乳腺癌治疗太难受?那就休息三个月再来!
内分泌治疗受不了了,那就休息三个月再继续!
辅助紫杉醇和曲妥珠,患者七年随访预后良好!
新兴成像技术用起来,乳腺癌诊断准确性提高!
01
内分泌治疗受不了了,
那就休息三个月再继续!
DOI:10.1038/s41416-019-0435-4.
Keypoint
激素受体阳性的乳腺癌患者可能需要接受内分泌治疗,但治疗也会带来一系列的不良反应影响患者的生活质量。最近的SOLEIII期随机临床试验就纳入了956名激素受体阳性的绝经后乳腺癌女性,比较了来曲唑的持续用药和间歇给药治疗对其生存和治疗相关症状的影响。
结果发现,在接受间歇治疗方案12个月之后,患者的阴道问题、肌骨疼痛、睡眠障碍、生理及心理状态的恶化程度较低,在治疗24个月后间歇治疗组的潮热症状明显改善。不过,间歇给药并未改善女性的5年生存率。研究认为,乳腺癌患者接受延长辅助内分泌治疗时,如果治疗相关的症状负担增加,选择间歇给药能够安全地改善生活质量。

图 1.0 研究发表在Br J Cancer
在乳腺癌动物模型中的研究结果显示,暂停芳香化酶抑制剂来曲唑(letrozole)治疗能够逆转肿瘤对于药物的获得性抗性,间歇性给药似乎可能成为延长肿瘤对于内分泌治疗敏感性的选择。最近的SOLEIII期随机临床试验主要是为了这一给药方案能否延长来曲唑在绝经后乳腺癌内分泌治疗的时间。然而,研究的结果却是阴性,间歇给药方案并不能延长患者的5年生存率。不过,无心插柳柳成荫,倒是发现了这一给药方案的其他好处。

图 1.1 研究纳入了955名乳腺癌患者
这项研究纳入了来自22个国家、240个中心的4851名乳腺癌患者。这些患者已经绝经,在入组时没有发现乳腺癌复发并接受内分泌辅助治疗。其中有955名患者被纳入了不同治疗方案对于生活质量(QoL)影响的研究之中,455名患者接受了持续性来曲唑治疗,而余下的500名患者则接受了间歇性治疗。具体而言,接受间歇性治疗的患者每年会首先接受9个月的正常来曲唑治疗,在随后的3个月内则会暂时停药,等到第二年在重启治疗。

图 1.2 内分泌带来的症状尚可接受
结果显示,女性在基线的生活质量问卷和症状量表中的回答均在0-1分之间,这意味着它们完全没有或仅受到轻微的困扰;对于某些特定的症状,如潮热、阴道问题和肌肉骨骼疼痛等的回答在1-2分之间,相当于受到这些问题的轻中度困扰。在两年的治疗之后,患者症状的变化处于显著的临界状态。

图 1.3 间歇性治疗能改善部分治疗相关症状
比较持续性治疗和间歇性治疗的结果显示,在12个月时,两种治疗对于潮热的影响并没有显著差别(Δ2,95%CI-1~5;P=0.11);但在24个月时,间歇性治疗患者的潮热有更为明显的改善(Δ3,95%CI0~6;P=0.025),其他两种量表也显示出相似的结果。此外,间歇性治疗还能改善阴道问题(Δ4,95%CI1~8;P=0.017)、肌肉骨骼酸痛(Δ3,95%CI0~6;P=0.023)、睡眠障碍(Δ5,95%CI1~9;P=0.007),身体健康(Δ4,95%CI1~8;P=0.008)和情绪(Δ4,95%CI0~7;P=0.026)。

图 1.4 不同用药方案患者症状评分的变化
研究人员指出,这是第一项比较持续性治疗和间歇性治疗对于乳腺癌患者内分泌治疗生活质量和治疗相关症状的研究。研究的结果显示,间歇性治疗患者与症状相关的生活质量降低或整体的生活质量降低程度均较持续性治疗的患者更小。间歇性给药还能改善患者的潮热、阴道问题、肌肉骨骼疼痛、睡眠障碍、身体和情绪状态。
虽然目前的研究尚不清楚在第三、第四次间断给药时,患者的症状是否仍能得到缓解,但由于两种给药方式之间的疗效并没有显著差异,因此间歇性给药对于在延长辅助内分泌治疗后出现相关症状负担增加的女性而言,不失为一种安全的替代方案。
REF:
RibiK,LuoW,ColleoniM,etal.Qualityoflifeunderextendedcontinuousversusintermittentadjuvantletrozoleinlymphnode-positive,earlybreastcancerpatients:theSOLErandomisedphase3trial.BrJCancer.2019Apr10.doi:10.1038/s41416-019-0435-4.
02
辅助紫杉醇和曲妥珠,
患者七年随访预后良好!
DOI:10.1200/JCO.19.00066.
Keypoint
辅助紫杉醇的曲妥珠单抗临床试验旨在解决较小的HER阳性乳腺癌患者的治疗问题。这项II期临床试验纳入了410名HER2阳性、腋窝淋巴结活检阴性的乳腺癌患者,首先以紫杉醇 曲妥珠治疗12周,随后曲妥珠治疗9个月。前期的研究结果显示,这一治疗方案的3年无病生存(DFS)率高达98.7%。
在本次的分析中纳入了平均随访6.5年的结果后发现,患者的7年DFS率为93%(95%CI90.4%-96.2%),提示这一治疗方案能为患者带来良好的预后。此外,遗传学预测分析还发现,单核苷酸多态性(SNP)位点rs3012437与2级或更严重的紫杉醇诱导的周围神经病变(paclitaxel-inducedperipheralneuropathy,TIPN)风险增加有关。

