【用实例说话】Ⅲa期肝癌一线治疗快速进展,二线瑞戈非尼联合PD-1抑制剂治疗1月余即达PR


随着肝癌治疗药物与治疗手段的进步,肝癌全程管理与综合治疗的理念深入人心,患者生存期日趋延长。对于中晚期肝癌患者而言,系统治疗联合局部治疗及靶免联合策略是控制疾病进展、延长生存的重要手段。本期分享的这例患者,一线靶免联合治疗快速进展后,二线更换靶向药物瑞戈非尼治疗1月余即达到部分缓解(PR),疗效显著。目前患者仍在持续用药并获益中。



病例介绍

 
图片               
刘建伟 教授

肝外二科 主治医师
师从东方肝胆外科医院肝外四科主任沈锋教授
擅长肝胆肿瘤的疾病诊断及外科治疗
发表sci论文和核心期刊10余篇
参与军民融合项目基金一项
                   



病例讲课视频



患者一般情况

患者男,58岁。主诉:原发性肝癌术后3年,复发介入术后5天。既往病史:乙肝,糖尿病。2021年7月26日门诊入院。

2021年7月26日实验室检查:血常规,凝血功能基本正常;肝肾功能:白蛋白(ALB):29.2g/L;丙氨酸转氨酶(ALT):53U/L,余正常;乙肝两对半:HBsAg、HBcAb阳性;乙肝DNA定量HBV-DNA: 4.88e 0.2IU/mL。肿瘤标记物:甲胎蛋白(AFP)14832ug/L,异常凝血酶原(PIVKA)177mAu/ml,癌胚抗原(CEA) 1.5ug/L,     CA199<2.0U/ml。

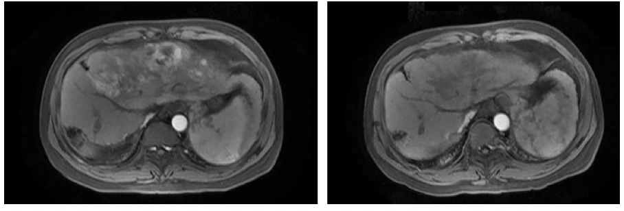
2021年7月27日MR提示,肝癌综合治疗后,病灶活动,大小约18.2cm×8.9cm,门静脉左支癌栓;肝门区淋巴结显示;肝硬化,腹水(图1)。

图片

图1. 2021年7月27日MR

入院诊断:原发性肝癌术后复发介入后,门静脉癌栓,腹腔积液,肝炎后肝硬化,乙肝病毒携带者,高血压病,2型糖尿病,胆囊切除术后。中国肝癌(CNLC)分期Ⅲa期。



一线治疗——仑伐替尼联合卡瑞利珠单抗

由于患者外院接受TACE治疗5天,不适合再行TACE治疗。遂给予补蛋白、利尿及规范抗病毒治疗。出院后,于2021年8月2号开始服用仑伐替尼(2mg,口服,1次/日),同步卡瑞利珠单抗(200mg,静滴,3周/次)治疗。

2021年9月4日第一次复查肿瘤标志物,AFP由既往的14832ug/L上升至19658ug/L,异常凝血酶原由既往177mAu/ml上升至478mAu/ml。

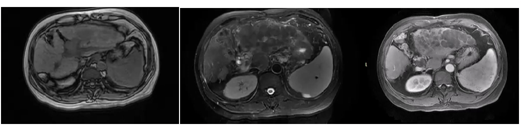
2021年9月7日MR提示,肝癌综合治疗后,病灶活动,大小约18.2cm×12.2cm,门静脉左支癌栓;肝门区淋巴结显示;肝硬化,腹水(图2)。

图片

图2. 2021年9月7日复查MR

复查评估显示,肝内病灶较前稍增大,肿瘤标记物较前升高,mRECIST标准:疾病进展(PD)(图3)。

图片

图3. MR复查评估

行肝穿刺活检,肉眼所见,肝穿刺:灰白色线样组织2条,均长0.3cm。镜下所见:癌组织排列呈粗梁型,癌细胞多边形,核大深染,异型明显,肿瘤内见片状出现,周边未见正常肝组织。病理诊断:(肝穿刺组织)肝细胞癌,粗梁型,Ⅲ级。



二线治疗——局部治疗联合瑞戈非尼 PD-1抑制剂

2021年9月10日行肝动脉灌注化疗(HAIC):超选至肝固有动脉后留置导管,灌注奥沙利铂150mg,亚叶酸钙700mg,氟尿嘧啶4750mg(46小时)(图4)。

