胃癌诊疗室 | 赫赛汀靶向治疗对HER2阳性晚期胃癌有效吗?
胃癌是全球常见的恶性肿瘤,我国的胃癌患者每年新确诊人数占全球47%。并且由于幅员广阔、人口众多,经济卫生事业发展不平衡,我国的胃癌早期筛查体系尚需完善,大部分患者在确诊时都已经达到中晚期。
近年来,分子靶向治疗的兴起为晚期胃癌提供了新的治疗策略和方法。根据我国专家共识,HER2阳性胃癌是一类具有特定遗传学改变特征的疾病,目前曲妥珠单抗联合化疗是HER2阳性晚期胃癌患者的标准治疗,值得推荐。规范性的检测和个体化的精准治疗策略,能够帮助晚期胃癌患者延长生存期。
今天康复君为大家介绍一例HER2阳性晚期胃癌伴多部位转移患者,经多种手段多线治疗,总生存期达到25个月的病例。
在介绍案例之前让我们先了解(复习)下胃癌靶向治疗相关知识。
靶向治疗,是在细胞分子水平上,针对已经明确的致癌位点的治疗方式,该位点可以是肿瘤细胞内部的一个蛋白分子,也可以是一个基因片段。
根据找到的位点可设计相应的治疗药物,药物进入体内会识别到致癌位点,并与之结合发生作用,使肿瘤细胞死亡,并且不会波及肿瘤周围的正常组织细胞,所以分子靶向治疗又被称为“生物导弹”。
HER2是人表皮生长因子受体-2的缩写,是重要的胃癌预后判断因子、治疗反应预测指标和治疗靶点,也是国际肿瘤生物治疗的热点。如果癌症患者为HER2阳性,则表示患者癌细胞内有过多HER2蛋白出现在癌细胞表面,癌细胞增长较快,侵袭性增强,这类患者病情也相对更容易恶化。
研究显示约22%的患者为HER2阳性,这相当于每5名胃癌患者中,就有1名HER2阳性胃癌患者。
曲妥珠单抗是抗HER2的单克隆抗体,对于HER2阳性的乳腺癌和胃癌具有明显效果。
【通用名称】注射用曲妥珠单抗
【商品名称】赫赛汀 Herceptin
【适应症】转移性胃癌:
注射用曲妥珠单抗联合卡培他滨或5-氟尿嘧啶和顺铂适用于既往未接受过针对转移性疾病治疗的HER2阳性的转移性胃腺癌或胃食管交界腺癌患者。
注射用曲妥珠单抗只能用于HER2阳性的转移性胃癌患者,HER2阳性的定义为使用已验证的检测方法得到的IHC3 或IHC2 /FISH 结果。
了解过背景知识,让我们来看详细的病例介绍。
病例介绍
初诊
患者男性,53岁。
2011年3月开始出现间断性上腹部不适,偶有烧心,无明显腹胀、腹痛。5月10日左右发现左侧颈部包块,可移动,轻触痛,5月27日到当地医院进行检查,5月31日前往第四军医大学西京消化病医院治疗。
诊断:胃癌(Ⅳ期2~3级),腹腔继发性恶性肿瘤,左颈部继发性恶性肿瘤。肿瘤组织免疫组织化学检查示HER2(3 )。
既往病史:2型糖尿病4年,血糖控制良好。
图1. 初诊时全身PET-CT检查结果
图片来源:实用肿瘤杂志2018年第33卷第2期96页

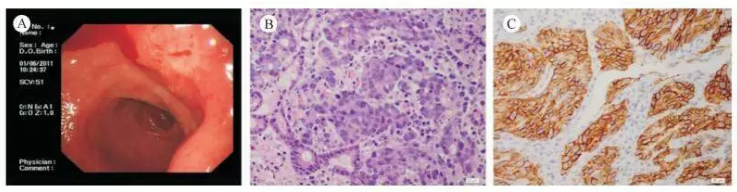
图2. 初诊时胃镜及病理检查结果
图片来源:实用肿瘤杂志2018年第33卷第2期96页
第1次诊疗方案:曲妥珠单抗联合CF(顺铂+氟尿嘧啶)
2011.6~2011.10 每3周1次,共治疗6个周期。
2011年10月,疗效评估为部分缓解(partial response, PR)。
第2次诊疗方案:由于患者拒绝手术,继续使用曲妥珠单抗联合CF方案,7个周期后出现肾功能损害,考虑到顺铂的肾毒性,停用顺铂,待肾功能恢复正常,改为曲妥珠单抗治疗联合FOLFOX4方案(奥沙利铂+亚叶酸钙+氟尿嘧啶)治疗3个周期。
2011.10~2011.12 治疗共10个周期。
2011年12月,肿瘤标志物CA199水平升高,出现颅内转移但转移病变稳定。
第3次诊疗方案:二线化疗方案FOLFIRI方案(伊立替康+亚叶酸钙+氟尿嘧啶),颅内病灶进行立体定向放疗。
2011.12~2012.2 联合治疗4个周期。
2012年2月,疗效评估为病情稳定(stable disease,SD)。
2012.3~2012.7 口服替吉奥(S1)单药并自行服用中药。
2012年7月,病情评估为疾病进展(progressive disease,PD)。
第4次诊疗方案:曲妥珠单抗联合PX方案化疗
2012.7~2012.11 联合治疗7个周期。
2012年10月疗效评估为部分缓解(PR),2012年12月17日发现者肿瘤标志物CEA、CA199水平升高,肝转移。
第5次诊疗方案:使用多种综合治疗手段,包括肝脏转移灶微波局部治疗、曲妥珠单抗联合替吉奥治疗、尼妥珠单抗联合化疗、幽门支架植入及最佳支持治疗。
患者总生存期达25个月。
专家点评
多例报道显示曲妥珠单抗联合多种化疗方案均能使晚期胃癌患者获得生存获益。
本例为胃癌伴同时性颈部及纵隔淋巴结转移的患者,HER2表达强阳性。由于患者为初始不可切除,因此遵循ToGA研究在一线治疗中选用曲妥珠单抗联合CF方案(顺铂联合氟尿嘧啶)。在治疗过程中,患者出现肾功能损害,随后改用肾毒性相对较小的奥沙利铂联合氟尿嘧啶的FOLFOX方案。
后期治疗中还选用曲妥珠单抗联合含紫杉醇的PX方案治疗,患者均获得良好的临床疗效。治疗过程中,患者发生1~2级恶心、呕吐(可自行恢复),2~3级骨髓抑制(给予粒细胞集落刺激因子后可恢复),1级肾功损害(停用顺铂后恢复正常),无心脏不良事件出现,总体治疗效果较好。
据统计,我国胃癌每年新发病例约为48万例,其中HER2阳性率为22%,按约40%的患者发现时即中晚期计算,我国每年约有4万例HER2阳性中晚期胃癌患者亟待得到有效治疗。基于HER2阳性胃癌的特殊生物学特征及其较强的异质性,精准的个体化选择靶向药物及治疗方案,使晚期胃癌患者真正获益,改善生活质量并延长生存。
封面图片来源:摄图网正版图库
责任编辑:胃癌康复君
参考来源:《实用肿瘤杂志》2018年第 33卷第2期
相关资讯