图 2.0 研究发表在JCO
辅助紫杉醇(paclitaxel)的曲妥珠单抗(trastuzumab)单抗临床试验旨在解决较小的HER2阳性乳腺癌患者的治疗问题,在这项II期临床试验中的患者使用了紫杉醇 曲妥珠单抗治疗。初步分析的结果显示,患者的3年DFS率为98.7%。
最近这项研究的长期随访结果发表在了JCO,二次分析的结果显示接受这一治疗的患者长期的预后同样良好。同时,研究还进一步探索了患者基因检测预测TIPN的可能性。

图 3.1 研究共纳入了406名患者
这项研究最中纳入了410名HER2阳性的乳腺癌患者,患者的肿瘤不大于3cm且腋窝淋巴结活检结果阴性,共有406名患者完成了既定的治疗计划,包括12周的80mg/m2的紫杉醇辅助治疗以及曲妥珠单抗治疗以及随后9个月的接受曲妥珠单抗单独治疗。患者的中位年龄为55岁,67%的患者激素受体阳性,50%的患者肿瘤不超过1cm,仅有9%的患者肿瘤大于2cm,平均肿瘤大小为1.1cm,大多数患者均处于1b期。

图 2.2 患者的7年DFS率结果良好
在先前发表的文章中,研究人员报道的3年DFS率为98.7%(95%CI97.6%-99.8%)。在平均随访了6.5年之后,研究人员共发现了23例DFS的事件,包括5例局部复发、4例远处复发、6例新的对侧乳腺癌以及8例死亡,5年DFS率为96.3%(94.4%-98.2%),7年DFS率为93.3%(90.4%-96.2%)。
在激素受体阳性乳腺癌患者中的7年DFS率为94.6%(91.8%-97.5%),而在激素受体阴性的患者中,相应的7年DFS率为90.7%(84.6%-97.2%),但两者之间并没有显著的差别(HR0.61,95%CI0.27-1.4)。

图 2.3 患者的其他预后结局同样良好
其他随访数据的结果显示,患者没有远处复发、乳腺癌特异性死亡或侵袭性局部复发的7年无复发间期为97.5%(95.9%-99.1%),7年乳腺癌特异性生存为98.6%(97.0%-100.0%),7年总生存率为95.0%(92.4%-97.7%)。3年以及5年时的相应数据同样有良好的表现。

图 2.4 患者的乳腺癌亚型分布
此外,研究还对患者的遗传信息进行了探索。研究人员使用了PAM50等方法对HER2阳性、腋窝淋巴结阴性的小乳腺癌患者的风险进行了更深入的分型。结果这些患者评价复发风险ROR评分显示,75.4%的患者被归类为高风险的类型。所有被评价为低风险的患者均为luminalA亚型,大多数luminalA亚型患者的风险为中等,而大多数luminalB亚型、HER2水平较高和基底样乳腺癌的患者被评估为高风险。
作为紫杉醇治疗最重要的不良反应之一,研究还评估了230名有可用数据患者的遗传信息和TIPN风险的关系。结果发现单核苷酸多样性(SNP)位点rs3012437与2级或更严重的TIPN风险有关(P=0.024;OR2.1)。
研究人员认为这些长期数据继续支持辅助紫杉醇的曲妥珠单抗治疗作为I期HER2阳性乳腺癌患者的治疗方案。这一尝试是在为HER2阳性乳腺癌患者提供优异疗效的同时,降低治疗强度以保持生活质量的重要一步。
REF:
TolaneySM,GuoH,PernasS,etal.Seven-YearFollow-UpAnalysisofAdjuvantPaclitaxelandTrastuzumabTrialforNode-Negative,HumanEpidermalGrowthFactorReceptor2-PositiveBreastCancer.JClinOncol.2019Apr2:JCO1900066.doi:10.1200/JCO.19.00066.
03
新兴成像技术用起来,
乳腺癌诊断准确性提高!
DOI:10.1148/radiol.2019182457.
Keypoint
联合数字乳腺X线摄影(digitalmammography,DM)和数字乳房断层合成技术(digitalbreasttomosynthesis,DBT)与仅使用DM的筛查相比能提高乳腺癌的检出率,而最近的研究进一步发现,DM DBT能够较仅使用DM能提高非致密性乳房的乳腺癌女性癌症分期的诊断准确性,检出同侧其他病灶和对侧乳房的乳腺癌。
研究共纳入了166名乳腺癌女性,平均年龄为59.5岁,由4名放射科医师独立诊断。结果发现,DM DBT的诊断敏感性高于DM,能检出同侧的其他病灶;在双侧发病的乳腺癌患者中DM DBT的AUC大于单独使用DM。不过,DBT增加的诊断价值仅限于非致密性乳房的女性中。

