抗癌日记-写在第14期治疗前
我爸爸目前是每三周做一期治疗,用的单免疫药,药还是课题组的药,每两期做一次评估,这周一到周三分别做了胸部增强ct、腹盆ct。


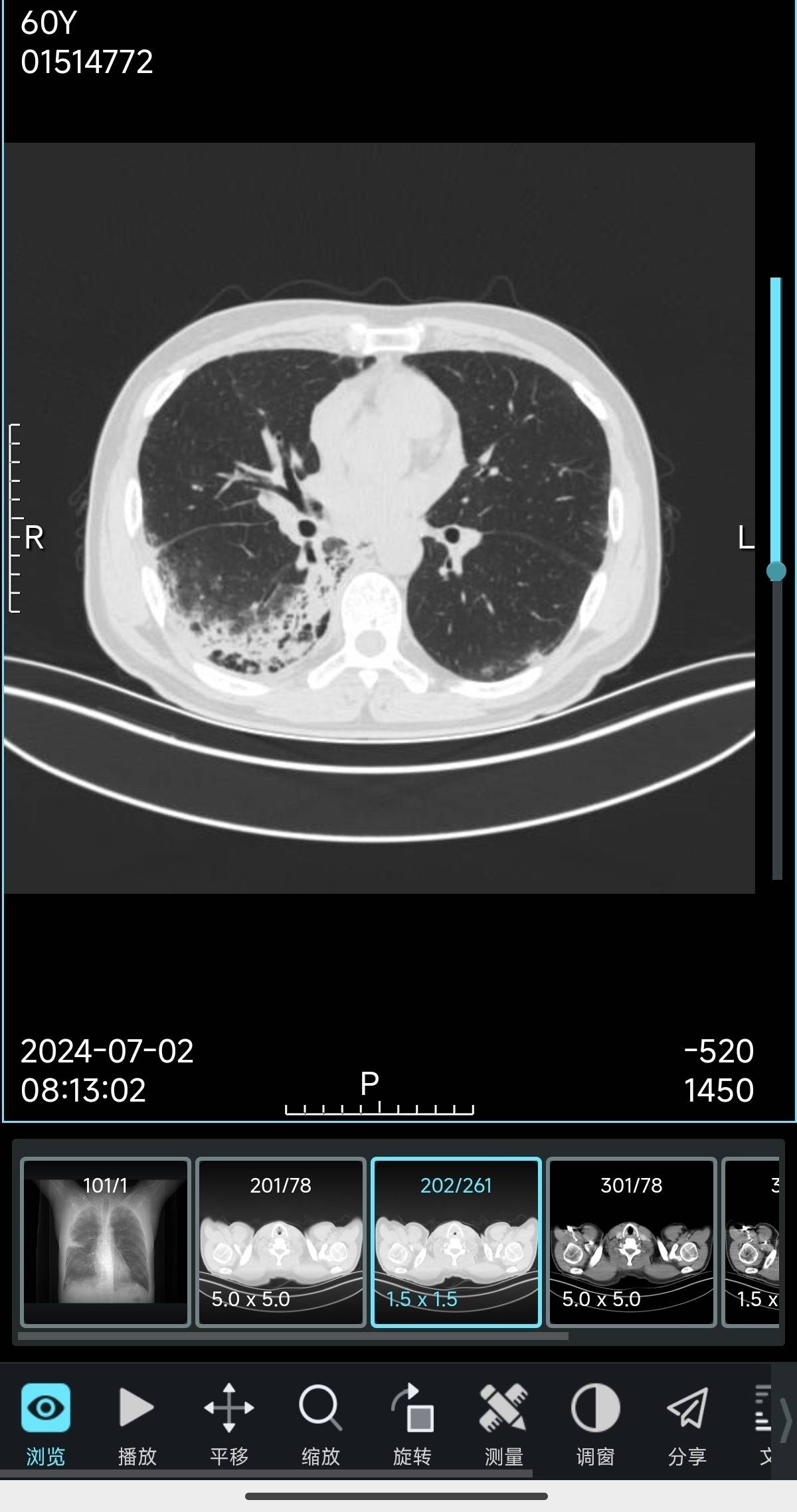
今天结果都出来了,腹盆ct跟之前一样,没有什么问题,但是胸部增强ct的结果跟之前有了变化,原来右肺下叶的实性结节被多发斑片状浸润影掩盖了,右肺门及纵隔多发肿大淋巴结,部分较前稍大,这个情况个人估计是比之前变差了。
我爸爸最近这几周身体也有变化,以前用药的结果应该算是可以,呼吸什么的没有问题,现在深呼吸会感觉到有点疼,走路多了会感觉气短,尤其是这几天突然开始干咳,这样情况让人不得不担心。
我自己也在学着看ct影像,这次的图像确实跟之前的几次明显不一样,以前是一块比较明显的灰色,现在变成了一大片比较浅的灰色,应该是肿瘤开始侵犯其他部位,变差了的意思吧。
最近半年没有发帖,主要是我爸情况还比较稳定,每次ct结果也没有什么变化。这次他身体上也有变化,检查结果也有变化,不知道是不是已经到了耐药期了。
医院通知明天上午去找主治医生了解病情,明天准备认真听一下医生的意见,希望能有个好的结果,或者找到其他的治疗方案。




收藏
回复(16)举报
参与评论
评论列表
按投票顺序
这个是肺的间质性改变,有渗出了,需要呼吸科医生鉴别诊断,不一定就是进展,可能各种肺炎之类的
举报
2024-07-06 08:34:23 有用(0)
回复(2)
w自强点赞加油!
举报
2024-08-08 22:10:16 有用(0)
回复(0)
热情的鞭炮3716加油
举报
2024-12-27 10:05:58 有用(0)
回复(0)
大意的荒野8232加油
举报
2024-12-28 11:08:38 有用(0)
回复(0)
你好,请问可以交流一下,相互鼓励吗,爸爸的病情跟你们类似,目前治疗方案也基本一样。
举报
2024-08-01 10:21:00 有用(0)
回复(1)
拼搏的烤面包8229请问你们用哪款免疫药,同突变
举报
2024-10-13 00:28:52 有用(0)
回复(1)
加油
举报
2024-07-09 08:04:20 有用(0)
回复(1)
火星上的鸵鸟1556加油
举报
2024-12-27 07:59:42 有用(0)
回复(0)
喜悦的人字拖1919加油
举报
2024-12-27 08:03:22 有用(0)
回复(0)
加油,关关难过关关过
举报
2024-07-05 09:36:46 有用(0)
回复(1)
相关推荐
热点推荐
2013-11-19 14:23:04
爸爸确诊病情已经有11个多月了。一共做了8次大化疗,2次小化疗,以及35次放疗,上月返医院检查“瘤子”没有了。这一路走来,有多少的艰辛与泪水。在这里与大家分享爸爸的治疗过程。起初,拿到病例报告的时候,
2013-11-19 14:31:01
妈妈患肺癌已经有三年了,这三年来一直在接受治疗到现在,下面是妈妈检查以及治疗的过程。2010年10月,妈妈体检出肺癌IV期,纵隔淋巴转移,肝部转移,去省肿瘤医院复查,做了PET-CT,结果一样,省肿瘤
2013-11-19 15:04:43
2011年11月,妈妈被诊断肺癌,我在网上浏览了很多帖子,学到了很多,看到了一批又一批共同奋斗在抗癌战线上的战友。这15个月走下来,越来越体会到抗癌之路的艰辛,今天发个帖子,记录一下妈妈的治疗经过,也







