晚期肺癌治疗新模式:免疫治疗+手术,国内首例中晚期肺癌患者重获生机
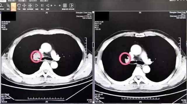
前天,上海市胸科医院肿瘤科多学科团队采用国际最前沿的免疫治疗方法使一名中晚期肺癌患者肿瘤从原来的4.2公分缩小到了2.8公分,整整减少了30%,从而重新获得手术机会。这对于中晚期的癌症患者来说无疑是一个天大的好消息! 陆舜(中)带领团队近年在多项肺癌前沿治疗研究领域取得突破成果 14日15时,68岁的蒋老伯平安地从重症监护室回到了普通病房。他是国内首例经免疫治疗后重获手术机会的中晚期肺癌患者。上海市胸科医院也据此率先全国开始探索“免疫 手术”新模式。 医院方面透露,一个月前,蒋老伯入院时就已被诊断为右上肺鳞癌中晚期,肿瘤达4公分多,侵犯右总支气管,并包裹了整个右肺动脉根部。对于这样的患者,手术风险太高。按照以往的惯例,医生都会为他先做化疗,根据治疗效果再评估是否能进行手术。但是,化疗时间需要持续两到三个月,随之而来的毒副作用更是让许多患者难以承受,特别是体质较弱的老年人,其治疗效果和耐受情况更是十分有限。 面对这么大的一个难题,院方积极想办法找对策,最终在肿瘤科陆舜主任带领下,由肿瘤科多科室组成的团队,经过多次研讨与会诊,最终确定通过免疫治疗的方法为老蒋诊治。 喜人的是,经过了30天的治疗,肿瘤从最开始的4.2厘米减小到2.8厘米,整整缩小了30%!肺动脉侵犯减少,虽然手术难度还是很大,但各项指征都已经符合标准,得知消息的蒋老伯激动不已,他做梦也没想到在那么短的时间里自己竟然有了做手术的机会。而且,和化放疗相比,免疫治疗基本没有毒副反应,蒋老伯感觉体力“棒棒哒”,完全能够承受手术。 这台手术由肿瘤科副主任医师丁征平主刀,凭借娴熟高超的技术和专业丰富的经验,他带领团队为老伯施行了右肺上叶袖型切除术,完整地摘除了肿瘤,并保留了老人的右侧肺中、下叶。 手术十分成功,第二天蒋老伯就转入了普通病房,精神良好。 领衔肺癌免疫国家科技部重点专项研究的陆舜教授告诉记者: “免疫治疗可用在术前诱导或者代替化疗,这不是天方夜谭。欧美在这方面起步较早,但中国的发展速度非常迅猛。”在手术前进行全身或者局部治疗的新辅助治疗是目前国际性趋势,肺癌诊疗将迎来新的一次革命性进展,更多中晚期肺癌患者将有更多精准、有效、个性化的临床治疗方案,获得重生的希望。 免疫 手术的模式,这在国内是第一次探索,我们看到了免疫治疗作为新辅助治疗给中晚期的患者带来了新的希望。但其实了解免疫治疗的觅友们对联合治疗模式一定略有耳闻,联合治疗最大的优势就是可以打破免疫疗法当前的局限性,使得更多的肿瘤患者能更持久的从免疫疗法中获益。 PD-1作为免疫抑制剂,对于肿瘤有着抑制作用,现如今两大PD-1免疫抑制剂Opdivo和Keytruda均已在国内获批上市肿瘤病友们翘首以盼的免疫治疗终于在国内实现。但是单药使用免疫治疗只能使大约20%的患者肿瘤缩小,再加上部分患者的肿瘤情况不稳定,还是会有不少患者的肿瘤继续长大,所以如何长期维持和提高疗效成为使用PD-1抑制剂觅友们摆在眼前的问题。 大量临床试验研究数据和临床使用经验,总结出PD-1长期维持/提高疗效的首选便是:联合治疗。 抗击癌症就像打架,一个人打不过那就多找几个帮手,团战要比单枪匹马获胜的概率大一些。PD-1单药干不过癌细胞我们可以找找帮手,比如联合化疗、放疗和靶向治疗。 1、免疫治疗联合化疗 此前公布的IMpower150研究的结果显示,与安维汀 卡铂 紫杉醇组合疗法相比,Tecentriq 安维汀 卡铂 紫杉醇组合疗法一线治疗晚期非鳞状NSCLC使疾病恶化或死亡风险(PFS)显著降低了38%(HR=0.62,p<0.0001,95%CI:0.52-0.74),达到了延长PFS的共同主要终点,并且在横跨关键亚组中均观察到了这一PFS受益,包括PD-L1呈各种表达水平的癌症患者。 1月16日相关报道指出,Keytruda 培美曲塞 顺铂或卡铂一线治疗转移性非鳞状非小细胞肺癌(NSCLC)的关键III期KEYNOTE-189研究取得积极结果,相比培美曲塞 铂类药物化疗组可显著改善总生存期(OS)和无进展生存期(PFS),达到了复合终点。Keytruda联合化疗成为首个对NSCLC总生存期显示改善作用的PD-1联合治疗方案。 今年年初ASCO年会上公布了白蛋白紫杉醇联合Opdivo治疗非小细胞肺癌的Ⅰ期临床数据。20位IIIB/IV期NSCLC患者接受联合治疗,客观缓解率达到50%(1位患者完全缓解,9位部分缓解),30%患者病情稳定,中位无进展生存期为10.5个月。该临床试验结果表明,白蛋白紫杉醇联合Opdivo治疗非小细胞肺癌安全有效。 2、免疫治疗联合抗血管生成药物和化疗 PD-L1单抗Tecentriq 卡铂 紫杉醇 贝伐单抗治疗晚期非鳞非小细胞肺癌。相比化疗 Tecentriq的40%,化疗 贝伐单抗的41%,四联方案创新高,ORR(客观缓解率)直升56%,且与PD-L1的表达水平无关。试验也入组了EGFR/ALK基因突变的患者,同样显示疗效。 3、免疫治疗联合放疗 由于放疗可促进T细胞积聚及放疗存在远隔效应,因此放疗对免疫治疗的增敏效果更强。进行过放疗或计划进行放疗的病友,不论放疗的局部部位在哪里,都可以有效的增加免疫治疗的敏感性,同时对于其他未进行放疗的局部病灶也效果明显。 97位晚期非小细胞肺癌患者,其中42位接受过放疗治疗,不论放疗时间距离入组时间间隔多久,入组后使用Keytruda单药治疗。 随访后得出数据:放疗过的患者的中位生存期(OS)是10.7个月,而从未放疗过的患者的OS只有5.3个月;无进展生存期(PFS)是4.4个月 VS 2.1个月,两组数据均显示生存期翻倍增长。而进行颅外放疗的患者亚组数据也让人惊喜:接受过颅外放疗的患者的OS是11.6个月,没有接受过的患者的OS是5.3个月;无进展生存期是6.3个月 VS 2个月,同样显示生存期翻倍增长。 总之,PD-1联合治疗目前仍是一个热门话题,未来PD-1联合手术、放疗、化疗、靶向治疗、免疫治疗能够我们带来哪些惊喜?我们拭目以待。

相关资讯







