四化放疗后单免半年复查
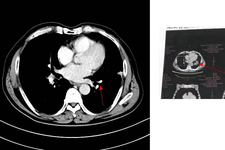
去拿报告单的时候心如擂鼓,紧张害怕比确诊时更甚!片子上肿瘤区看着应该问题不大。报告单最后才打出来,描述为肿瘤区欠清,不知道为什么但不纠结它。揪着的心还没来得及放下,又看到说左颈部ⅡB区增大淋巴结,均匀强化,医生检查时摸不到,说小于1CM,先观察,也可能是炎症。最近一两个星期老人家说有时候觉得喉咙感觉有东西粘在上面一样,有点不舒服,经常会清一清嗓子,但不怎么咳嗽。会不会是转移?如果是,怎么办?


纵膈肺门小淋巴结倒是一直没动静,估计不是转移了吧。
白细胞更低了,2.9,上次还是3.6,也难怪他说站走半个小时就小腿酸痛无力,跟替雷一起打了短效升白针,开了利可君和参芪胶囊。
复查前一个月简直要崩溃,一会害怕控制不住,复发了怎么办,一会劝自己提前担心害怕没有任何意义,事情来了再说,以后害怕的日子还多着呢,先快乐过好无事的每一天。
跟老爸说没事,稳定,也不知道他听到没,老妈说他越来越耳背了。他不管事也好,这些就交给我们吧。



收藏
回复(24)举报
参与评论
评论列表
按投票顺序
感恩感恩5919请问放疗后复查前的时间段有没有38℃以内的低烧
举报
2023-05-15 19:31:58 有用(0)
回复(1)
你们有咳嗽或者擤鼻子里面出来一点点血丝吗?
举报
2023-05-03 19:40:42 有用(0)
回复(4)
祈福♥1您家人现在怎么样了?我爸也是肺鳞癌
举报
2023-11-21 07:25:28 有用(0)
回复(2)
阳光小美
阳光小美1升白和血小板,长期吃咖啡酸片和氨肽素片,比利可君好多了
举报
2023-05-06 09:52:07 有用(0)
回复(1)
干净的树叶加油
举报
2023-05-04 07:07:36 有用(0)
回复(0)
泉州肺鳞癌3b感同身受!每次拿CT报告的前一天,几乎都是彻夜难眠
举报
2023-08-15 07:02:29 有用(0)
回复(1)
靓丽的柳树是不是肿瘤没了?应该没事,不要想太多,定期复查就是
举报
2023-05-02 23:12:09 有用(0)
回复(4)
加油!
举报
2023-05-05 12:38:21 有用(0)
回复(0)
加油!我妈妈明天开始单免维持!希望他们都越来越好
举报
2023-05-07 22:47:45 有用(0)
回复(1)
机智的猴子1870会不会替雷没起作用?
举报
2023-05-02 16:29:42 有用(0)
回复(0)
相关推荐
热点推荐
2013-11-19 14:23:04
爸爸确诊病情已经有11个多月了。一共做了8次大化疗,2次小化疗,以及35次放疗,上月返医院检查“瘤子”没有了。这一路走来,有多少的艰辛与泪水。在这里与大家分享爸爸的治疗过程。起初,拿到病例报告的时候,
2013-11-19 14:31:01
妈妈患肺癌已经有三年了,这三年来一直在接受治疗到现在,下面是妈妈检查以及治疗的过程。2010年10月,妈妈体检出肺癌IV期,纵隔淋巴转移,肝部转移,去省肿瘤医院复查,做了PET-CT,结果一样,省肿瘤
2013-11-19 15:04:43
2011年11月,妈妈被诊断肺癌,我在网上浏览了很多帖子,学到了很多,看到了一批又一批共同奋斗在抗癌战线上的战友。这15个月走下来,越来越体会到抗癌之路的艰辛,今天发个帖子,记录一下妈妈的治疗经过,也