图片

图4. 2021年9月10日HAIC

基于肝穿刺活检检测结果,2021年9月24日开始服用瑞戈非尼(160mg,口服1次/日)同步卡瑞利珠单抗(200mg,静滴3周/次)。

图片

图5. 2021年11月1日复查肿瘤标志物

2021年11月3日MR显示,肝癌综合治疗后,病灶较前明显缩小,大小约12.2cm×8.1cm,门静脉左支癌栓;肝门区淋巴结显示;肝硬化(图6)。

图片

图6. 2021年11月3日复查MR

复查评估显示,肝内病灶较前明显缩小,肿瘤标记物显著降低,mRECIST 标准:疾病缓解(PR)(图7)。

图片

图7. MR复查评估

不良反应:治疗期间,患者出现手足皮肤反应(I级)和血小板减少,分别给予尿素软膏和口服马来酸阿伐曲泊帕(2片每天,连续服用5天)对症处理,症状缓解。

患者目前仍在使用该药物治疗方案持续治疗中。



专家点评


图片               
薛峰 教授
副主任医师

肝外二科 副主任医师
中国抗癌协会肝癌专委会委员
中国精准医疗协会委员
第一作者于Cancer Letters等SCI杂志发表论文十余篇
参与军队重点项目两项,基金400余万。


病例讲课视频

随着靶向和免疫治疗药物的应用,相当一部分肝癌患者获得了良好的生存获益。但对于一线治疗后出现进展,或由于药物反应、身体状况等原因无法耐受原先一线治疗方案的肝癌患者,我们该如何应对?

今天介绍的这例患者即是这类情况。该患者历经介入治疗、仑伐替尼联合PD-1抑制剂一线治疗后,肿瘤很快出现进展。二线采用局部治疗联合瑞戈非尼 PD-1抑制剂的个体化治疗策略,用药仅一个多月,即达到PR,AFP大幅下降,由既往的19658ug/L下降至103ug/L。其治疗可谓是非常成功的。综合而言,该患者的成功主要处取决于以下几个方面。

首先,我们采用分子生物学手段帮助患者尽快找到了适合自己的药物治疗方案。其次为二线治疗药物的早期介入,因该患者肿瘤负荷非常大,若待肿瘤出现进展,患者身体状况恶化之后再更换药物,可能治疗效果相当有限,甚至可能导致患者失去治疗机会;因此,把握二线治疗药物的介入时机和时间点非常关键。第三,瑞戈非尼作为国内外指南一致推荐的标准二线治疗药物[1-3],在临床应用中展现了良好的治疗效果。我们既往回顾性分析了50余例肝癌患者二线采用瑞戈非尼治疗的数据,结果显示几乎所有患者的PFS均达到半年左右;且一线治疗进展后,瑞戈非尼无论序贯于索拉非尼或是仑伐替尼,均表现出了良好的治疗疗效,为患者带来生存获益。最后,期待靶免治疗新时代能够为更多肝癌患者带来更长的生存时间与更好的生存获益。


参考文献

[1]中华人民共和国国家卫生健康委员会. 原发性肝癌诊疗指南(2021 年版).

[2]中国临床肿瘤学会(CSCO)原发性肝癌诊疗指南(2020版).

[3]NCCN Guidelines. Hepatobiliary Cancers, Version 4.2021.


责任编辑:Jelly
排版编辑:H.K

参与评论

更多
图片验证码

评论列表

更多
按投票顺序
看起来效果不错啊
举报
2022-03-22 17:01:45
有用(0)
回复(0)
爸爸确诊病情已经有11个多月了。一共做了8次大化疗,2次小化疗,以及35次放疗,上月返医院检查“瘤子”没有了。这一路走来,有多少的艰辛与泪水。在这里与大家分享爸爸的治疗过程。起初,拿到病例报告的时候,
妈妈患肺癌已经有三年了,这三年来一直在接受治疗到现在,下面是妈妈检查以及治疗的过程。2010年10月,妈妈体检出肺癌IV期,纵隔淋巴转移,肝部转移,去省肿瘤医院复查,做了PET-CT,结果一样,省肿瘤
2011年11月,妈妈被诊断肺癌,我在网上浏览了很多帖子,学到了很多,看到了一批又一批共同奋斗在抗癌战线上的战友。这15个月走下来,越来越体会到抗癌之路的艰辛,今天发个帖子,记录一下妈妈的治疗经过,也
invay
37088 阅读
阅读全文