图 3.0 研究发表在Radiology
DBT通过分离重叠的乳房组织,增强对不同平面的异常病变的检测。与DM相比,DBT具有更高的乳腺癌检出率和更低的召回率。不过,目前并没有研究关注到DBT在局部乳腺癌分期中的作用,最近来自蒙彼利埃大学(UniversitédeMontpellier)及其附属机构的研究则关注到了DM DBT在检测局部乳腺癌、多灶病变和双侧病变中的作用,结果发表在了Radiology上。

图 3.1 研究共纳入了166名乳腺癌女性
这项研究中招募了年龄在40岁或以上、之前没有乳房手术史、被检出有BI-RADS4类或类病变的女性,其中部分女性接受了组织活检被确诊为乳腺癌并接受了MRI的癌症分期,在选择后最终的回顾性评价纳入了166名女性。研究中共组织了4名经验丰富的乳腺放射学专家解读了这些患者的影像学图像,专家首先独立评价了这些女性的DM,在1个月后在不知道上次DM评价结果的情况下,再次评估了这些女性的DBT DM。

图 3.2 DBT DM在多中心分期中的诊断敏感性优于DM
结果发现,对于新诊断为乳腺癌的女性,DM DBT诊断比仅使用DM诊断具有更高的敏感性,具体表现在对于同侧乳腺癌的多中心分期(multicentricitystaging,37%vs51%;P<0.01)、同侧其他病灶(44%vs52%;P<0.01)具有更高的敏感性。然而,研究的结果并没有发现DM DBT和DM在诊断特异性上的显著差别。在双侧分期(bilateralitystaging)的AUC上,DBT DM比DM更胜一筹(67%vs74%;P=0.02)。

图 3.3 DBT DM的优势仅在非致密乳腺的女性中存在
进一步的分析发现,DBT DM对于女性乳腺癌诊断的优势在非致密乳腺女性中更为显著。在非致密乳腺的女性中DBT DM对于同侧其他病灶的诊断敏感性(47%vs57%;P<0.01)和AUC(70%vs74%;P=0.04)均优于DM;而在双侧病变的诊断中,DBT DM的诊断AUC(68%vs76%;P=0.02)同样优于DM。

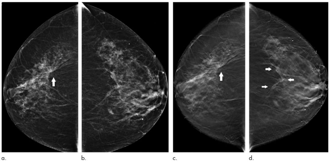
图 3.4 73岁女性的双乳DM(a,b)及DBT(c,d)
注:a中右侧乳房外上象限箭头所示的结构扭曲是浸润性小叶癌,这一变化在c中同样可以被检测到;b中的左侧乳房并未发现可疑的病变,但在d中则能发现左侧外下象限的病变。

图 3.5 58岁女性右乳的DM(a)、DBT(b)和MRI图像(c-f)
注:a中右乳外上象限的肿块是黏液性肿瘤,b中也能找到对应的肿块。不过,在MRIT2序列中能够发现2个高信号的区域(c,d)并且有增强(d,f)。其中的一个肿瘤虽然能在DBT中发现,但却遗漏了另外一个。
在文章中研究人员还给出了2个具体的例子说明了DBT能够比DM检出更多的病变,但DBT似乎尚不能替代MRI检查。在系统地评价DBT在局部乳腺癌分其中的价值后,研究人员认为DBT的确无法取代MRI增强等检查。在20%的乳腺癌女性中可能存在同侧的其他病变,5.5%可能存在对侧乳房的病变,而DBT并不能替代MRI增强等技术在这些方面的作用。然而,MRI可能并不能在所有的乳腺癌患者中得到应用,因此DBT可能还是有其独特的价值。
REF:
FontaineM,TourasseC,PagesE,etal.LocalTumorStagingofBreastCancer:DigitalMammographyversusDigitalMammographyPlusTomosynthesis.Radiology.2019Apr9:182457.doi:10.1148/radiol.2019182457.
来源:医学界肿瘤频道
相关资讯







