神奇!这种“致命”毒药被科学家开发出了“抗癌”功能!
相信大家在各种古装中肯定看到过砒霜吧!大家都知道砒霜剧毒无比,稍微一点就能致命。但是砒霜这种致命毒药竟然可以抗癌!
古人有云:“药毒不分家”,砒霜更是以毒入药的重要代表,但是关于它的具体作用机理不为人知,所以导致人们对砒霜入药感到十分害怕。
中国福建医科大学的卢坤平教授等人在著名学术期刊《Nature Communications》上发表的一项研究成果,彻底打破了对砒霜研究的空白!

他们发现了砒霜,即三氧化二砷(ATO),跟全反式维甲酸(ATRA)联合使用治疗多种癌症的机制!以后“砒霜抗癌”再也不是谣言了!
“砒霜治病“原理
其实“砒霜治病”在我国历史上十分常见,中医药方记载砒霜对昏睡病、肺结核的良好效果,有许多科学家希望利用砒霜彻底消灭肿瘤。
然而,相关研究又仅仅停留在民间疗法、个人猜想和临床统计的层面,缺乏准确的机理描述,使得对于砒霜的作用众说纷纭。

在这之前,Beth Israel Deaconess医学中心(BIDMC)癌症中心的Pier Paolo Pandolfi医学博士团队证实ATO与ATRA联用对急性早幼粒细胞白血病(APL)有一定效果,可将关于APL的治疗从高度致命转变为高度可治愈的状态,但对其具体的作用机理不明所以。

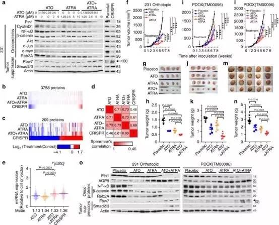
现在,同属BIDMC癌症研究所的卢坤平教授团队发现ATO与ATRA是通过摧毁Pin1蛋白来抑制癌症驱动途径,也就是说,只要肿瘤细胞中存在Pin1蛋白,砒霜就是它的克星!
在谈ATO对肿瘤细胞的杀伤作用前,得先说说肿瘤发展过程中Pin1酶扮演了什么角色。
简单来说,Pin1在调节癌症信号网络中起着关键作用,它能够激活至少40种蛋白,为癌细胞提供食物。此外,它还能阻断20种以上可以抑制癌症生长的蛋白。
总而言之,它既能为癌细胞提供食物,又能够保护它不受伤害。

这种酶在大多数癌症患者体内都非常活跃,尤其在癌症的干细胞当中,可以驱动肿瘤的生长,也是促使癌症抵抗传统治疗。
最重要的是,Pin1的表达与细胞分裂能力成正比,也就是说,对癌细胞这种分裂旺盛的细胞来说,Pin1总是会使癌细胞的分裂加速。
因此,针对Pin1的药物,包括ATO与ATRA联用,总是能准确地摧毁肿瘤细胞,同时将对高分化的组织细胞的副作用降至最低!
那么,ATO与ATRA究竟对Pin1做了什么呢?
简单来说,ATRA会为ATO打开并稳定进入肿瘤细胞的通道,而ATO能够在ATRA的帮助下有效摧毁Pin1,进而杀灭癌细胞。
不仅如此,ATO与ATRA联用还解决了一个困扰个体靶向治疗发展的大问题—耐药性。
TIC / CSC是造成肿瘤出现、生长、转移和耐药性的主要原因。研究人员发现,Pin1能够高度富集乳腺TICs / CSCs,促进TICs和CSCs的自我更新和肿瘤的生长。
而ATO与ATRA联和使用靶向Pin1就意味着是同时阻断多种癌症的驱动途径并消除了TICs/ CSCs,从而从根源上阻断肿瘤的耐药性。

ATRA与ATO联合诱导Pin1降解并消除TICs/ CSCs
这项研究从细胞层面解释了ATO与ATRA对肿瘤的作用机制,为多种癌症的治疗提供了一种有力的低毒性选择,也为Pin1抑制剂的研究提供了新方向。
虽然这种新的治疗方式给人们带来了新的希望,但是科学家们还需要功课非常多的困难。
比如ATRA在人体中的半衰期非常短,特别是对于实体肿瘤来说,受到人类45分钟非常短的半衰期的严重限制。
虽然砷基化合物具有抗癌功能,但并不代表可以直接服用砒霜抗癌!在具体的药物还没发明出来之前,大家还是要选择现有的科学治疗方案哦!
收藏
回复(4)参与评论
评论列表






