,也就是检测PD-1被封锁时,小鼠体内的T细胞和IL-6变化。结果发现,这些小鼠体内的特定类型(CD8 )T细胞增加了!由于CD8 T细胞能够帮助免疫系统杀死病毒、细菌以及癌细胞等异物,所以,当PD-1被封锁时T细胞被激活并且大量增加,突然增多的CD8 T细胞会引发过度的免疫反应,进而导致irAE。


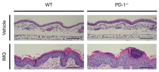
缺失PD-1蛋白后,小鼠发生皮炎(右)
缺失PD-1蛋白后,小鼠皮肤发生严重增生(右下)
为了验证小鼠的皮炎是否真的由IL-6的增加而引起,研究人员在小鼠体内使用了抗体来阻断IL-6的信号转导。结果发现,缺乏IL-6的小鼠,皮炎的发生率明显变少了。

缺失了PD-1蛋白的小鼠,经刺激后皮肤增厚(左图),IL-6水平增加(右图)
根据这些结果,研究人员还提出,如果同时阻断PD-1和IL-6,或许会有更好的联合抗癌作用。但此设想尚未进行系统研究,同样未知的是,这种方法在人体中是否会像在小鼠当中一样有效。
总的来说,结果清楚地表明了在小鼠中靶向IL-6的功效。通过对人类的进一步研究,我们可能有解决PD-1相关性皮炎的潜在方法。
——Okiyama教授
我们最引人注目的发现是CD8 T细胞上PD-1蛋白的表达在皮炎发展中的重要性,显示出IL-6作为治疗干预目标的真正潜力。
——冲山教授
用于治疗癌症的免疫方法虽然已经普及,我国也批准了O药、K药在内的8款免疫检查点抑制剂药物,但免疫疗法相对传统的手术和放化疗,仍然是较新,缺少长期副作用的一些数据。
随着越来越多的癌症患者接受PD-1/PD-L1等免疫治疗,积极预防或减少irAE等副作用的策略将变得越来越重要。我们希望,未来能够在不损害抗PD-1治疗的抗肿瘤作用的情况下,实施类似上文中的联合用药策略,在延长生命的同时,提高癌症患者的生存质量。
相关资讯







