警惕!肺癌脑转移放疗后要小心这个慢性并发症
随着放疗技术的进步,肺癌脑转移的治疗已从全脑放射转变为精准聚焦转移灶的立体放射治疗(SRS)。伽马刀、射波刀等技术都属于SRS。相应的,脑放射引起的不良反应被大幅度降低了。如今,10余种肿瘤可以进行SRS治疗,单次治疗过程中,“厉害”的放射科医生能处理总计高达25cm^2的肿瘤,转移灶的处理个数能达到10余个之多。
SRS彻底改变了放疗现状,它提高了患者对放射治疗的耐受性,患者的生存质量也有了保障。关键的是,SRS对神经系统的副作用很小,它避免了全脑放射所致的记忆下降等认知功能损害等影响,让患者更容易融入家庭和社会生活。
随着SRS的广泛使用,大多数肺癌脑转移的患者实现了长期生存。这时,一个新的麻烦产生了——放射性脑坏死。这种辐射病的特点是持续时间特别长——可达数月至数年不等,而且一般发生在首次治疗结束3个月以后。临床上,约34%的患者在使用过SRS后会出现放射性坏死。
放射性坏死是放射线引发的脑组织慢性炎症损伤,临床上表现不太明显。许多患者没感觉有什么异常,只是在做磁共振成像检查时偶然发现的。

葡萄牙尚帕利莫临床中心的Fatima Cardoso博士指出,放射性坏死是否会产生症状,取决于坏死灶和周围组织炎症的范围大小。当坏死灶和炎性水肿区域较大时,患者可能会出现偏瘫、手脚或面部发麻的症状,有时甚至会有头痛或癫痫发生。如果病变发生在关键部位,就会有生命危险。
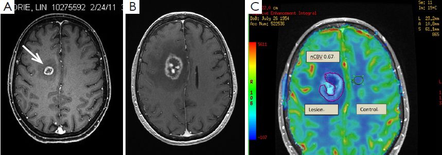
脑放射性坏死的另一个麻烦是,与脑转移瘤复发难以区分。脑肿瘤由于缺乏血管,中心往往也有明显的坏死区,这就让影像科医生犯了难——究竟是放射导致的坏死,还是转移癌复发了?
对医生来说,这两种情况表现出的症状差不多,临床上也难以鉴别。对患者来说,无论是放射性坏死误诊为脑肿瘤,还是肿瘤误诊为坏死,都是不可接受的,前者引起过度治疗,后者则会贻误病情。
怎么办呢?我们需要有经验的影像科医生帮忙,有时还需要使用PET扫描来鉴别。
目前的研究发现,辐射剂量并不是引发放射性坏死的主要原因,更应该注意的是辐射范围。
当接受12Gy放射剂量时,靶点周边脑组织超过8.5cm(V12Gy >8.5cm)会使放射性坏死发生率提高10%。此时建议使用低分割照射方式,即适当加大单次放射剂量,让整体疗程缩短,总剂量减少。
除了放射范围,放射性坏死与其他放疗联合方案也有些关系。如果你同时在进行化疗或免疫治疗,那么放射性坏死风险也会增加。
了解了放射性坏死的主要原因其实是治疗范围,那么将放射限定在某个范围之下就能避免这种远期副作用的发生了。
美国亚利桑那州凤凰城梅奥诊所Maciej Mrugala博士认为,将SRS照射限定在3cm内,一旦超过这个范围,不仅放疗效果就会大打折扣,放射性坏死的风险也会大幅度提高。
手术可以用来缓解放射性坏死的症状,但术后并发症是个大麻烦,严重影响生存质量,目前临床并不太推荐。主流的的治疗方式还是糖皮质激素抗炎治疗。只是激素本身疗效有限,还会造成很多问题,临床上正在尝试使用一些新的方法应对脑放射性坏死。
最近的ESMO(欧洲肿瘤医学会)指南建议使用抗血管生成靶向药——贝伐珠单抗。该药可以减少血管渗出液,因此一定程度上降低了放射区域的水肿程度。推荐剂量是7.5mg每公斤体重,2周注射一次,一共4个疗程。正在进行中的BEST临床研究,将为我们提供抗血管 激素治疗有效的证据。
Maciej Mrugala博士指出,当患者使用激素治疗后出现体重增加,失眠,易怒等副作用时,我们会建议改用贝伐珠单抗治疗。唯一的麻烦就是,激素可以在家口服,抗体则需要患者按时来诊所打针。再遇到“新冠肺炎”疫情,无疑是“雪上加霜”。
另一种治疗放射性坏死的方法是使用微创手术——激光间质热疗,也叫做激光消融。是将金属探针深入放射性坏死区域,发射激光将其消融掉后局部的炎症反应就会慢慢消失了。激光消融治疗放射性坏死的效果还不错,但是具有一定的侵入性,不是所有患者都能耐受。
如果还没有任何症状,需不需要治疗呢?Maciej Mrugala博士提醒道:临床上如果只是影像学报告了放射性坏死,患者并没有任何症状,那么我们并不建议使用任何治疗措施。
关于“放射性坏死”,觅友们还有什么疑问?欢迎大家在下方留言和小觅蜂一起探讨,也可以点击“阅读原文”到咱们社区反馈你遇到的问题。
封面图片来源:摄图网
责任编辑:觅健小助理
相关资讯







